Product & ReviewsAntibodies
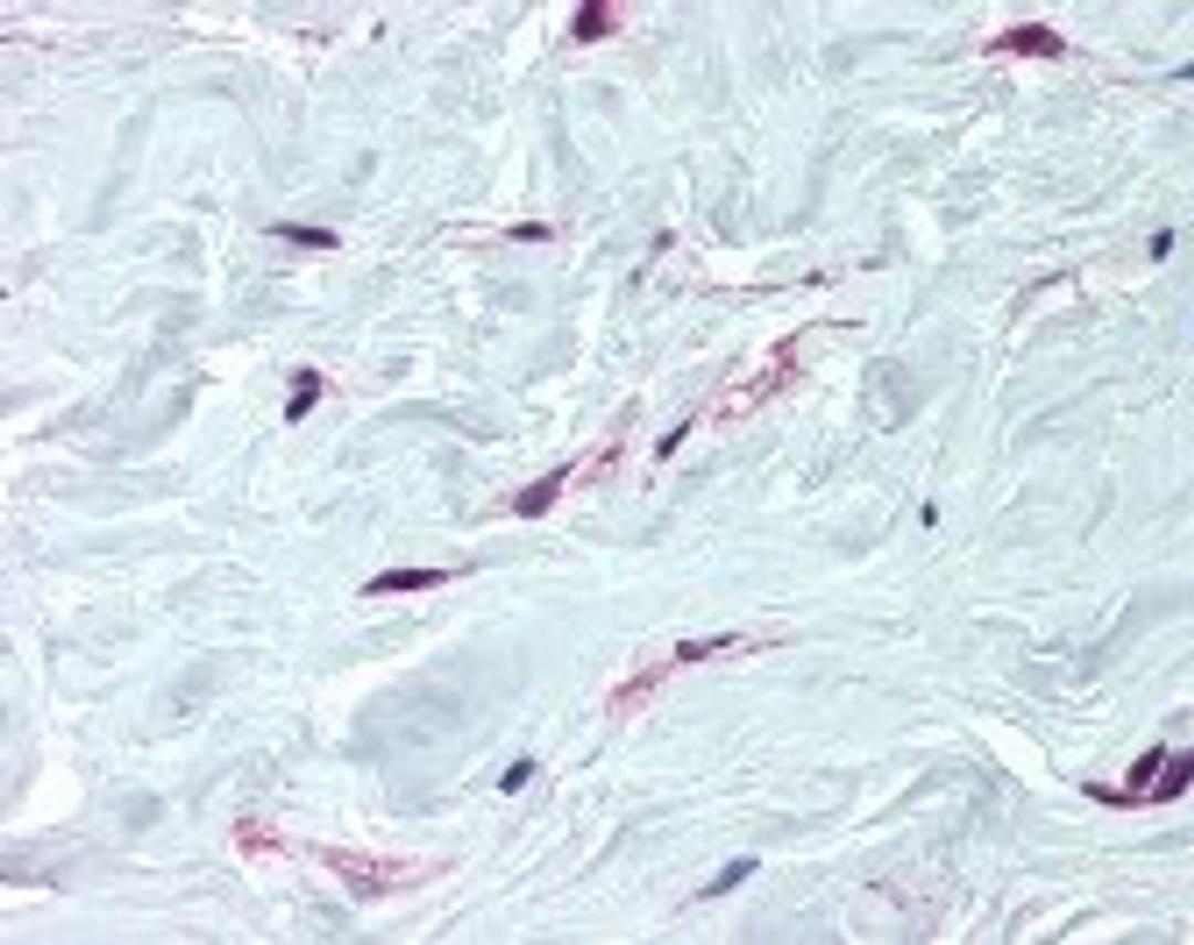
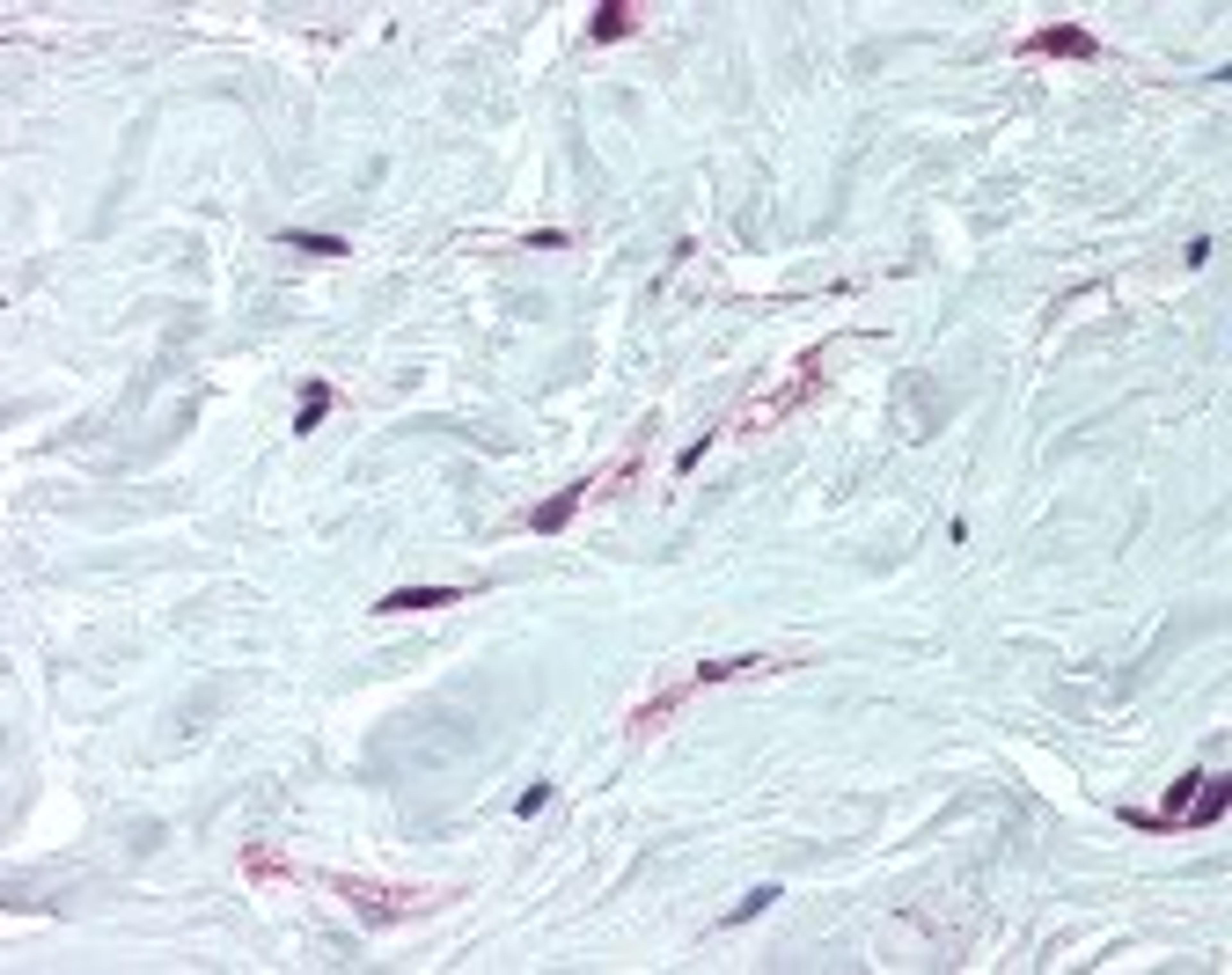
PDGFRA Antibody
Product Details
- Cat. No.
- 49-775
- Type
- Primary Antibody
- Clonality
- Polyclonal
- Host
- Rabbit

The supplier does not provide quotations for this antibody through SelectScience. You can search for similar antibodies in our Antibody Directory.
Biological Information
- Clonality: Polyclonal
- Host: Rabbit
- Reactivity: Human, Mouse, Rat
- Antigen: PDGFRA
- Source: Protein A Column
- Gene: 5156
Handling
- Quantity: 0.125 mL
- Storage: Short term: 4°C. Long term: Store at -20°C. Avoid freeze-thaw cycles.
- Buffer: PBS, pH 7.4, 0.2% BSA, 0.09% sodium azide
Applications
- ELISA (ELISA)
- Immunohistochemistry (IHC)


