Product & ReviewsAntibodies
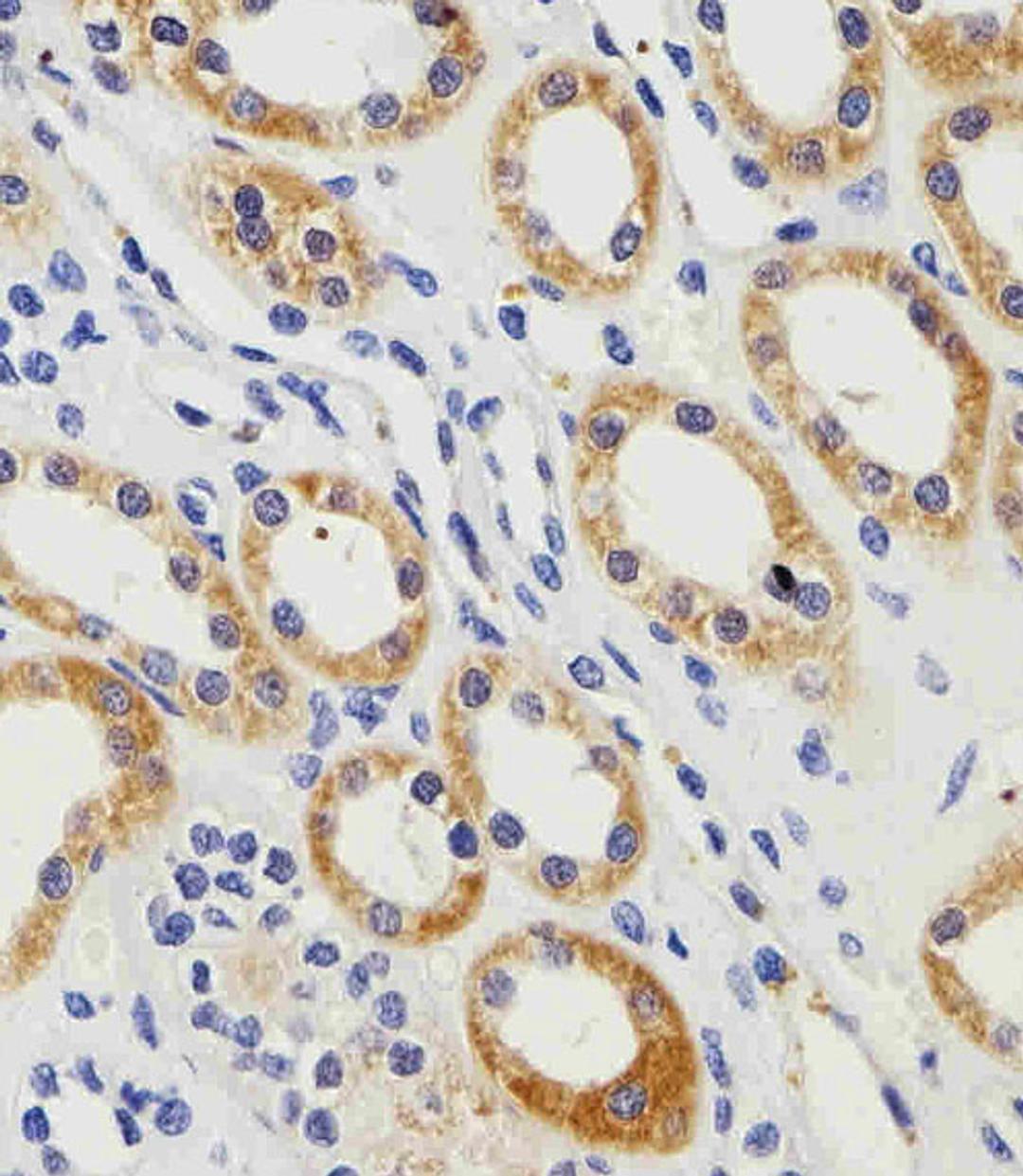
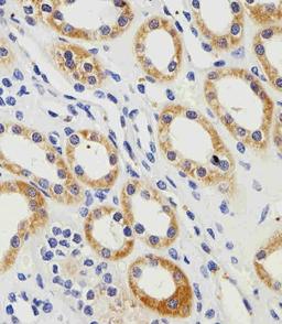
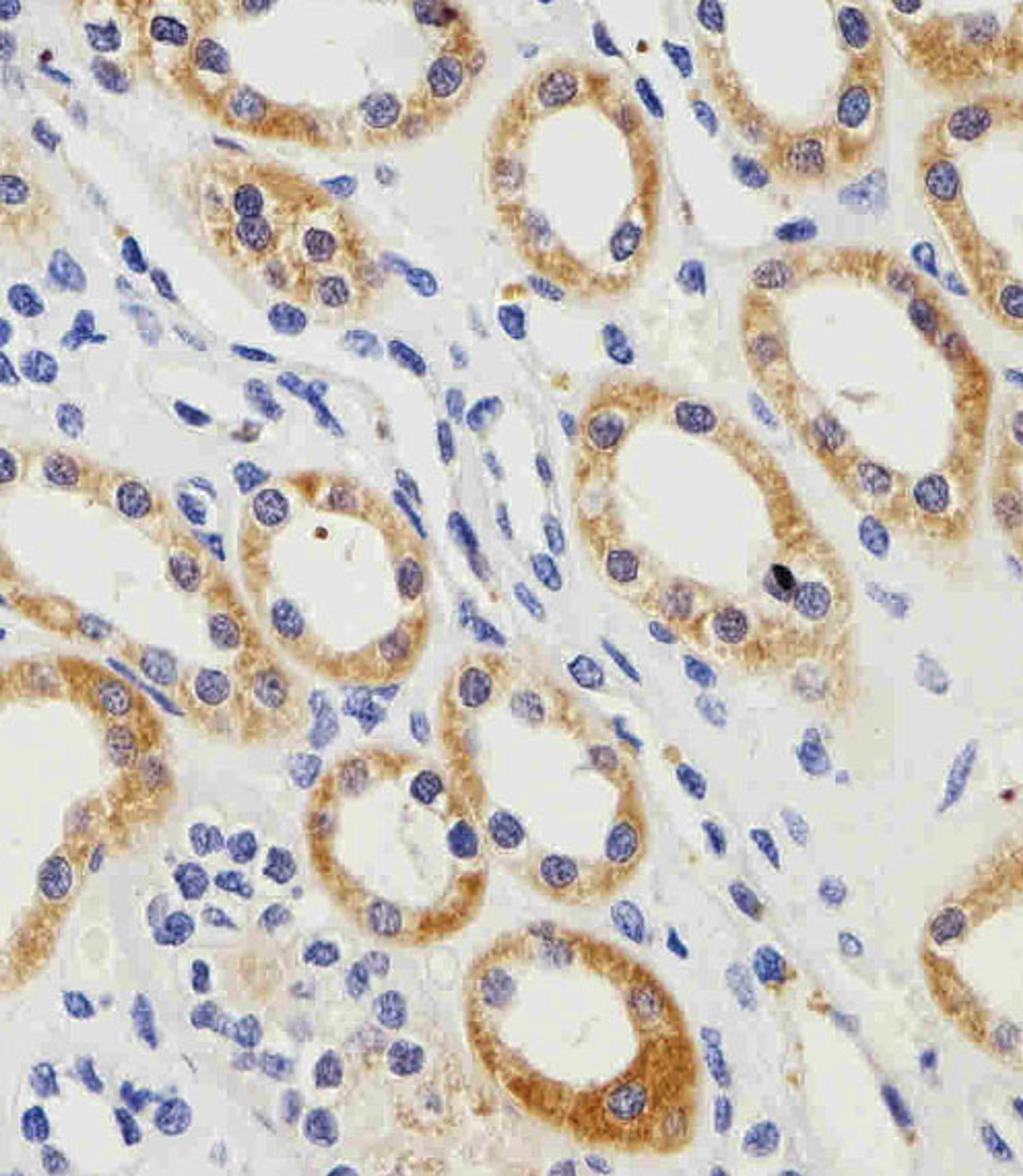
PGK1 Antibody
Product Details
- Cat. No.
- 62-655
- Type
- Primary Antibody
- Clonality
- Polyclonal
- Host
- Rabbit

The supplier does not provide quotations for this antibody through SelectScience. You can search for similar antibodies in our Antibody Directory.
Biological Information
- Clonality: Polyclonal
- Host: Rabbit
- Antigen: PGK1
- Isotype: Rabbit Ig
- Source: This antibody is prepared by Saturated Ammonium Sulfate (SAS) precipitation followed by dialysis
- Gene: 5230
Handling
- Quantity: 400 ul
- Storage: Store at 4°C for three months and -20°C, stable for up to one year. As with all antibodies care should be taken to avoid repeated freeze thaw cycles. Antibodies should not be exposed to prolonged high temperatures.
- Buffer: Supplied in PBS with 0.09% (W/V) sodium azide.


