Product & ReviewsAntibodies
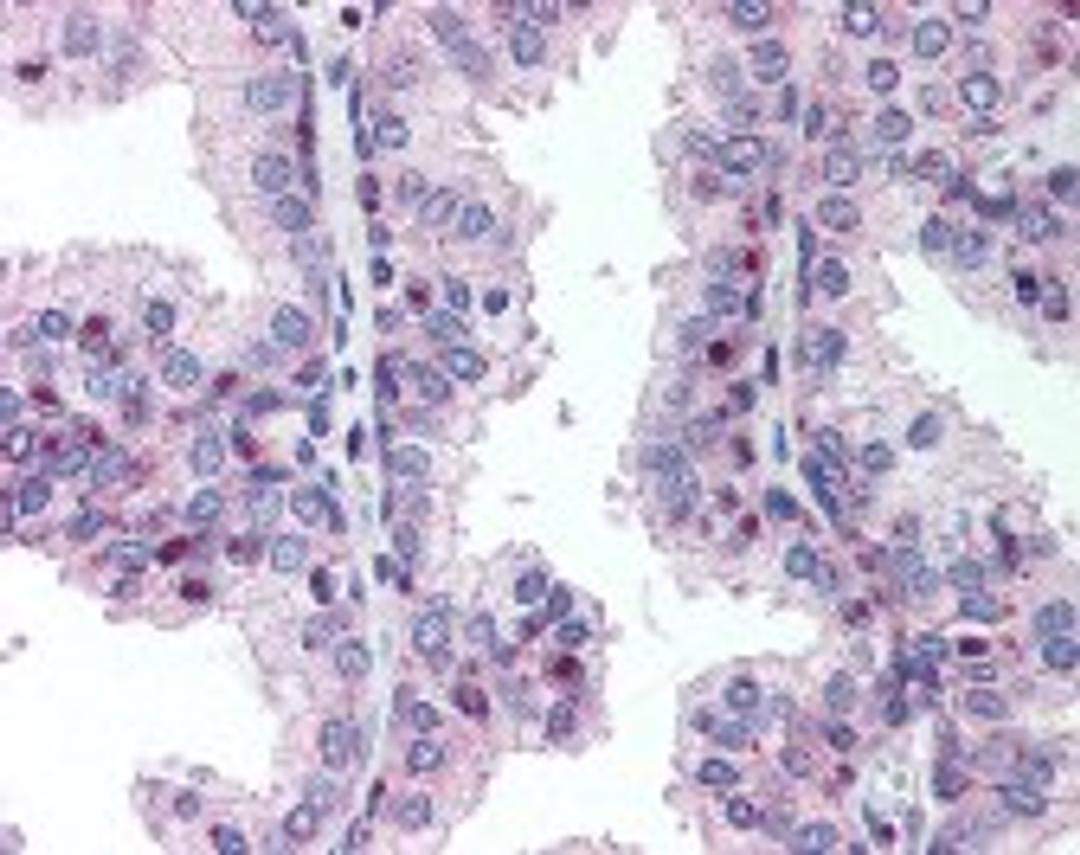
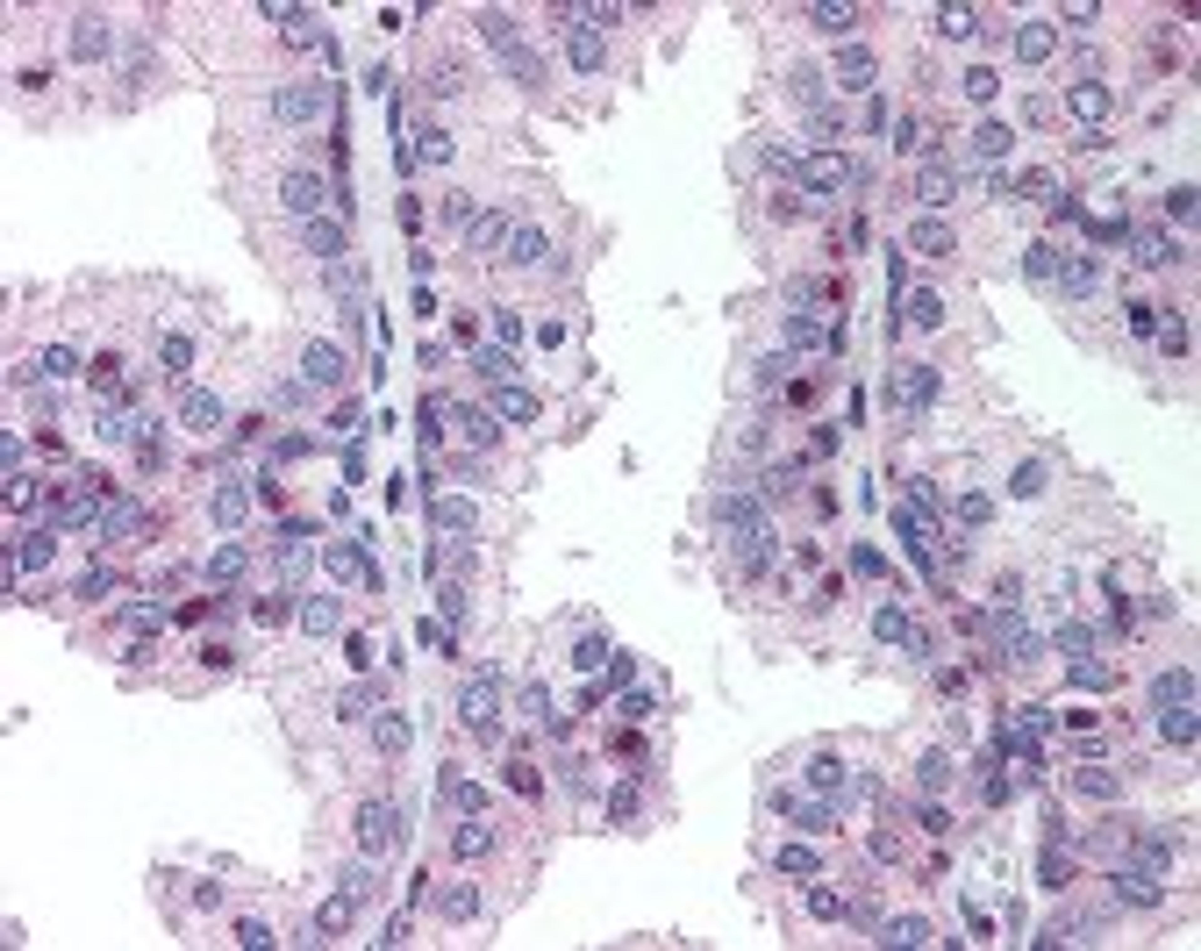
MLF1IP Antibody
Product Details
- Cat. No.
- 49-359
- Type
- Primary Antibody
- Clonality
- Polyclonal
- Host
- Rabbit

The supplier does not provide quotations for this antibody through SelectScience. You can search for similar antibodies in our Antibody Directory.
Biological Information
- Clonality: Polyclonal
- Host: Rabbit
- Reactivity: Bovine, Chimpanzee, Dog (Canine), Human
- Antigen: MLF1IP
- Source: Immunoaffinity Chromatography
- Gene: 79682
Handling
- Quantity: 0.05 mg
- Storage: Store MLF1IP antibody at -20 °C prior to opening. Dilute only prior to immediate use. For extended storage, aliquot contents and freeze at -20 °C or below. As with all antibodies avoid freeze/thaw cycles.
- Buffer: 0.02 M potassium phosphate, 0.15 M sodium chloride, pH 7.2, 0.01% sodium azide.
Applications
- ELISA (ELISA)
- Immunohistochemistry (IHC)
- Immunoprecipitation (IP)
- Western Blotting (WB)


