Product & ReviewsAntibodies
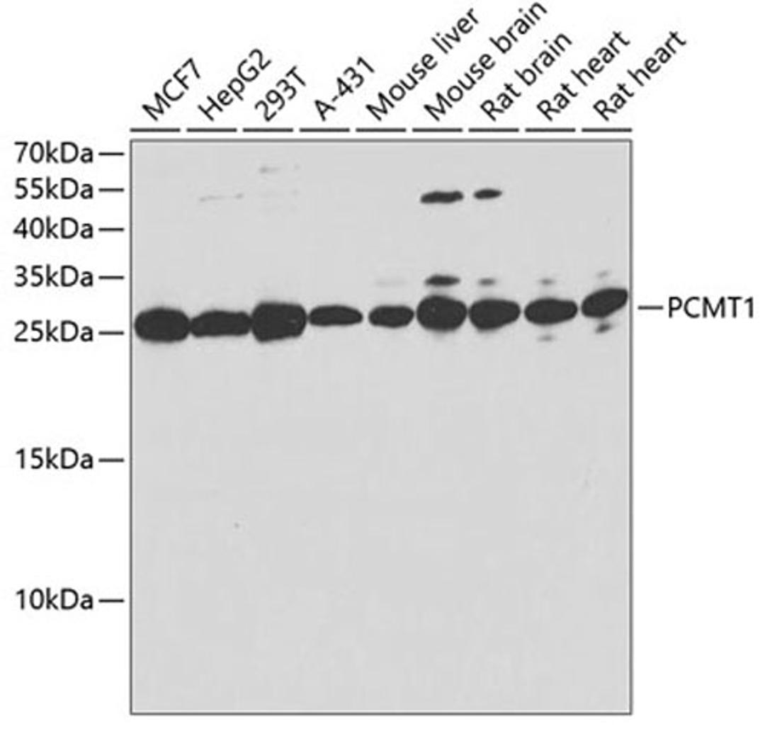
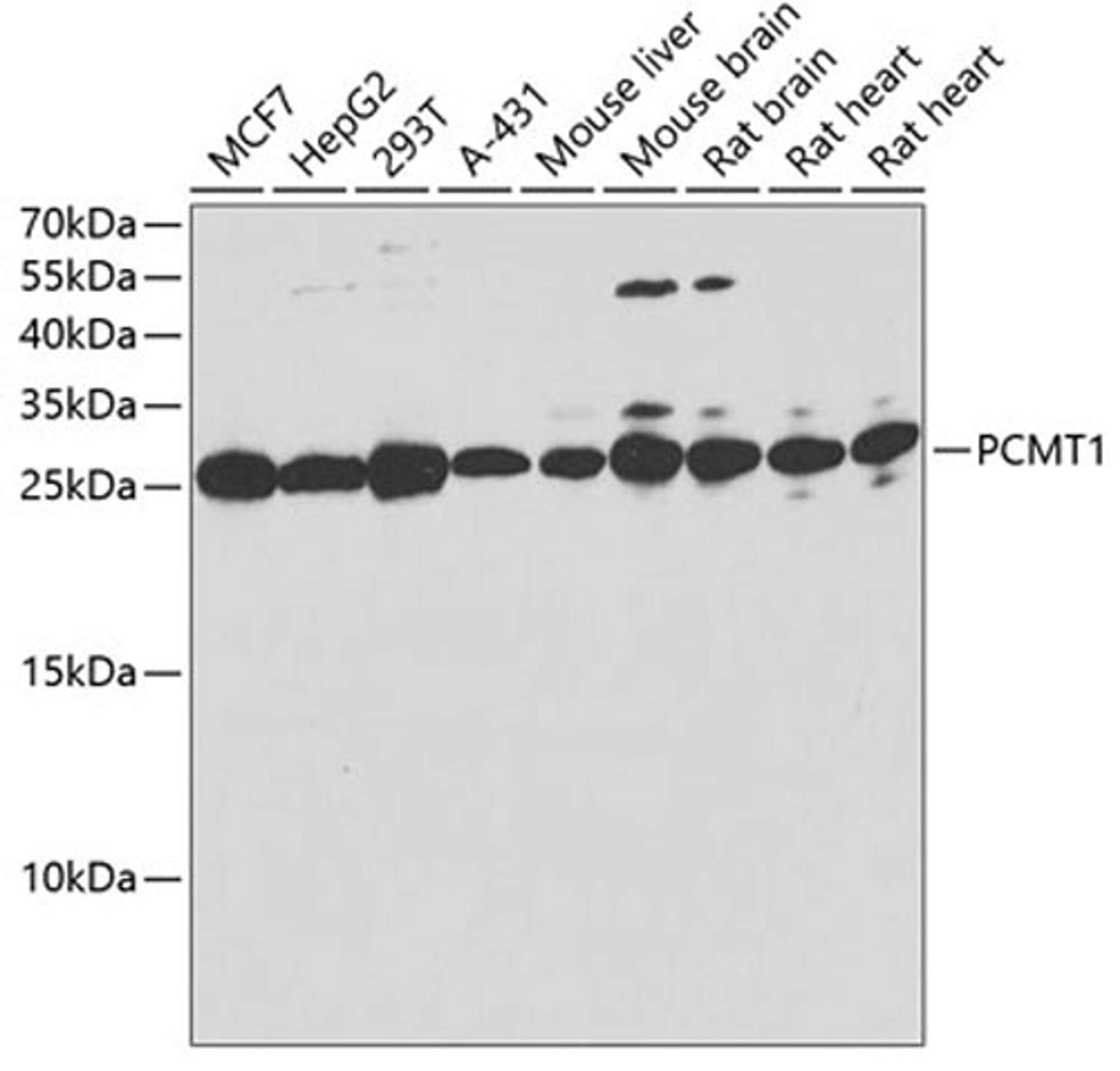
PCMT1 Rabbit pAb
Product Details
- Cat. No.
- A6684
- Type
- Primary Antibody
- Clonality
- Polyclonal
- Host
- Rabbit

The supplier does not provide quotations for this antibody through SelectScience. You can search for similar antibodies in our Antibody Directory.
Description
This gene encodes a member of the type II class of protein carboxyl methyltransferase enzymes. The encoded enzyme plays a role in protein repair by recognizing and converting D-aspartyl and L-isoaspartyl residues resulting from spontaneous deamidation back to the normal L-aspartyl form. The encoded protein may play a protective role in the pathogenesis of Alzheimer's disease, and single nucleotide polymorphisms in this gene have been associated with spina bifida and premature ovarian failure. Alternatively spliced transcript variants encoding multiple isoforms have been observed for this gene.
Biological Information
- Clonality: Polyclonal
- Host: Rabbit
- Reactivity: Human, Mouse, Rat


