MOUSE ANTI HUMAN PROTEIN GENE PRODUCT 9.5
Product Details
- Cat. No.
- MCA4750GA
- Type
- Primary Antibody
- Clonality
- Monoclonal
- Host
- Mouse

The supplier does not provide quotations for this antibody through SelectScience. You can search for similar antibodies in our Antibody Directory.
Description
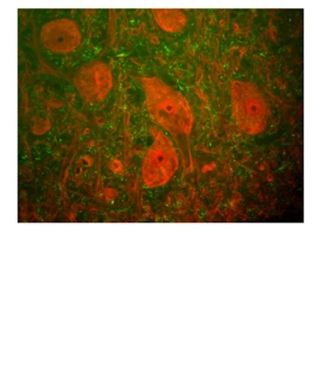
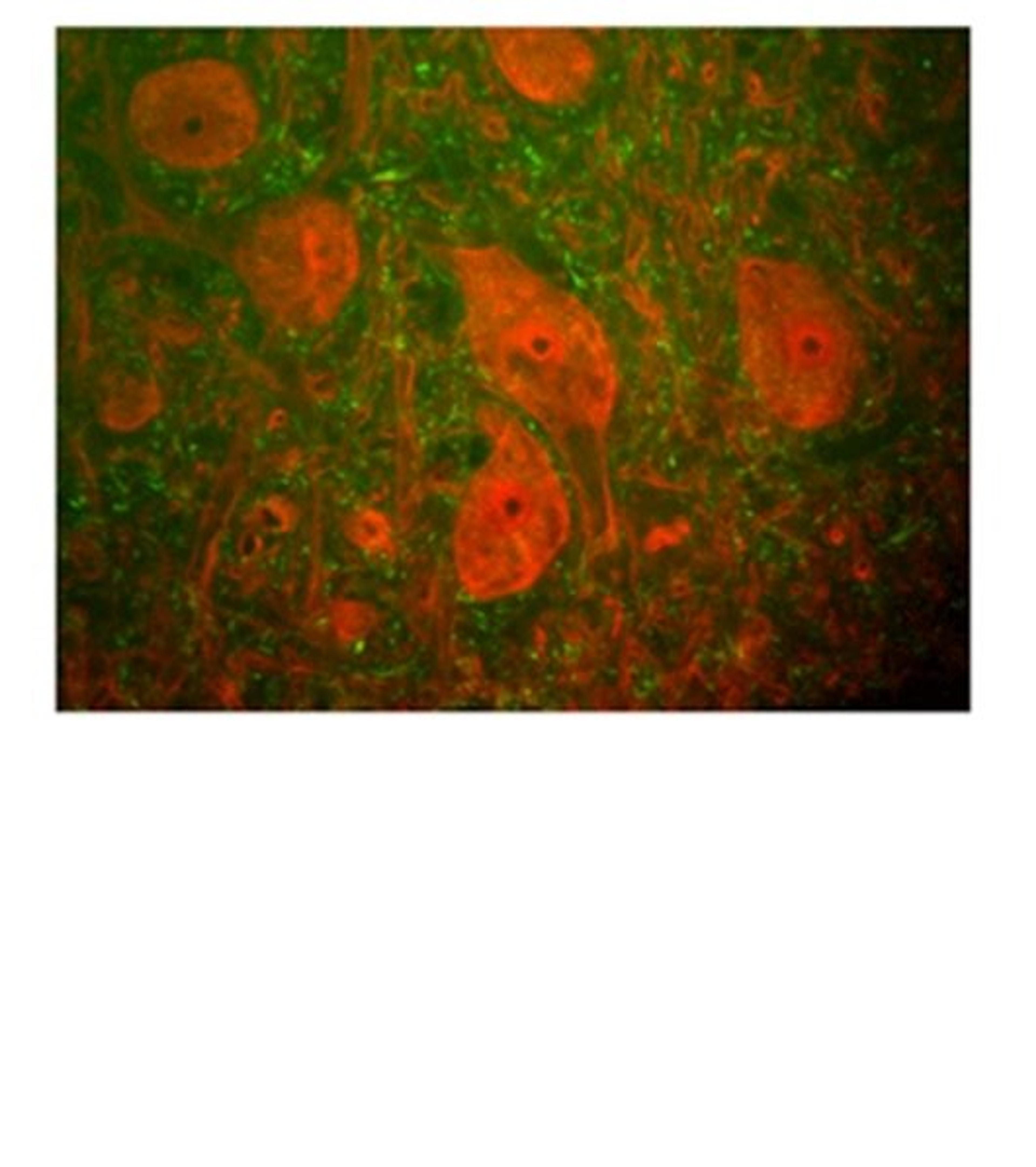
Mouse anti Human protein gene product 9.5 monoclonal antibody, clone BH7 recognizes protein gene product 9.5 (PGP9.5) also known as ubiquitin C terminal hydrolase 1 (UCH-L1). UCH-L1 is a thiol protease that recognises and hydrolyses a peptide bond at the C-terminal glycine of ubiquitin. This protein is closely related to UCH-L3 and both are thought to recycle ubiquitin to maintain pools of monomeric ubiquitin necessary for proteolysis. UCH-L1 is expressed in neurons and cells of the diffuse neuroendocrine system and their tumours.UCH-L1 and UCH-L3 have been shown to have separate and overlapping functions in the maintanence of neurons of the gracile tract, nucleus tractus solitarius (NTS) and area postrema (Kurihara et al. 2001) .
Biological Information
- Clonality: Monoclonal
- Host: Mouse
- Reactivity: Bovine, Human, Mammalian, Mouse, Rat
- Isotype: IgG1
Handling
- Quantity: 0.1 ml
- Storage: +4ºC, -20ºC if preferred
- Buffer: Phosphate buffered saline, 0.065% Sodium Azide
Applications
- Immunofluorescence (IF)
- Western Blotting (WB)


