Product & ReviewsAntibodies
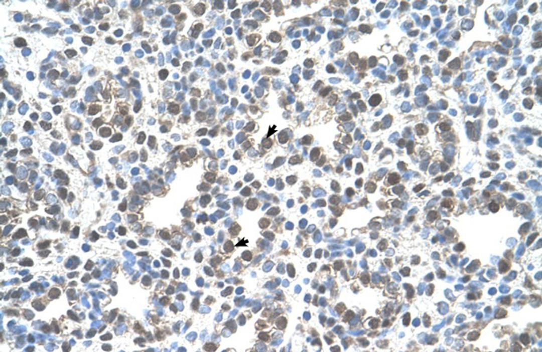
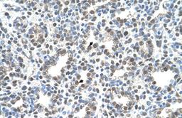
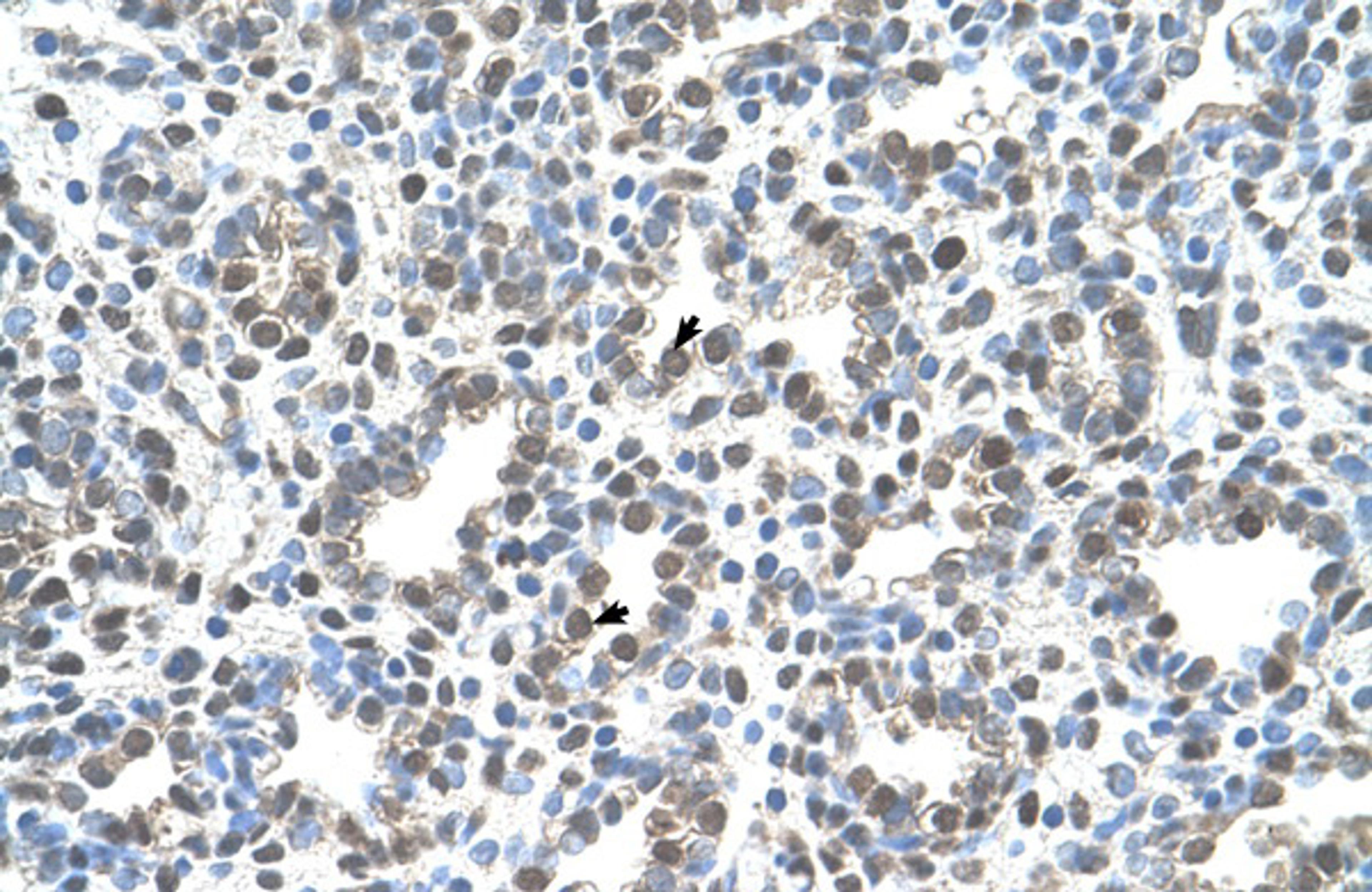
MCM3 Antibody
Product Details
- Cat. No.
 - 28-534
 - Type
 - Primary Antibody
 - Clonality
 - Polyclonal
 - Host
 - Rabbit
 

The supplier does not provide quotations for this antibody through SelectScience. You can search for similar antibodies in our Antibody Directory.
Biological Information
- Clonality: Polyclonal
 - Host: Rabbit
 - Reactivity: Human
 - Antigen: MCM3
 - Source: Antibody is purified by peptide affinity chromatography method.
 - Gene: 4172
 
Handling
- Quantity: 100 ul
 - Storage: For short periods of storage (days) store at 4°C. For longer periods of storage, store MCM3 antibody at -20°C. As with any antibody avoid repeat freeze-thaw cycles.
 - Buffer: Purified antibody supplied in 1x PBS buffer with 0.09% (w/v) sodium azide and 2% sucrose.
 
Applications
- ELISA (ELISA)
 - Immunohistochemistry (IHC)
 - Western Blotting (WB)
 


