MOUSE ANTI HUMAN MYELOPEROXIDASE
Product Details
- Cat. No.
- MCA1757
- Type
- Primary Antibody
- Clonality
- Monoclonal
- Host
- Mouse

The supplier does not provide quotations for this antibody through SelectScience. You can search for similar antibodies in our Antibody Directory.
Description
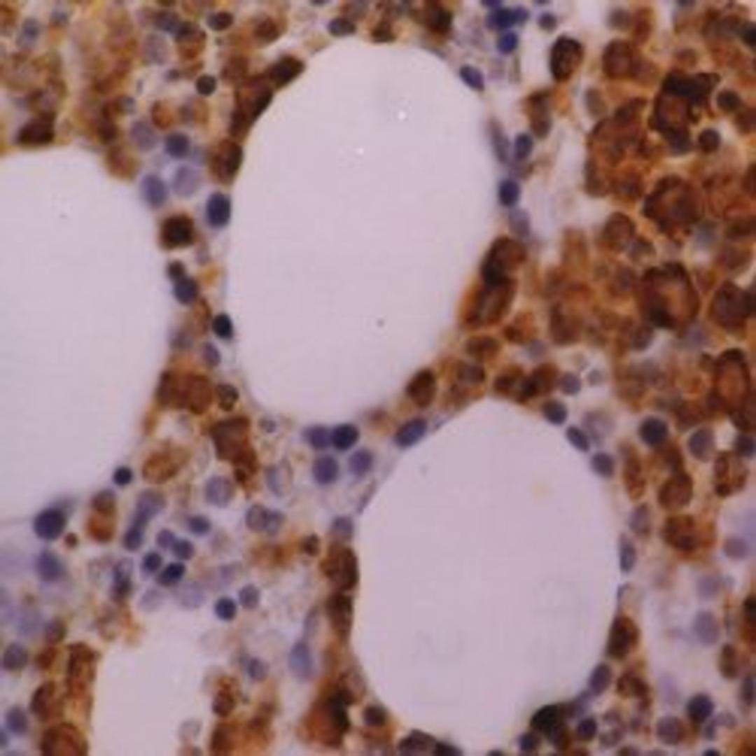
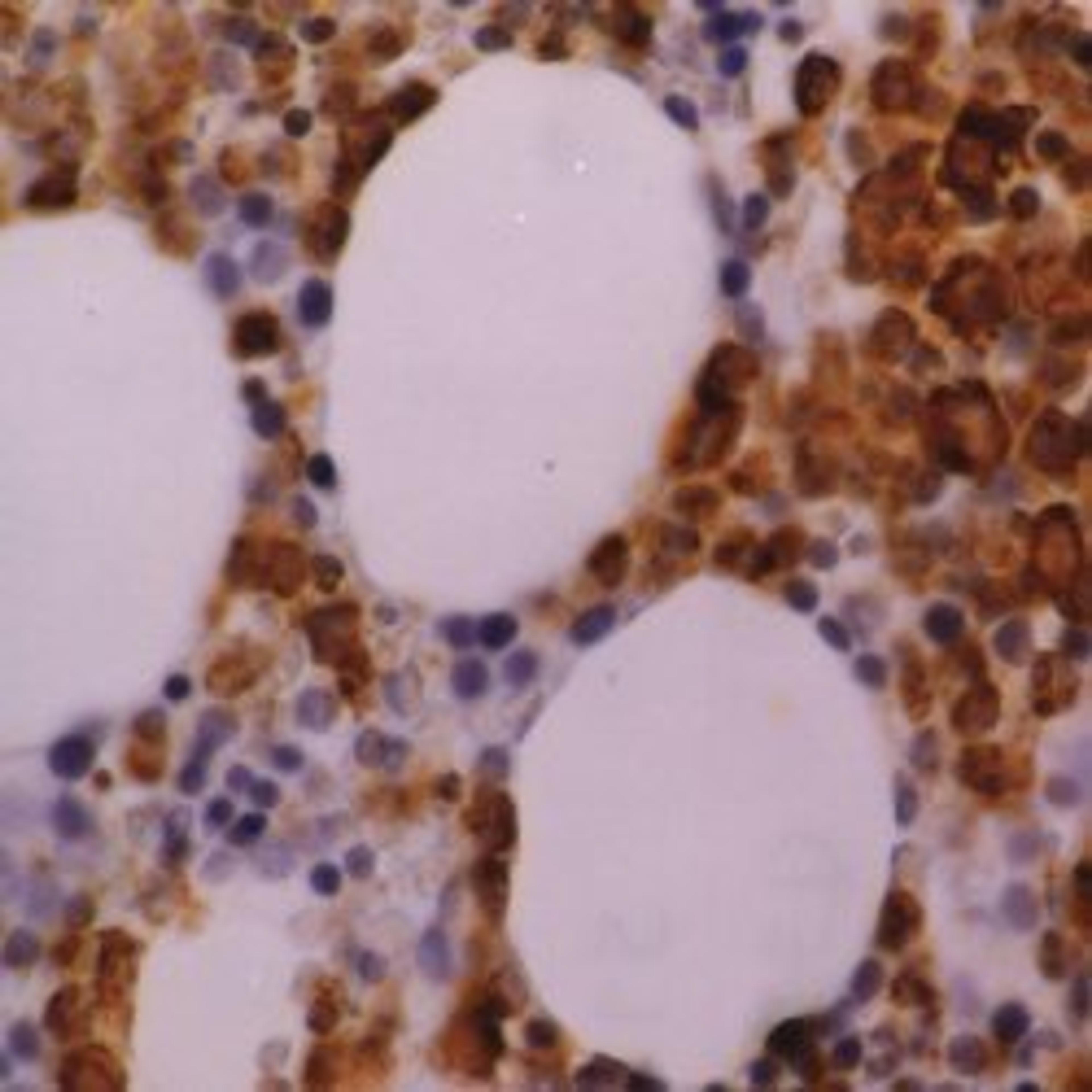
Mouse anti Human myeloperoxidase antibody, clone 2C7 recognizes human myeloperoxidase (MPO). MPO is an important component of azurophilic granules in neutrophils, being involved in microbicidal processes. The protein is a multimer of 2 heavy chains (55 kDa) and two light chains (15 kDa), the heavy chains being linked by a disulphide bond. Mouse anti Human Myeloperoxidase antibody, clone 2C7 recognizes native MPO in Western blots, and the heavy chain following boiling of the sample. Mouse anti Human Myeloperoxidase antibody, clone 2C7 also recognizes recombinant MPO in western blots and weakly in ELISA.Mouse anti Human myeloperoxidase antibody, clone 2C7 may be of value in the study of myeloid cells and myeloid leukaemias by flow cytometry following cell permeabilization. Mouse anti Human myeloperoxidase antibody, clone 2C7 did not recognize rat MPO by ELISA (Patry et al. 2003).
Biological Information
- Clonality: Monoclonal
- Host: Mouse
- Reactivity: Dog (Canine), Human
- Isotype: IgG1
Handling
- Quantity: 0.2 mg
- Storage: +4ºC, -20ºC if preferred
- Buffer: Phosphate buffered saline, 0.09% Sodium Azide
Applications
- ELISA (ELISA)
- Flow Cytometry (FC)
- Immunohistochemistry (Frozen Sections) (IHC (Fr))
- Immunohistochemistry (Paraffin-Embedded Sections) (IHC (P))
- Western Blotting (WB)


