MOUSE ANTI Bcl-2
Product Details
- Cat. No.
- VMA00017
- Type
- Primary Antibody
- Clonality
- Monoclonal
- Host
- Mouse

The supplier does not provide quotations for this antibody through SelectScience. You can search for similar antibodies in our Antibody Directory.
Description
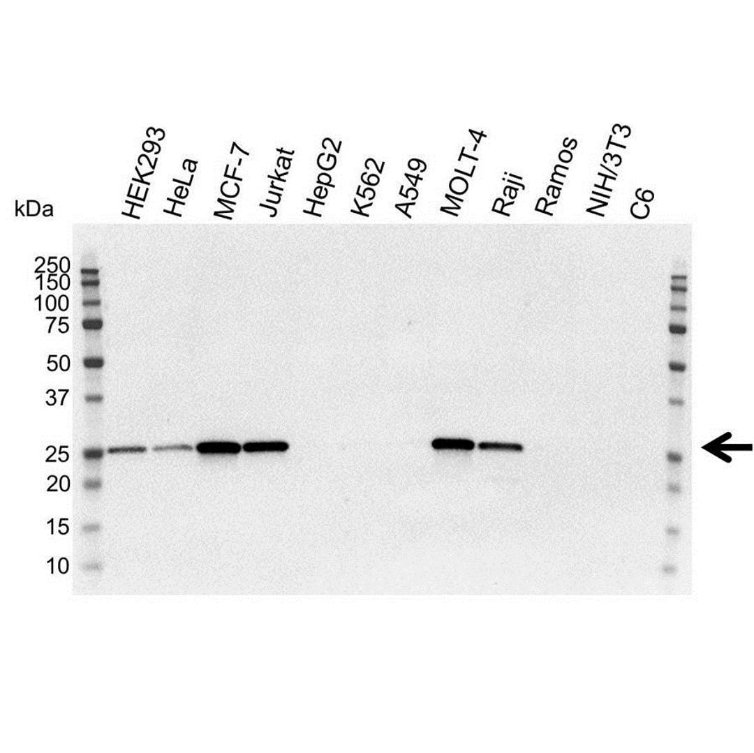
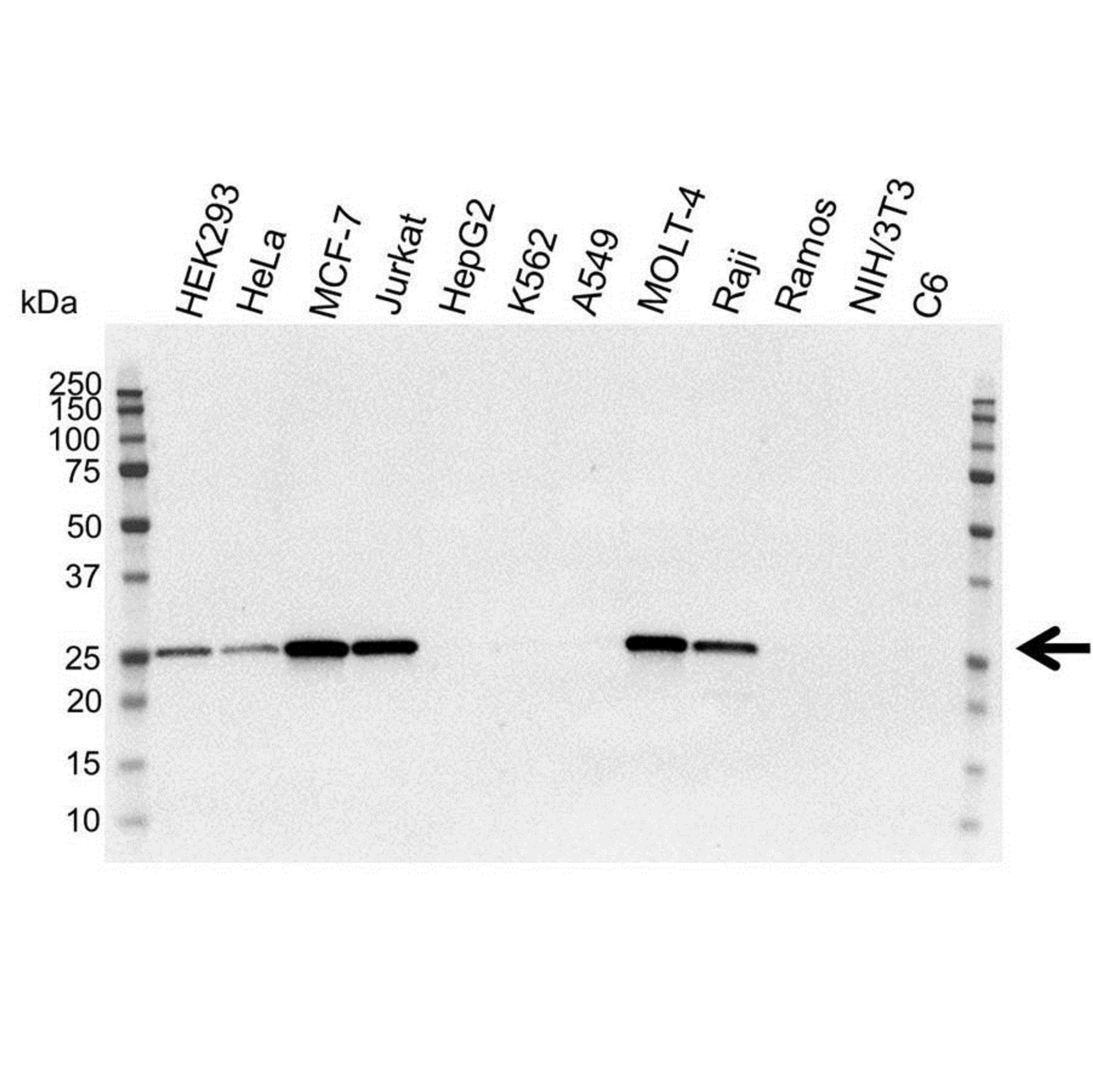
Mouse anti Human bcl-2 antibody recognizes the human apoptosis regulator bcl-2 oncoprotein, a 239 amino acid integral single pass membrane protein containing 4 BH motifs which lies within the cell rather than on the cell surface. The protein is localized to the outer mitochondrial membrane and plays a role in the inhibition of apoptosis. Mouse anti Human bcl-2 antibody reacts with small B lymphocytes in the mantle zone and many cells within T cell areas. Very few cells in germinal centres are stained. In the thymus many cells in the medulla are stained but the cortex shows weak or negative staining. In non-hematopoietic tissues few cells are stained (Krajewski et al. 1995). The antibody reacts with neoplastic cells of follicular lymphoma and anaplastic large cell lymphoma (Reed 1997).Mouse anti Human bcl-2 antibody recognizes bcl-2 as a ~26 kDa single band by western blotting in various human cell lysates and the COS-7 cell line.
Biological Information
- Clonality: Monoclonal
- Host: Mouse
- Reactivity: African Green Monkey, Human
- Isotype: IgG1
Handling
- Quantity: 100 µl
- Storage: -20ºC only
- Buffer: Phosphate buffered saline, 0.09% Sodium Azide
Applications
- Western Blotting (WB)


