Product & ReviewsAntibodies
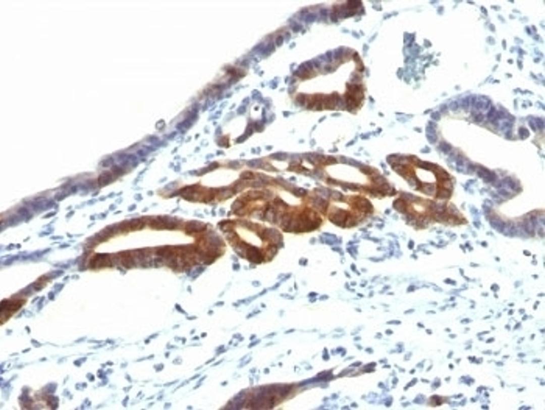
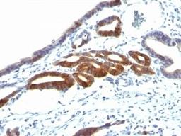
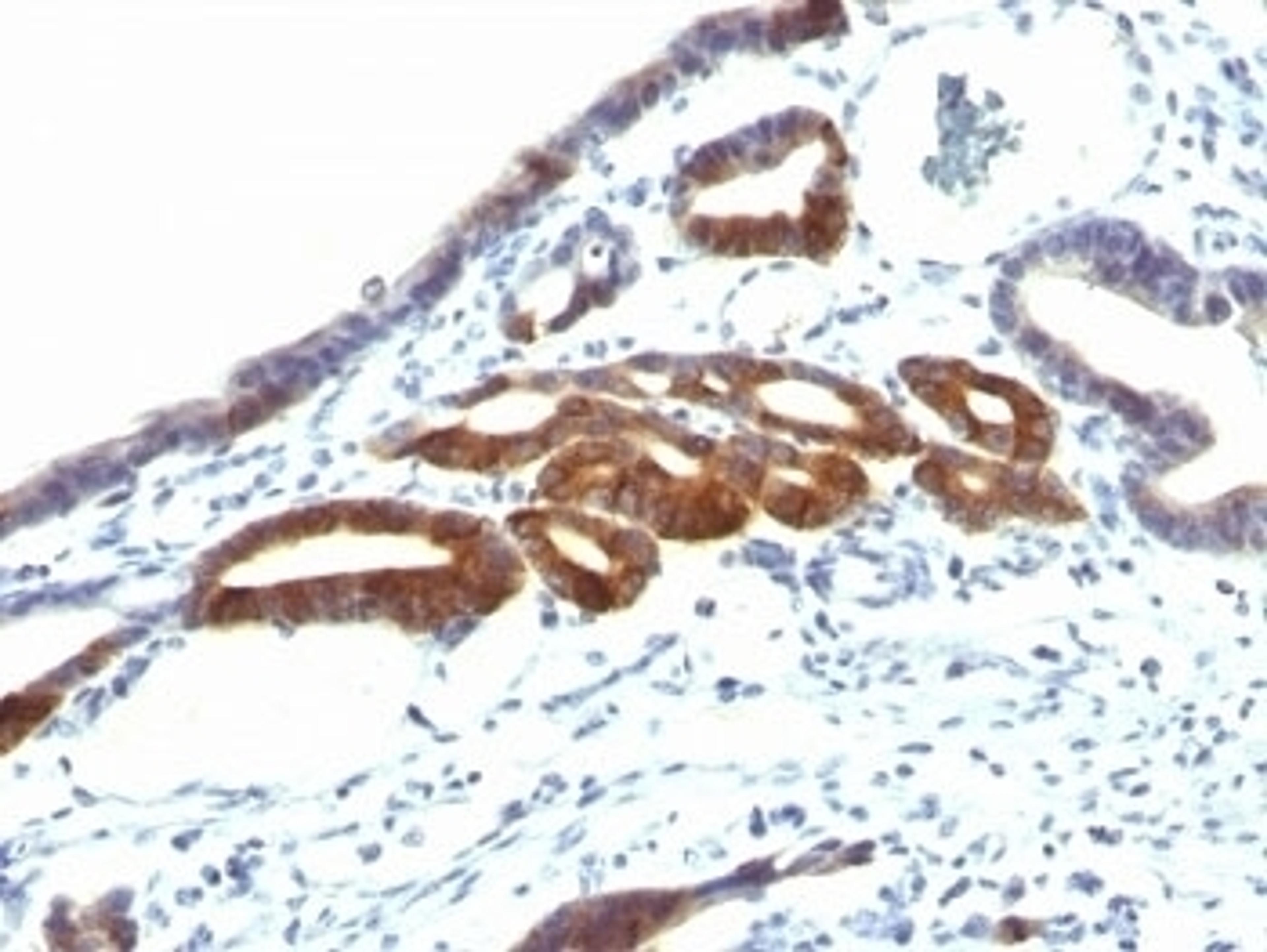
MUC6 Antibody [SPM598]
Product Details
- Cat. No.
 - 33-447
 - Type
 - Primary Antibody
 - Clonality
 - Monoclonal
 - Host
 - Mouse
 

The supplier does not provide quotations for this antibody through SelectScience. You can search for similar antibodies in our Antibody Directory.
Biological Information
- Clonality: Monoclonal
 - Host: Mouse
 - Reactivity: Human
 - Antigen: MUC6
 - Clone: SPM598
 - Isotype: IgG1, kappa
 - Source: Protein G affinity chromatography
 - Gene: 4588
 
Handling
- Quantity: 100 ug
 - Storage: Aliquot and Store at 2-8°C. Avoid freez-thaw cycles.
 - Buffer: PBS with 0.1 mg/ml BSA and 0.05% sodium azide
 
Applications
- Flow Cytometry (FC)
 - Immunofluorescence (IF)
 - Immunohistochemistry (Formalin-Fixed / Paraffin-Embedded Sections) (IHC (FP))
 


