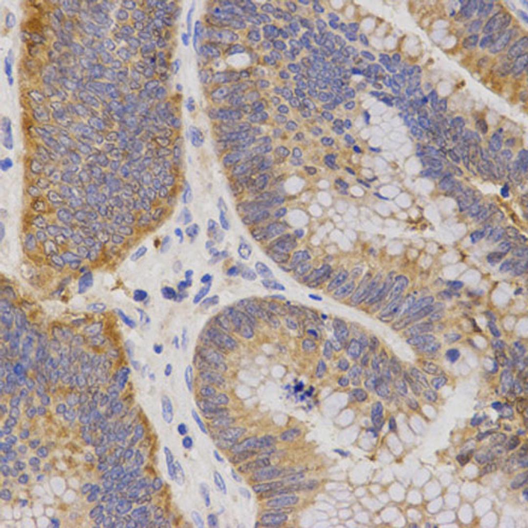
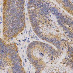
P2RY11 Rabbit pAb
Product Details
- Cat. No.
- A3061
- Type
- Primary Antibody
- Clonality
- Polyclonal
- Host
- Rabbit

The supplier does not provide quotations for this antibody through SelectScience. You can search for similar antibodies in our Antibody Directory.
Description
The product of this gene belongs to the family of G-protein coupled receptors. This family has several receptor subtypes with different pharmacological selectivity, which overlaps in some cases, for various adenosine and uridine nucleotides. This receptor is coupled to the stimulation of the phosphoinositide and adenylyl cyclase pathways and behaves as a selective purinoceptor. Naturally occuring read-through transcripts, resulting from intergenic splicing between this gene and an immediately upstream gene (PPAN, encoding peter pan homolog), have been found. The PPAN-P2RY11 read-through mRNA is ubiquitously expressed and encodes a fusion protein that shares identity with each individual gene product.
Biological Information
- Clonality: Polyclonal
- Host: Rabbit
- Reactivity: Human, Rat


