Product & ReviewsAntibodies
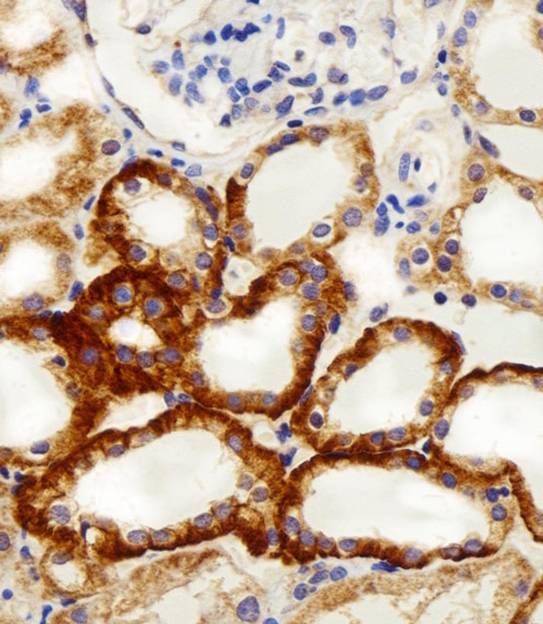
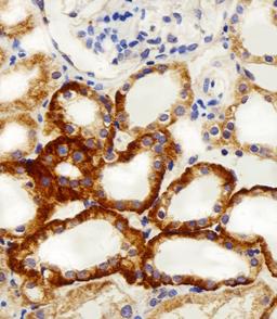
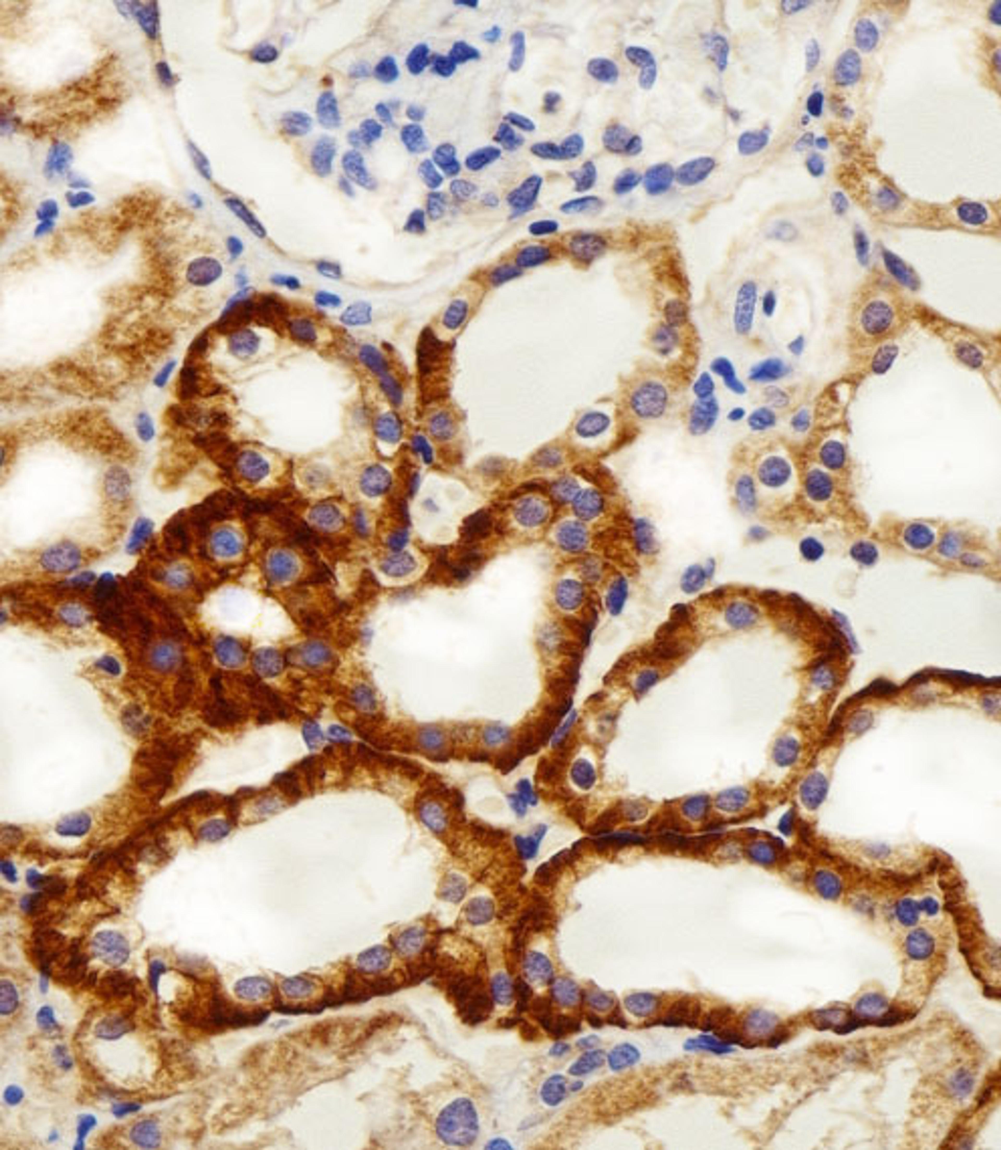
NDUFC2 Antibody
Product Details
- Cat. No.
 - 61-058
 - Type
 - Primary Antibody
 - Clonality
 - Polyclonal
 - Host
 - Rabbit
 

The supplier does not provide quotations for this antibody through SelectScience. You can search for similar antibodies in our Antibody Directory.
Biological Information
- Clonality: Polyclonal
 - Host: Rabbit
 - Reactivity: Human, Mouse, Rat
 - Antigen: NDUFC2
 - Isotype: Rabbit Ig
 - Source: This antibody is purified through a protein A column, followed by peptide affinity purification.
 - Gene: 4718
 
Handling
- Quantity: 400 ul
 - Storage: Store at 4°C for three months and -20°C, stable for up to one year. As with all antibodies care should be taken to avoid repeated freeze thaw cycles. Antibodies should not be exposed to prolonged high temperatures.
 - Buffer: Supplied in PBS with 0.09% (W/V) sodium azide.
 
Applications
- Flow Cytometry (FC)
 - Immunofluorescence (IF)
 - Immunohistochemistry (Formalin-Fixed / Paraffin-Embedded Sections) (IHC (FP))
 - Western Blotting (WB)
 


