Product & ReviewsAntibodies
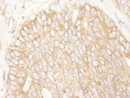
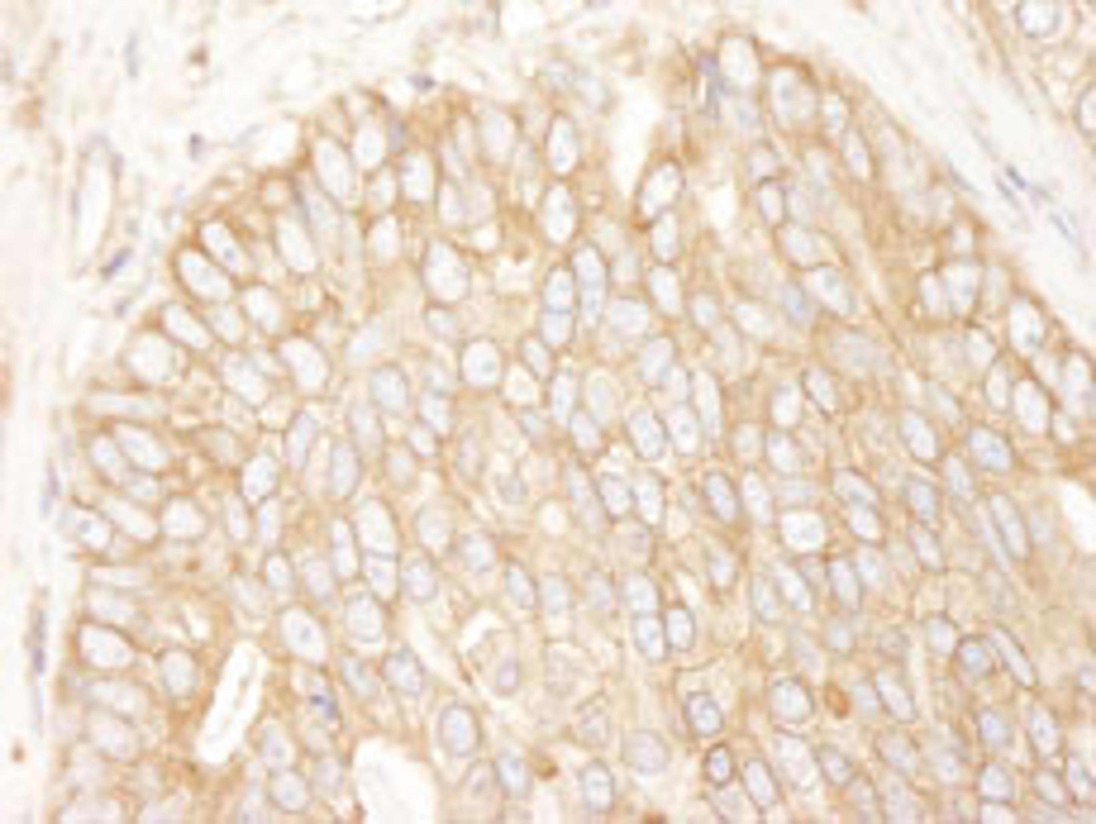
Mouse anti-Rictor Monoclonal Antibody [1G3P2C9]
Product Details
- Cat. No.
- A500-002A
- Type
- Primary Antibody
- Clonality
- Monoclonal
- Host
- Mouse

The supplier does not provide quotations for this antibody through SelectScience. You can search for similar antibodies in our Antibody Directory.
Description
Mouse anti-Rictor Monoclonal Antibody [1G3P2C9]
Biological Information
- Clonality: Monoclonal
- Host: Mouse
- Reactivity: Human
- Antigen: Rictor
- Clone: 1G3P2C9
- Conjugate: Unconjugated
- Isotype: IgG1-kappa
- Gene: 253260
Handling
- Quantity: 100 µl (10 blots)
- Storage: 2 - 8° C
- Buffer: Tris-citrate/phosphate buffer, pH 7 to 8 containing 0.09% Sodium Azide
Applications
- Immunocytochemistry (ICC)
- Immunofluorescence (IF)
- Immunohistochemistry (IHC)
- Immunoprecipitation (IP)
- Western Blotting (WB)


