Product & ReviewsAntibodies
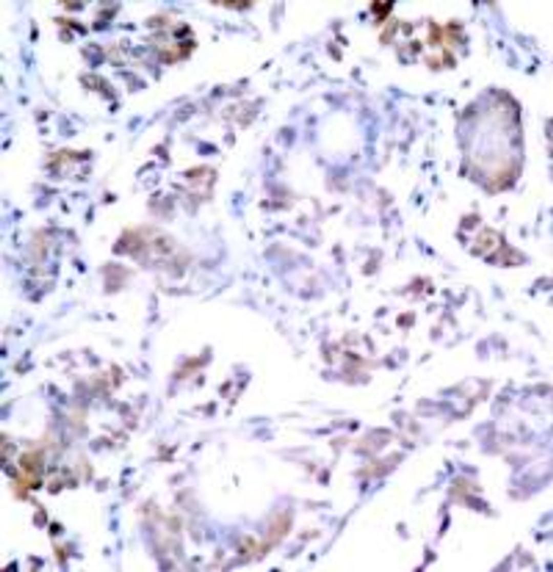
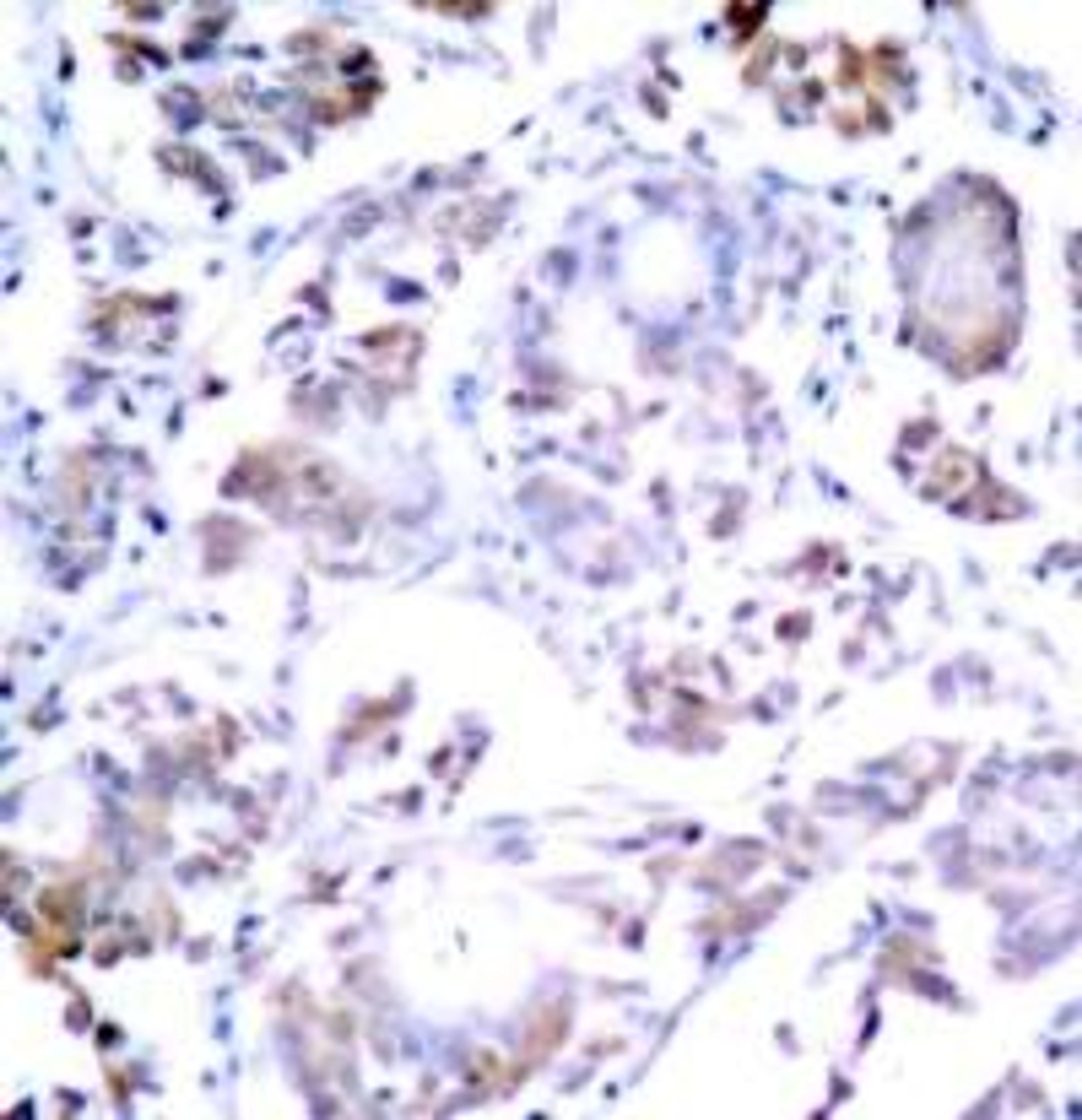
NFkB p65 (Ab 254) Antibody
Product Details
- Cat. No.
- 79-260
- Type
- Primary Antibody
- Clonality
- Polyclonal
- Host
- Rabbit

The supplier does not provide quotations for this antibody through SelectScience. You can search for similar antibodies in our Antibody Directory.
Biological Information
- Clonality: Polyclonal
- Host: Rabbit
- Reactivity: Human, Mouse, Rat
- Antigen: RELA
- Source: Antibodies were purified by affinity-chromatography using epitope-specific peptide.
- Gene: 5970
Handling
- Quantity: 0.1 mg
- Storage: Store antibody at -20°C for up to one year.
- Buffer: Antibody supplied in phosphate buffered saline (without Mg2+ and Ca2+), pH 7.4, 150mM NaCl, 0.02% sodium azide and 50% glycerol.
Applications
- Immunohistochemistry (IHC)


