Product & ReviewsAntibodies
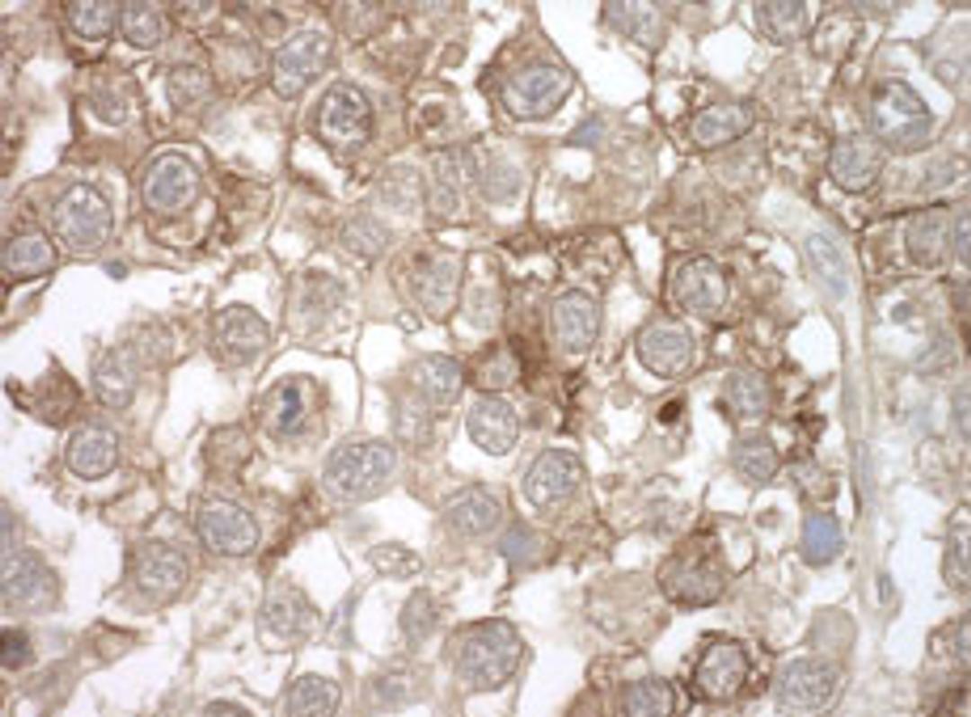
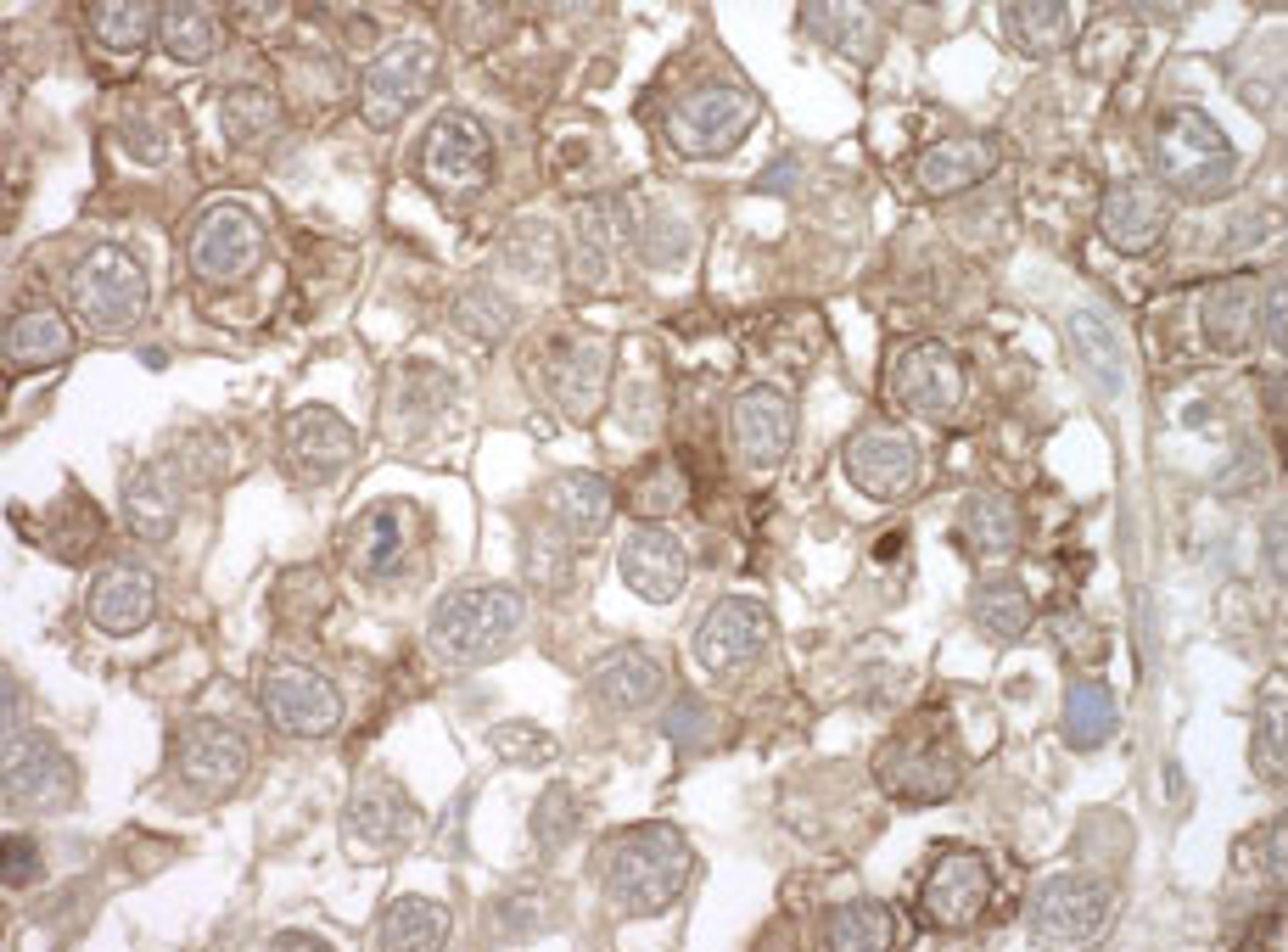
Mouse anti-MOV10 Monoclonal Antibody, Affinity Purified [15C1B8]
Product Details
- Cat. No.
- A500-009A
- Type
- Primary Antibody
- Clonality
- Monoclonal
- Host
- Mouse

The supplier does not provide quotations for this antibody through SelectScience. You can search for similar antibodies in our Antibody Directory.
Description
Mouse anti-MOV10 Monoclonal Antibody, Affinity Purified [15C1B8]
Biological Information
- Clonality: Monoclonal
- Host: Mouse
- Reactivity: Human, Mouse
- Antigen: MOV10
- Clone: 15C1B8
- Conjugate: Unconjugated
- Isotype: IgG1-kappa
- Gene: 4343
Handling
- Quantity: 100 µl (10 blots)
- Storage: 2 - 8° C
- Buffer: Tris-buffered Saline containing 0.1% BSA and 0.09% Sodium Azide
Applications
- Immunohistochemistry (IHC)
- Immunoprecipitation (IP)
- Western Blotting (WB)


