Product & ReviewsAntibodies
MOUSE ANTI MDM2
Product Details
- Cat. No.
- MCA1709
- Type
- Primary Antibody
- Clonality
- Monoclonal
- Host
- Mouse

The supplier does not provide quotations for this antibody through SelectScience. You can search for similar antibodies in our Antibody Directory.
Description
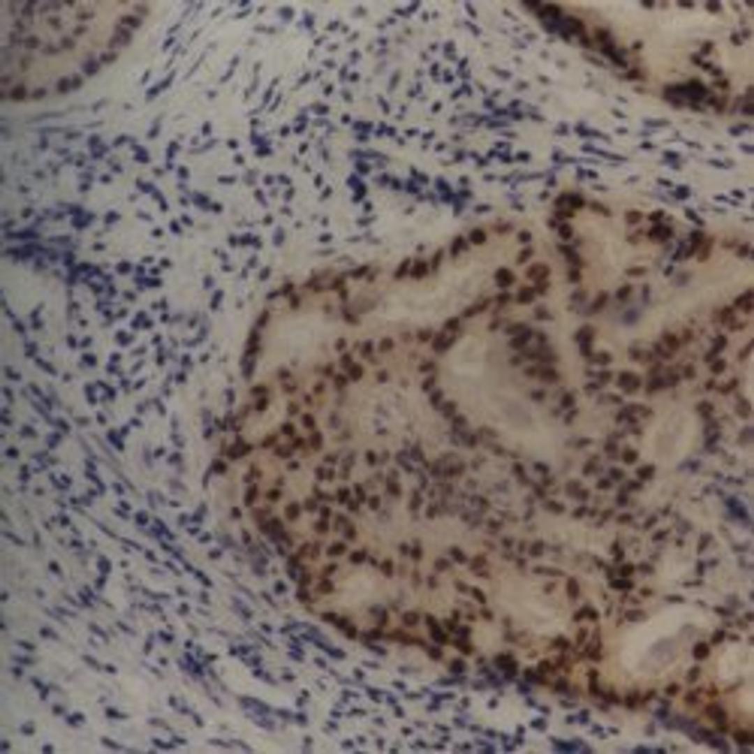
Mouse anti MDM2 antibody, clone SMP14 recognizes the 90kDa MDM2 protein, which forms a complex with p53 leading to p53 inhibition.MDM2 also acts to stimulate cell proliferation via its induction of transcription factors such as E2F1 and DPI.MDM2 is over expressed in a range of human malignancies, including soft tissue sarcomas, breast cancer and bladder cancer.
Biological Information
- Clonality: Monoclonal
- Host: Mouse
- Reactivity: Human, Mouse
- Isotype: IgG1
Handling
- Quantity: 0.1 mg
- Storage: +4ºC, -20ºC if preferred
- Buffer: Phosphate buffered saline, 0.09% Sodium Azide
Applications
- Immunohistochemistry (Frozen Sections) (IHC (Fr))
- Immunohistochemistry (Paraffin-Embedded Sections) (IHC (P))
- Immunoprecipitation (IP)


