MOUSE ANTI HUMAN CD62P
Product Details
- Cat. No.
- MCA796
- Type
- Primary Antibody
- Clonality
- Monoclonal
- Host
- Mouse

The supplier does not provide quotations for this antibody through SelectScience. You can search for similar antibodies in our Antibody Directory.
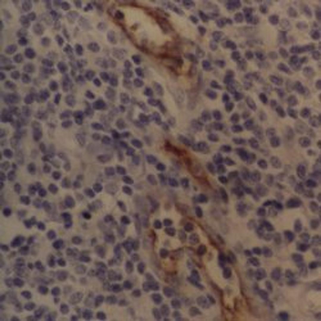
Description
Mouse anti Human CD62P antibody, clone AK-6 recognizes the CD62P, also known as P-selectin, Granule membrane protein 140, GMP140, Leukocyte-endothelial cell adhesion molecule 3 or Platelet activation dependent granule-external membrane protein. CD62P is a 830 amino acid, including a 41 amino acid signal peptide, ~140 kDa single pass type I transmembrane glycoprotein expressed on activated platelets and endothelial cellCD62P plays an important role in adhesive processes between leucocytes and endothelial cells. CD62P is a component of the platelet alpha granule and is rapidly translocated to the plasma membrane upon activation (Stenberg et al. 1985).<br
Biological Information
- Clonality: Monoclonal
- Host: Mouse
- Reactivity: Human, Rhesus Monkey
- Isotype: IgG1
Handling
- Quantity: 0.2 mg
- Storage: +4ºC, -20ºC if preferred
- Buffer: Phosphate buffered saline, 0.09% Sodium Azide
Applications
- Flow Cytometry (FC)
- Immunofluorescence (IF)
- Immunohistochemistry (Frozen Sections) (IHC (Fr))
- Immunohistochemistry (Paraffin-Embedded Sections) (IHC (P))
- Western Blotting (WB)


