Product & ReviewsAntibodies
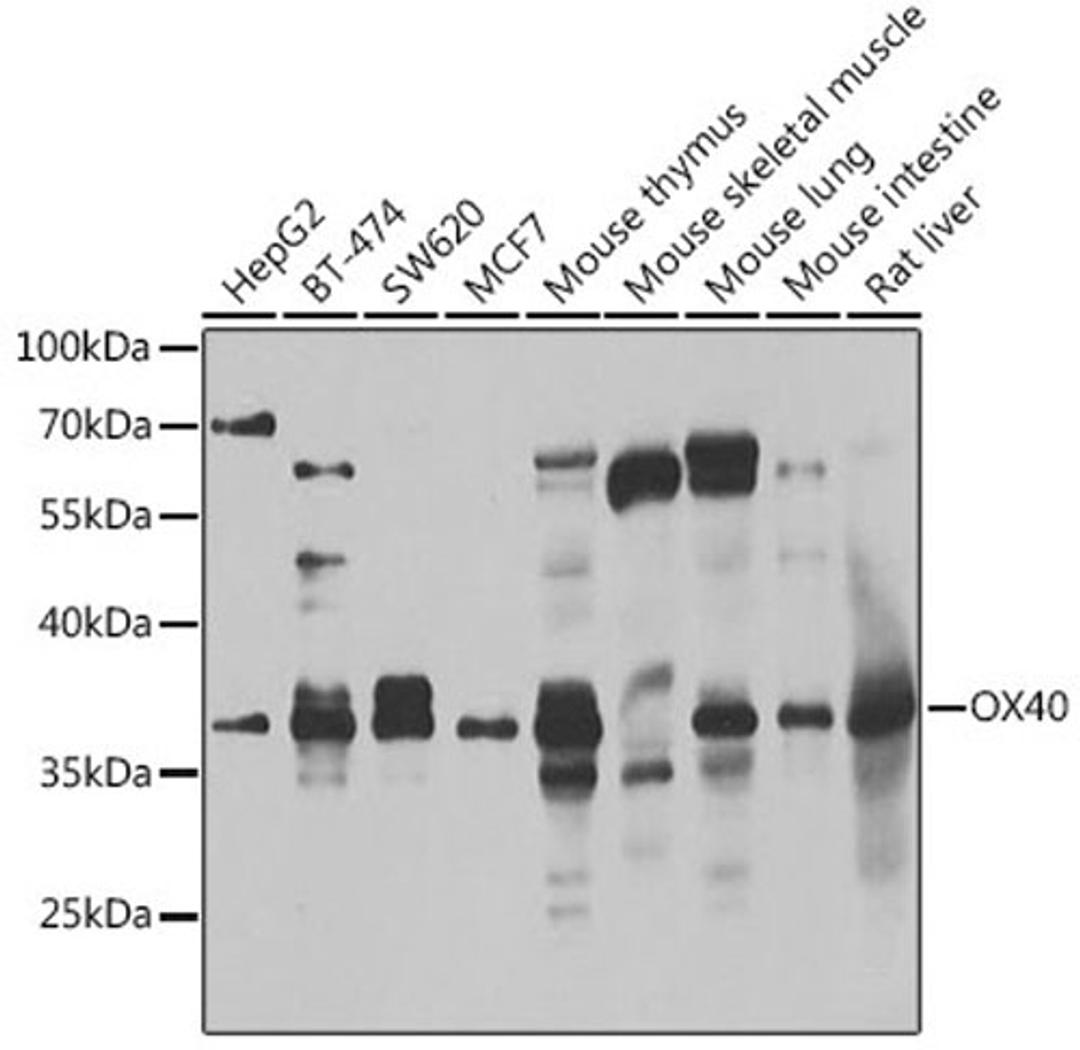
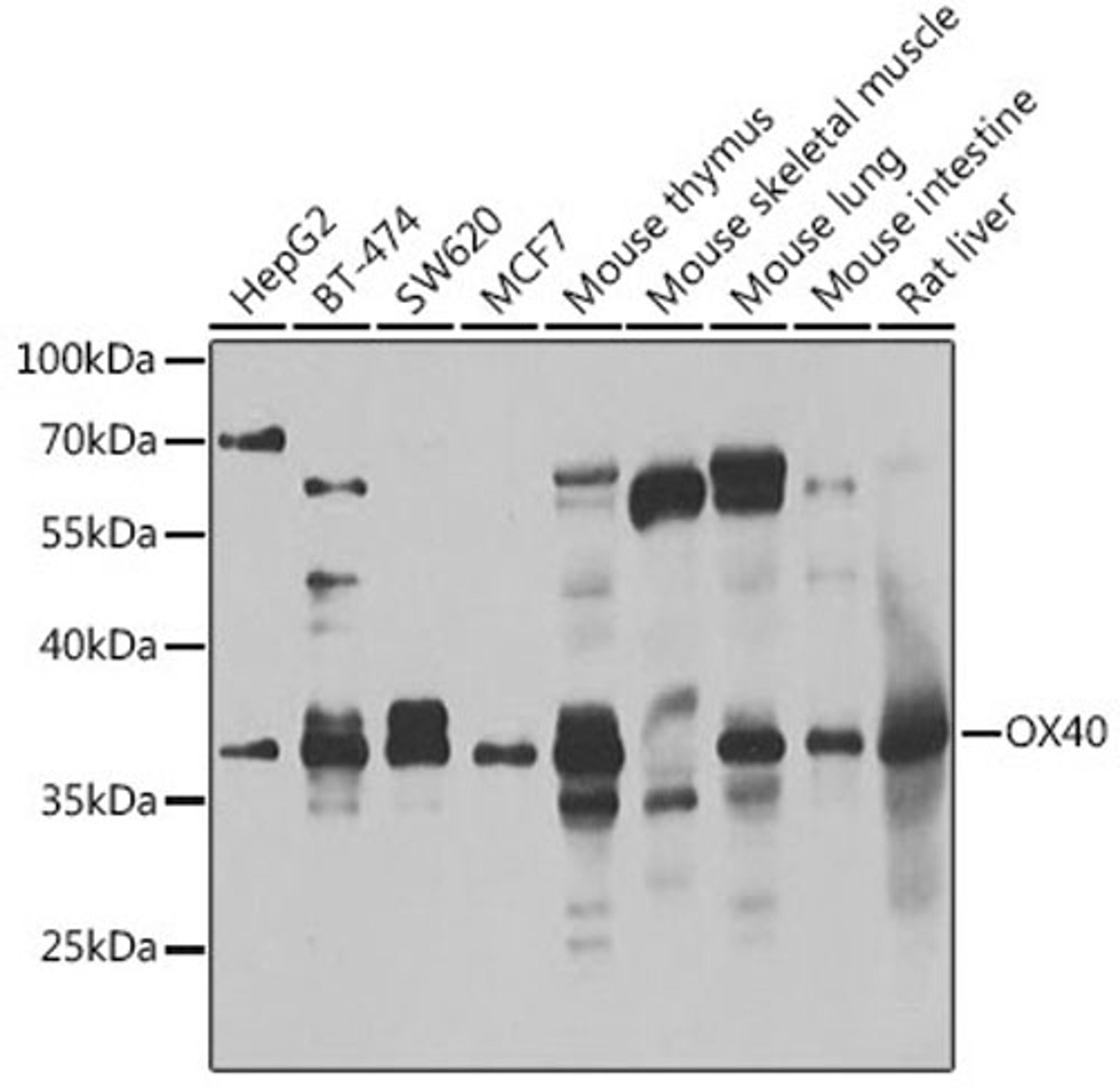
OX40 Rabbit pAb
Product Details
- Cat. No.
- A7499
- Type
- Primary Antibody
- Clonality
- Polyclonal
- Host
- Rabbit

The supplier does not provide quotations for this antibody through SelectScience. You can search for similar antibodies in our Antibody Directory.
Description
The protein encoded by this gene is a member of the TNF-receptor superfamily. This receptor has been shown to activate NF-kappaB through its interaction with adaptor proteins TRAF2 and TRAF5. Knockout studies in mice suggested that this receptor promotes the expression of apoptosis inhibitors BCL2 and BCL2lL1/BCL2-XL, and thus suppresses apoptosis. The knockout studies also suggested the roles of this receptor in CD4+ T cell response, as well as in T cell-dependent B cell proliferation and differentiation.
Biological Information
- Clonality: Polyclonal
- Host: Rabbit
- Reactivity: Human, Mouse, Rat


