MOUSE ANTI IKK
Product Details
- Cat. No.
- VMA00667
- Type
- Primary Antibody
- Clonality
- Monoclonal
- Host
- Mouse

The supplier does not provide quotations for this antibody through SelectScience. You can search for similar antibodies in our Antibody Directory.
Description
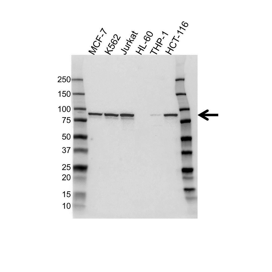
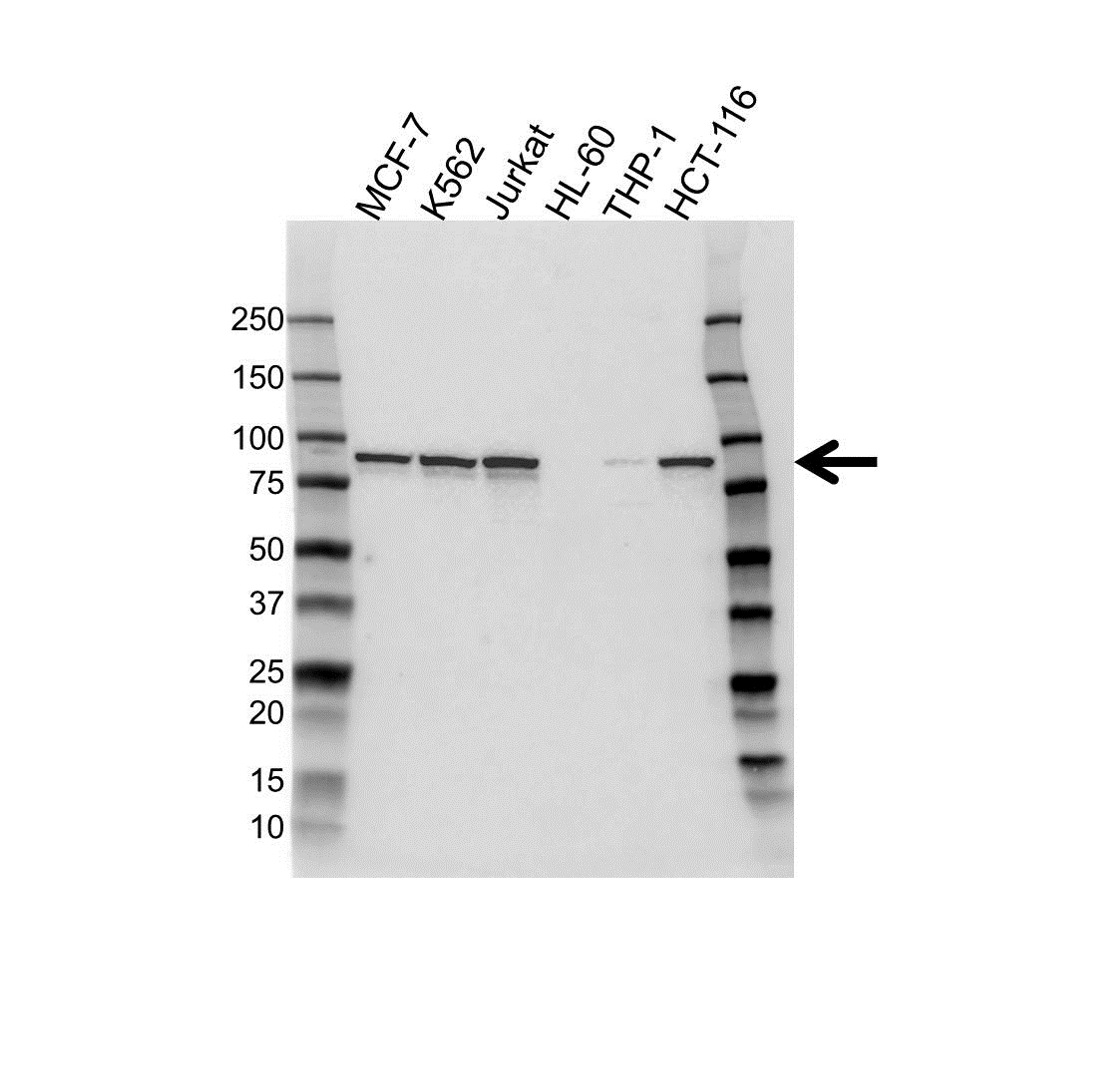
Mouse anti Human IKK antibody recognizes inhibitor of nuclear factor (NF) kappa-B kinase subunit alpha, also known as I-kappa-B kinase 1, IKK-a kinase, IkB kinase alpha subunit or nuclear factor NFkappaB inhibitor kinase alpha. CHUK encodes a member of the serine/threonine protein kinase family. The encoded protein, a component of a cytokine-activated protein complex that is an inhibitor of the essential transcription factor NF kappa-B complex, phosphorylates sites that trigger the degradation of the inhibitor via the ubiquination pathway, thereby activating the transcription factor (provided by RefSeq, Jul 2008). Mouse anti Human IKK antibody detects bands of 85 and 87 kDa. The antibody has been extensively validated for western blotting using whole cell lysates.
Biological Information
- Clonality: Monoclonal
- Host: Mouse
- Reactivity: Human
- Isotype: IgG1
Handling
- Quantity: 100 µl
- Storage: -20ºC only
- Buffer: Phosphate buffered saline, 0.09% Sodium Azide, 1% BSA
Applications
- Western Blotting (WB)


