Product & ReviewsAntibodies
PEPSINOGEN I
Product Details
- Cat. No.
- 7240-1009
- Type
- Primary Antibody
- Clonality
- Monoclonal
- Host
- Mouse

The supplier does not provide quotations for this antibody through SelectScience. You can search for similar antibodies in our Antibody Directory.
Description
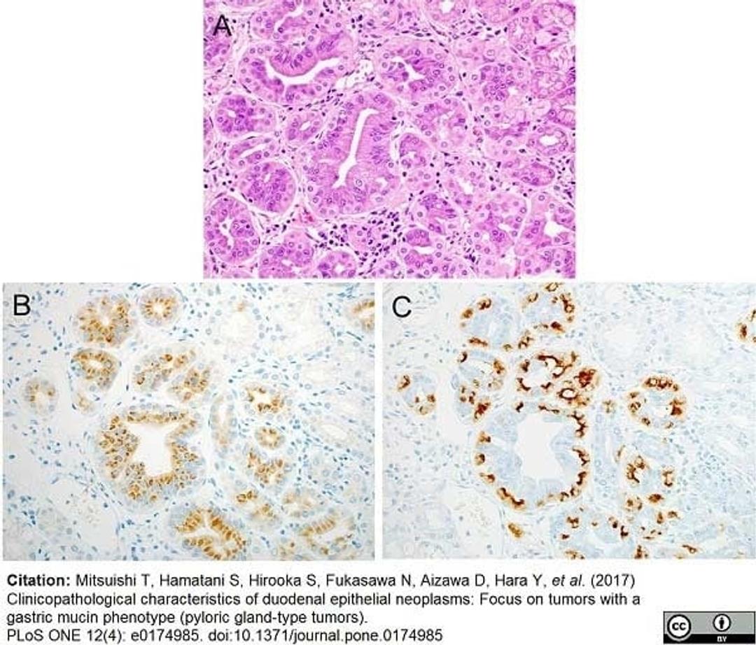
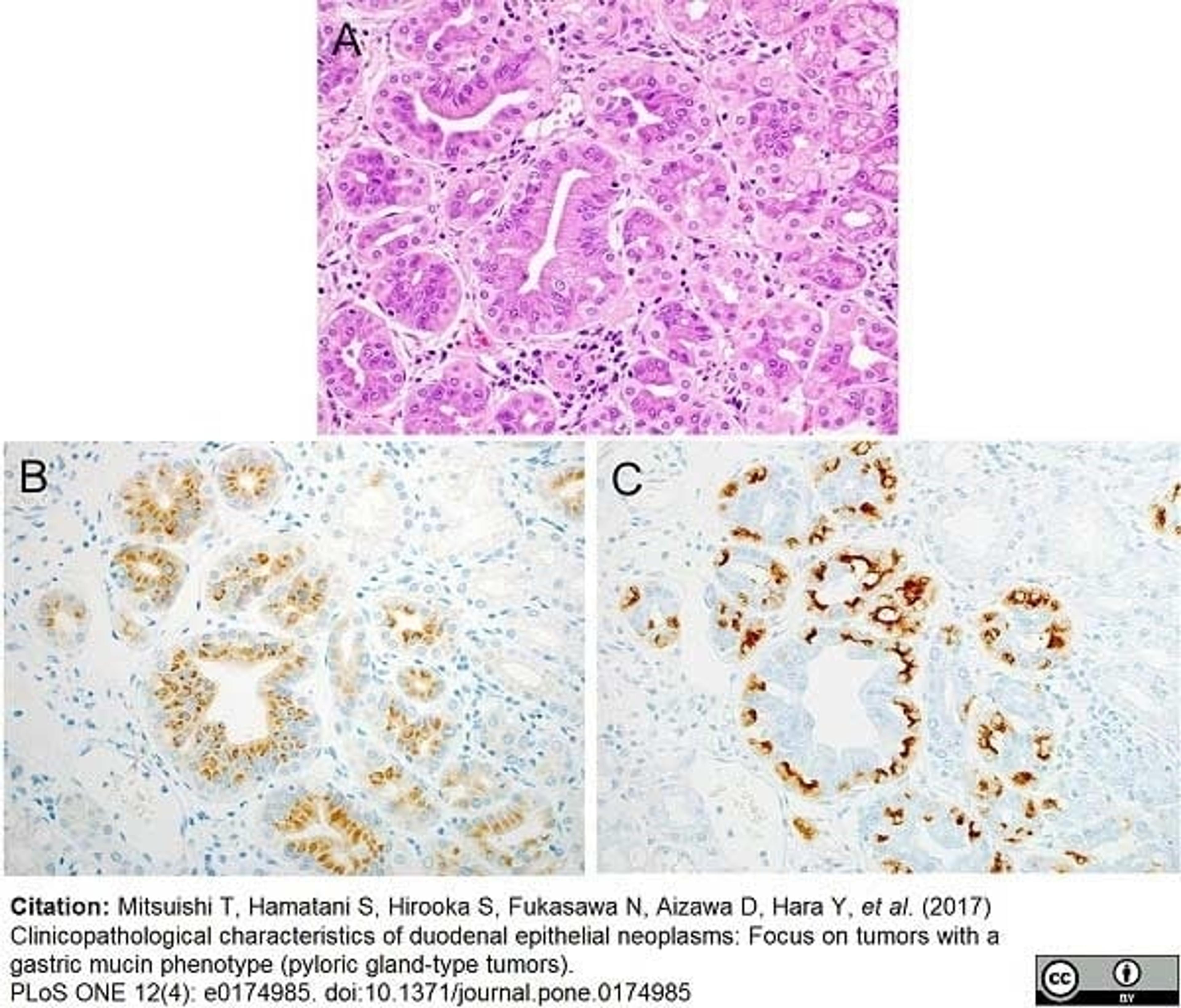
MOUSE ANTI HUMAN PEPSINOGEN I
Biological Information
- Clonality: Monoclonal
- Host: Mouse
Handling
- Quantity: 0.2 mg


