Product & ReviewsAntibodies
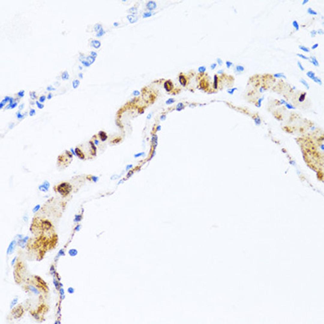
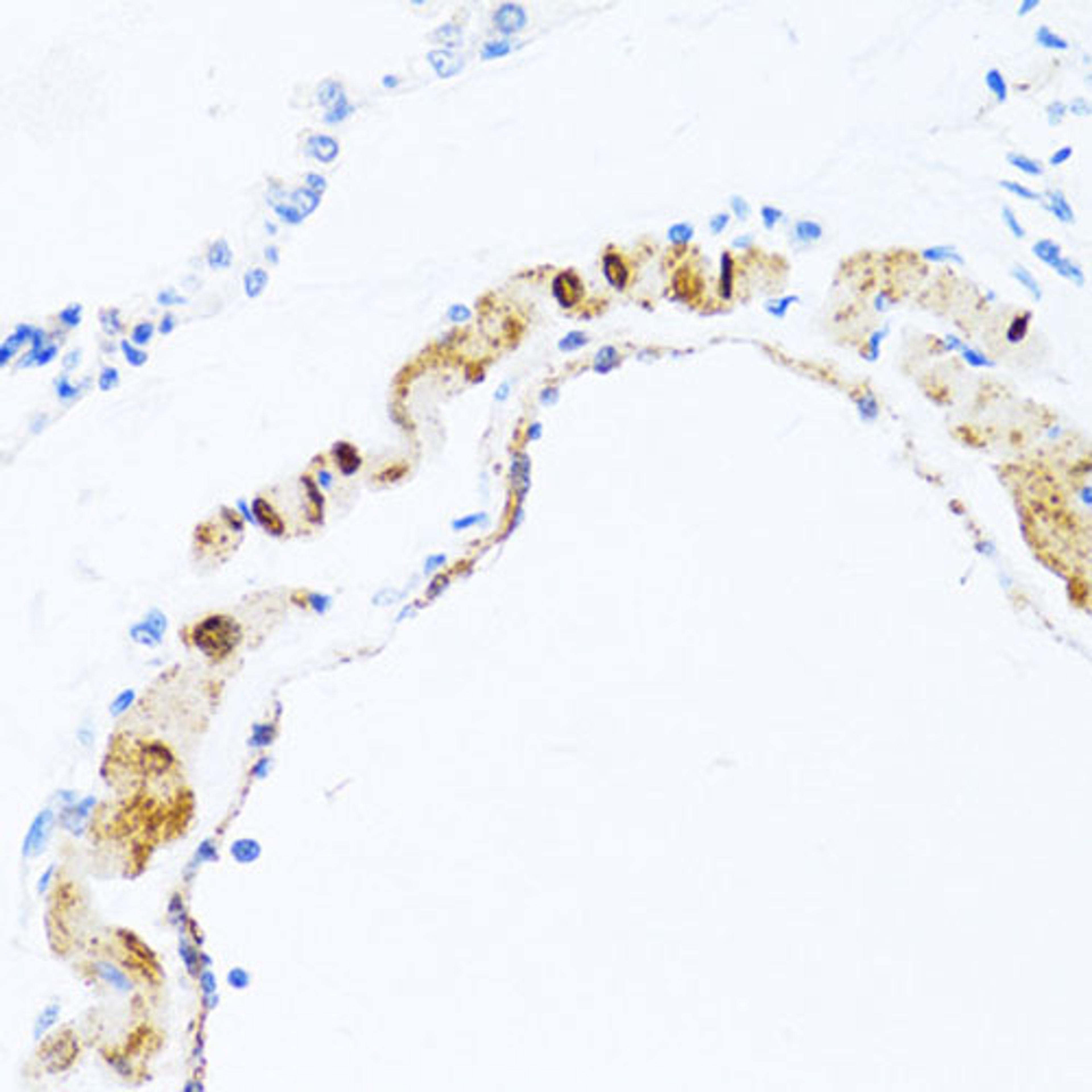
PHPT1 Rabbit pAb
Product Details
- Cat. No.
- A1127
- Type
- Primary Antibody
- Clonality
- Polyclonal
- Host
- Rabbit

The supplier does not provide quotations for this antibody through SelectScience. You can search for similar antibodies in our Antibody Directory.
Description
This gene encodes an enzyme that catalyzes the reversible dephosphorylation of histidine residues in proteins. It may be involved in the dephosphorylation of G-beta and ATP citrate lyase and in negatively regulating CD4 T lymphocytes by dephosphorylation and inhibition of KCa3.1 channels. Alternative splicing results in multiple transcript variants.
Biological Information
- Clonality: Polyclonal
- Host: Rabbit
- Reactivity: Human, Mouse, Rat


