Product & ReviewsAntibodies
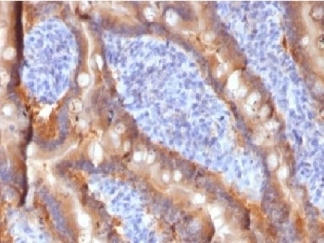
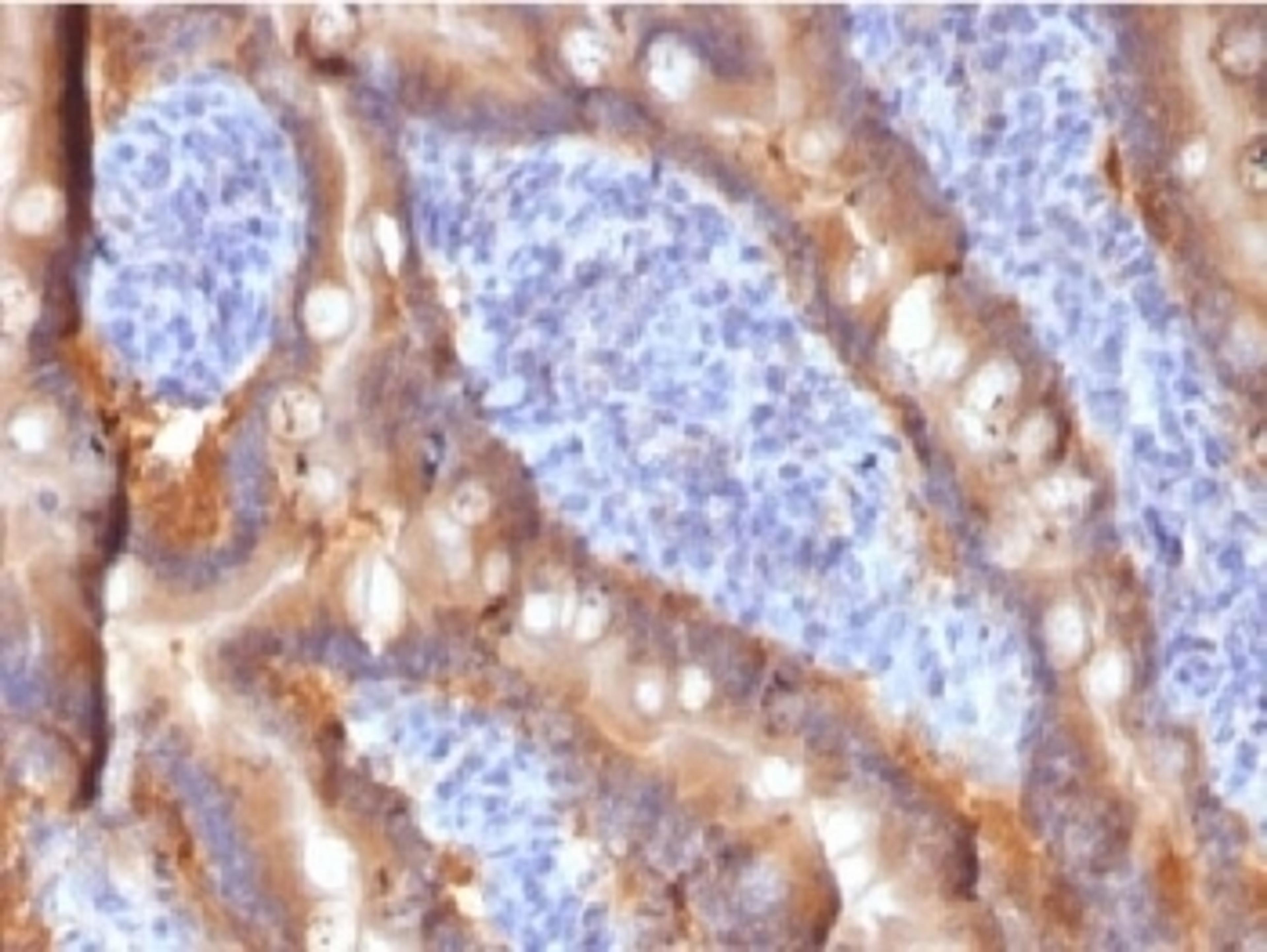
MRP1 Antibody [MRP1/1343]
Product Details
- Cat. No.
- 33-670
- Type
- Primary Antibody
- Clonality
- Monoclonal
- Host
- Mouse

The supplier does not provide quotations for this antibody through SelectScience. You can search for similar antibodies in our Antibody Directory.
Biological Information
- Clonality: Monoclonal
- Host: Mouse
- Reactivity: Human
- Antigen: ABCC1
- Clone: MRP1/1343
- Isotype: IgG1
- Source: Protein G affinity chromatography
- Gene: 4363
Handling
- Quantity: 100 ug
- Storage: Aliquot and Store at 2-8°C. Avoid freez-thaw cycles.
- Buffer: PBS with 0.1 mg/ml BSA and 0.05% sodium azide
Applications
- Flow Cytometry (FC)
- Immunofluorescence (IF)
- Immunohistochemistry (IHC)
- Western Blotting (WB)


