Product & ReviewsAntibodies
MOUSE ANTI HUMAN CYTOKERATIN (PAN)
Product Details
- Cat. No.
- MCA1907
- Type
- Primary Antibody
- Clonality
- Monoclonal
- Host
- Mouse

The supplier does not provide quotations for this antibody through SelectScience. You can search for similar antibodies in our Antibody Directory.
Description
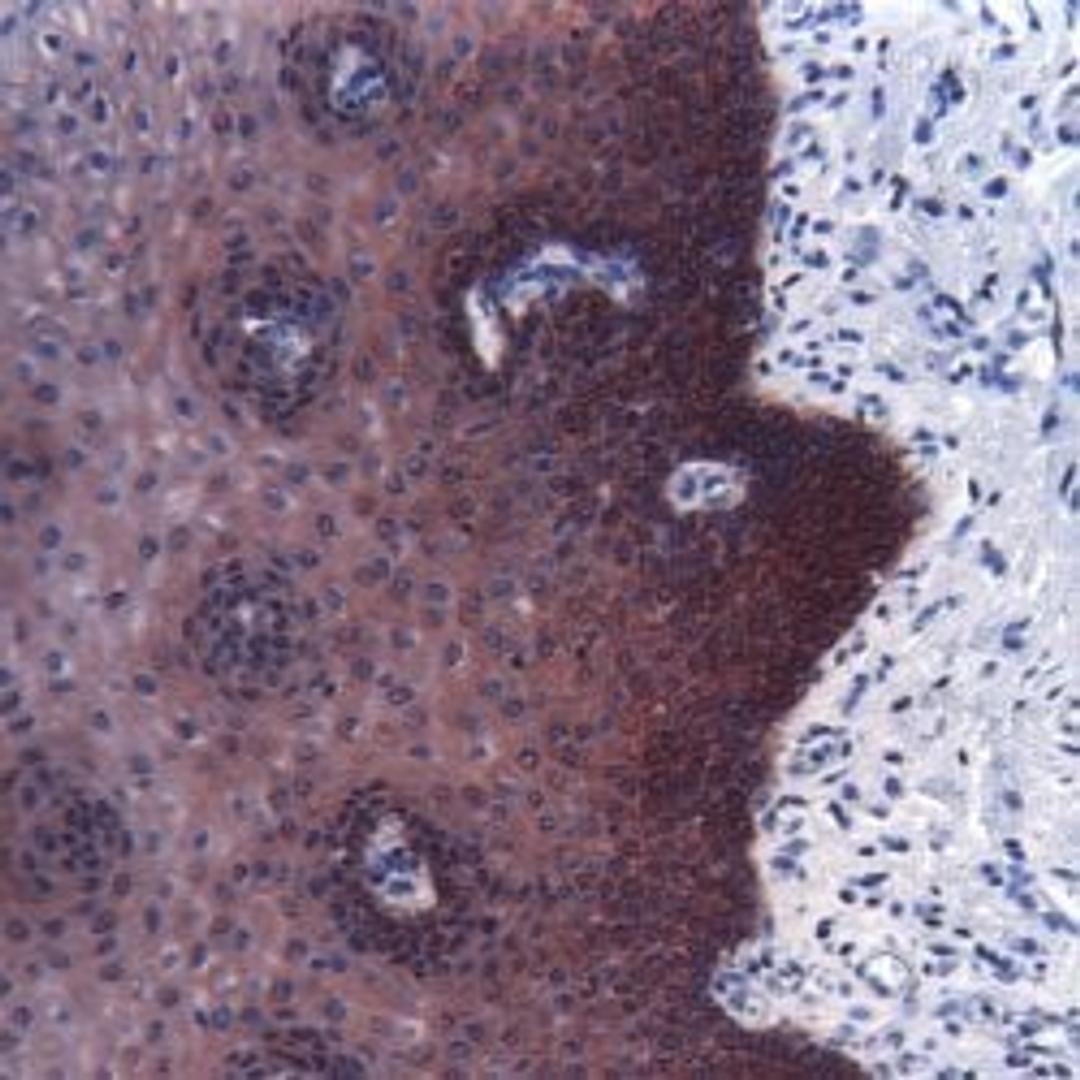
Mouse anti Human Cytokeratin (Pan) antibody, clone AE1/AE3 is a pan-cytokeratin reagent, being a cocktail of clones AE1 and AE3 which provides the broadest spectrum of reactivity to the 19 known human epidermal keratins. It produces positive staining in virtually all epithelia.
Biological Information
- Clonality: Monoclonal
- Host: Mouse
- Reactivity: Human, Macaque Monkey, Mouse, Pig (Swine), Shrew
- Isotype: IgG1
Handling
- Quantity: 1 ml
- Storage: +4ºC, -20ºC if preferred
- Buffer: Phosphate buffered saline, 0.1% Sodium Azide, 1% BSA
Applications
- Immunohistochemistry (Frozen Sections) (IHC (Fr))
- Immunohistochemistry (Paraffin-Embedded Sections) (IHC (P))


