Product & ReviewsAntibodies
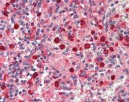
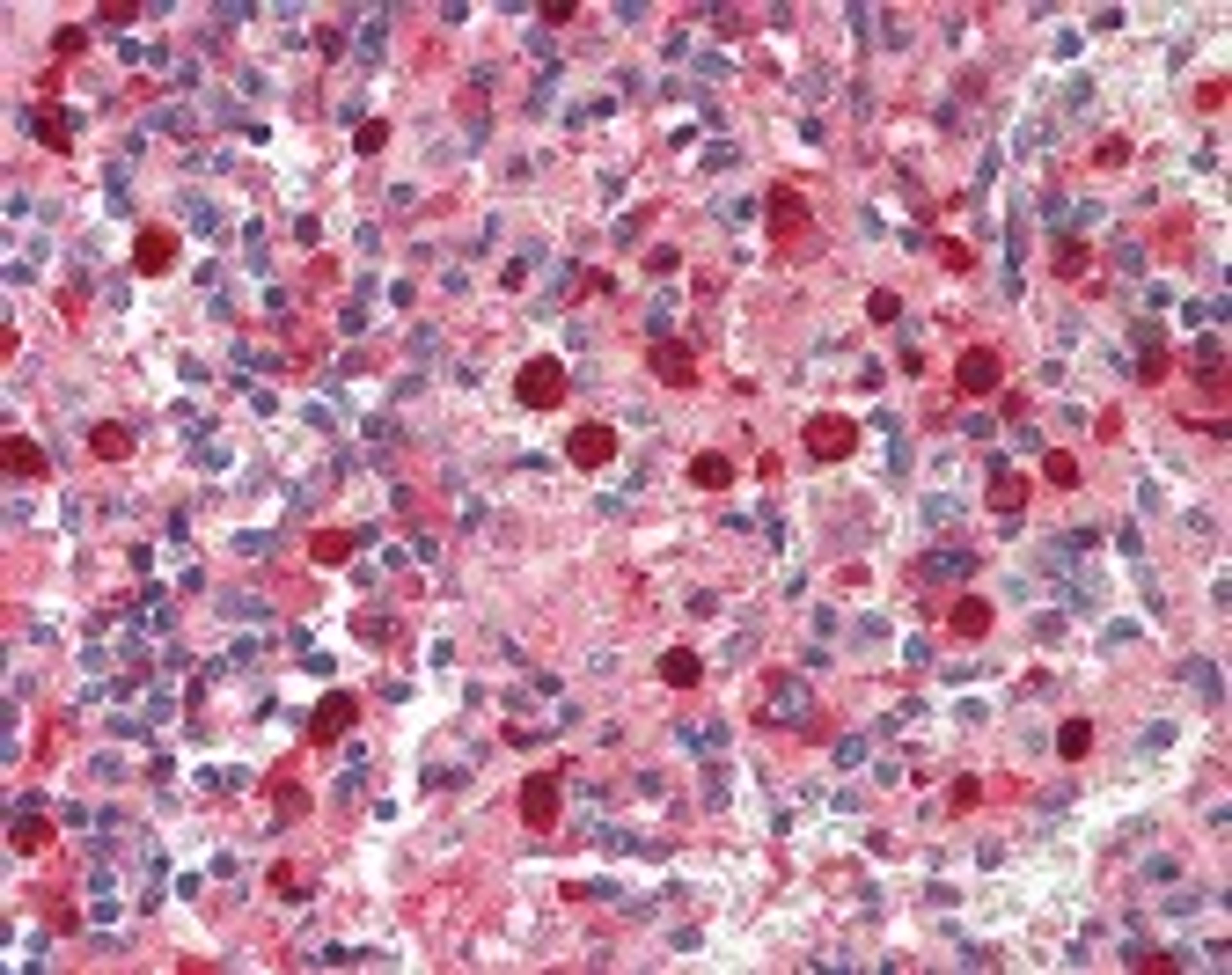
Myeloperoxidase Antibody
Product Details
- Cat. No.
- 49-451
- Type
- Primary Antibody
- Clonality
- Polyclonal
- Host
- Rabbit

The supplier does not provide quotations for this antibody through SelectScience. You can search for similar antibodies in our Antibody Directory.
Biological Information
- Clonality: Polyclonal
- Host: Rabbit
- Reactivity: Human
- Antigen: MPO
- Source: Delipidation and Defibrination
- Gene: 4353
Handling
- Quantity: 0.05 mL
- Storage: Store Myeloperoxidase antibody at 4 °C or -20 °C. As with all antibodies avoid freeze/thaw cycles.
- Buffer: PBS, pH 7.2, 0.01% sodium azide.
Applications
- ELISA (ELISA)
- Flow Cytometry (FC)
- Immunofluorescence (IF)
- Immunohistochemistry (IHC)
- Immunohistochemistry (Formalin-Fixed / Paraffin-Embedded Sections) (IHC (FP))
- Western Blotting (WB)


