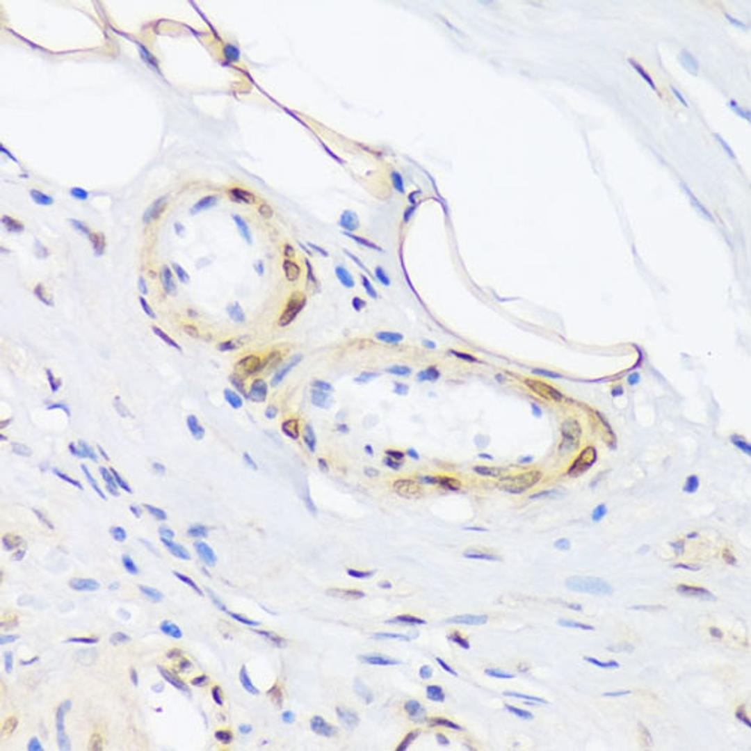
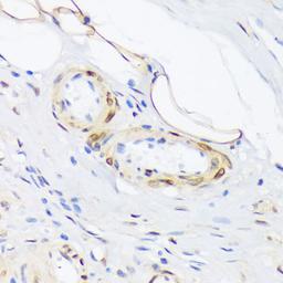
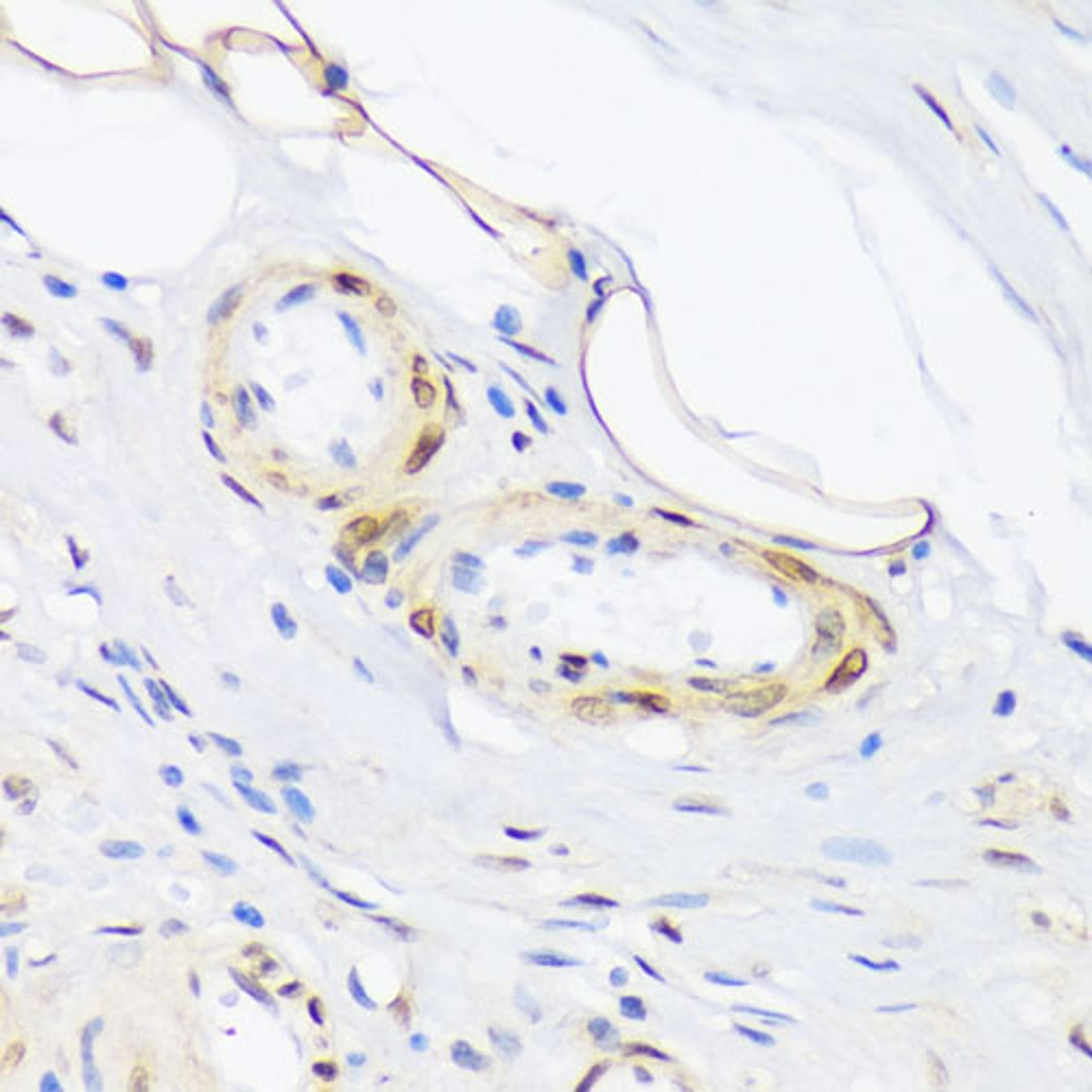
Phospho-PLN-T17 Rabbit pAb
Product Details
- Cat. No.
- AP0910
- Type
- Primary Antibody
- Clonality
- Polyclonal
- Host
- Rabbit

The supplier does not provide quotations for this antibody through SelectScience. You can search for similar antibodies in our Antibody Directory.
Description
The protein encoded by this gene is found as a pentamer and is a major substrate for the cAMP-dependent protein kinase in cardiac muscle. The encoded protein is an inhibitor of cardiac muscle sarcoplasmic reticulum Ca(2+)-ATPase in the unphosphorylated state, but inhibition is relieved upon phosphorylation of the protein. The subsequent activation of the Ca(2+) pump leads to enhanced muscle relaxation rates, thereby contributing to the inotropic response elicited in heart by beta-agonists. The encoded protein is a key regulator of cardiac diastolic function. Mutations in this gene are a cause of inherited human dilated cardiomyopathy with refractory congestive heart failure, and also familial hypertrophic cardiomyopathy. [provided by RefSeq, Apr 2016]
Biological Information
- Clonality: Polyclonal
- Host: Rabbit
- Reactivity: Human, Mouse, Rat


