Product & ReviewsAntibodies
NPTX1-Y344 Antibody
Product Details
- Cat. No.
- 62-785
- Type
- Primary Antibody
- Clonality
- Polyclonal
- Host
- Rabbit

The supplier does not provide quotations for this antibody through SelectScience. You can search for similar antibodies in our Antibody Directory.
Biological Information
- Clonality: Polyclonal
- Host: Rabbit
- Reactivity: Human, Mouse, Rat
- Antigen: NPTX1
- Isotype: Rabbit Ig
- Source: This antibody is purified through a protein A column, followed by peptide affinity purification.
- Gene: 4884
Handling
- Quantity: 400 ul
- Storage: Store at 4°C for three months and -20°C, stable for up to one year. As with all antibodies care should be taken to avoid repeated freeze thaw cycles. Antibodies should not be exposed to prolonged high temperatures.
- Buffer: Supplied in PBS with 0.09% (W/V) sodium azide.
Applications
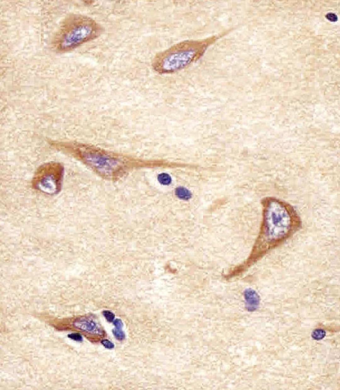
- Immunohistochemistry (Formalin-Fixed / Paraffin-Embedded Sections) (IHC (FP))
- Western Blotting (WB)


