PAI-1 antibody
Product Details
- Cat. No.
- VPA00047
- Type
- Primary Antibody
- Clonality
- Polyclonal
- Host
- Goat

The supplier does not provide quotations for this antibody through SelectScience. You can search for similar antibodies in our Antibody Directory.
Description
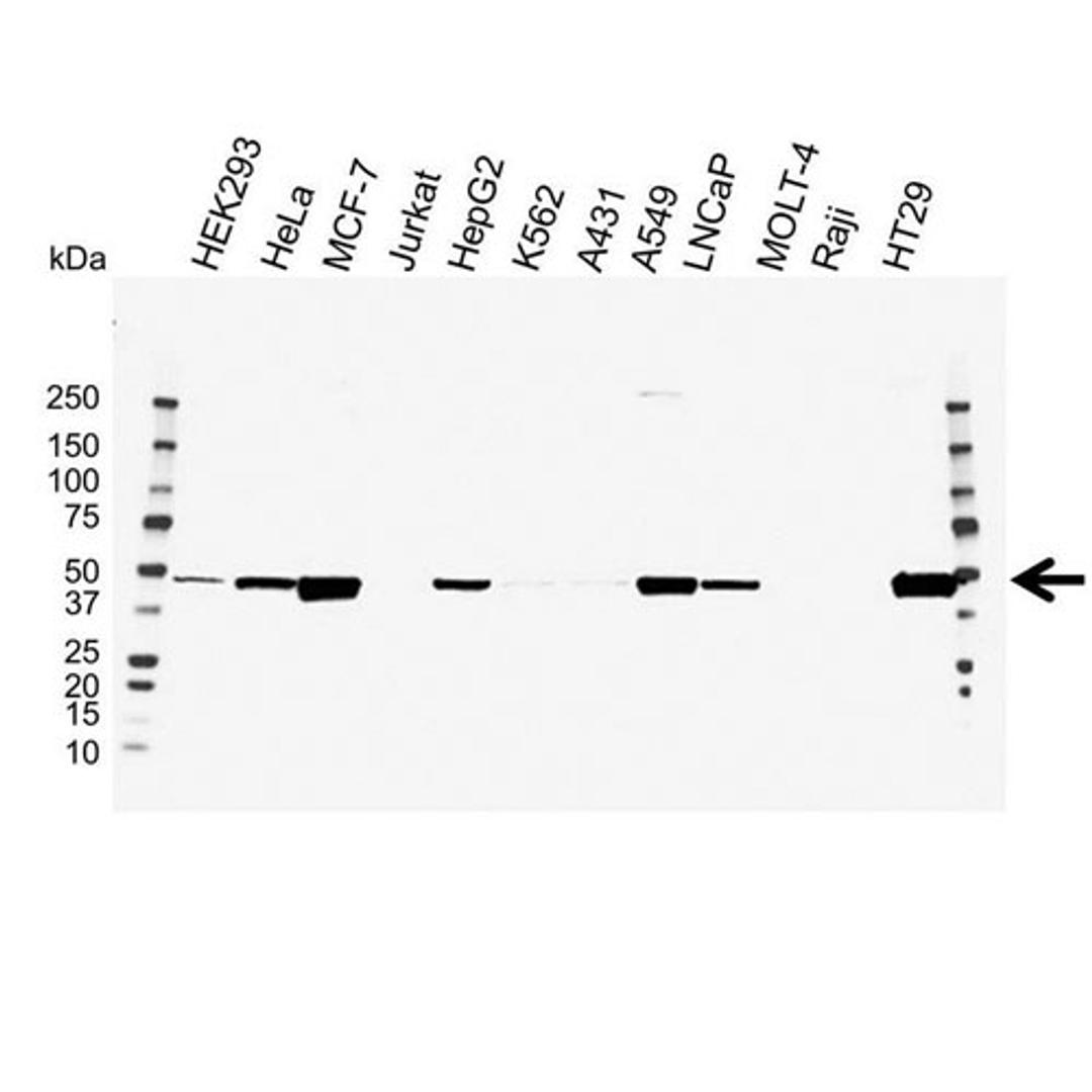
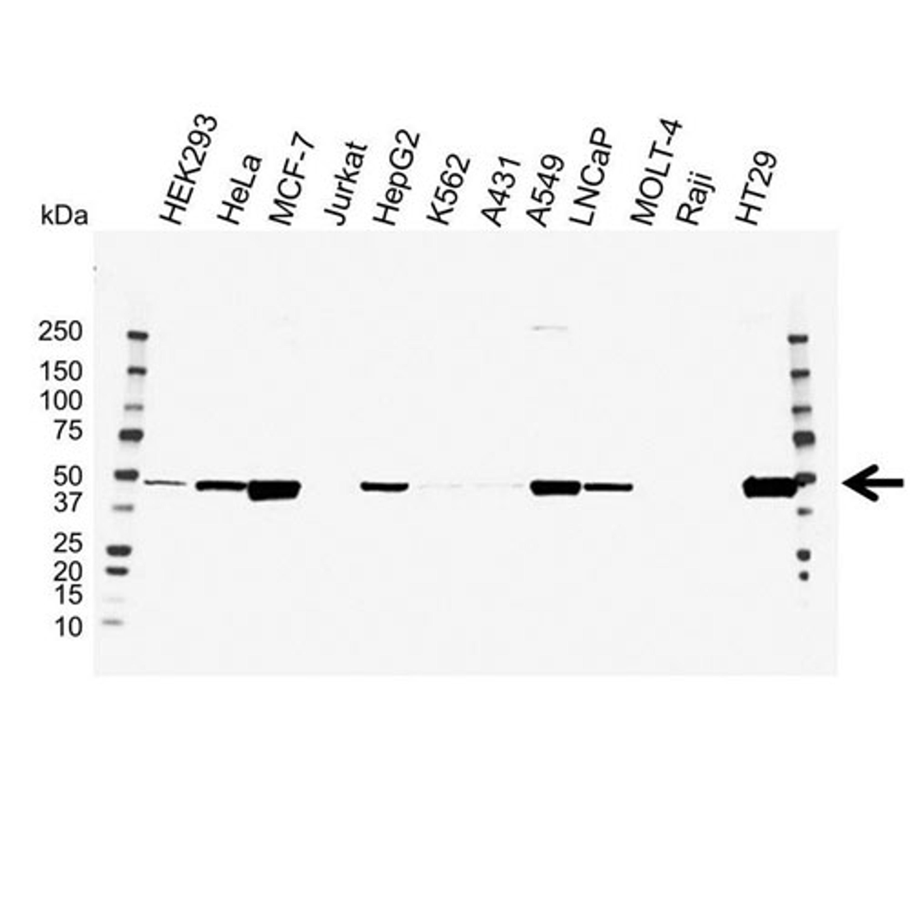
Goat anti Human PAI-1 antibody recognizes human plasminogen activator inhibitor 1 (PAI-1), also known as Serpin E1. PAI-1 is a 402 amino acid serine protease inhibitor and the principle inhibitor of tissue plasminogen activator (tPA) and urokinase (uPA) PAI-1 is present in plasma, platelets and endothelial cells, is expressed at increased levels in various disease states (Kruithof et al. 1988), and has been linked to an increased occurrence of thrombosis in obesity and coronary artery disease (Oseroff et al. 1989). Defects in PAI-1 are characterized by abnormal bleeding (Takahashi et al. 1996). Goat anti Human PAI-1 antibody recognizes PAI-1 as a single band of 43 kDa in a range of human cell lysates.
Biological Information
- Clonality: Polyclonal
- Host: Goat
- Reactivity: Human
- Isotype: IgG
Handling
- Quantity: 100 µl
- Storage: Store undiluted at -20oC, avoiding repeated freeze thaw cycles.
- Buffer: TRIS buffered saline
Applications
- Western Blotting (WB)


