Product & ReviewsAntibodies
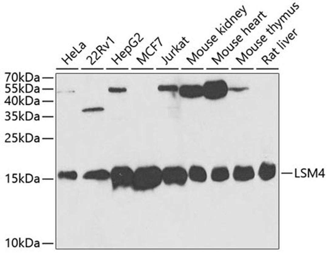
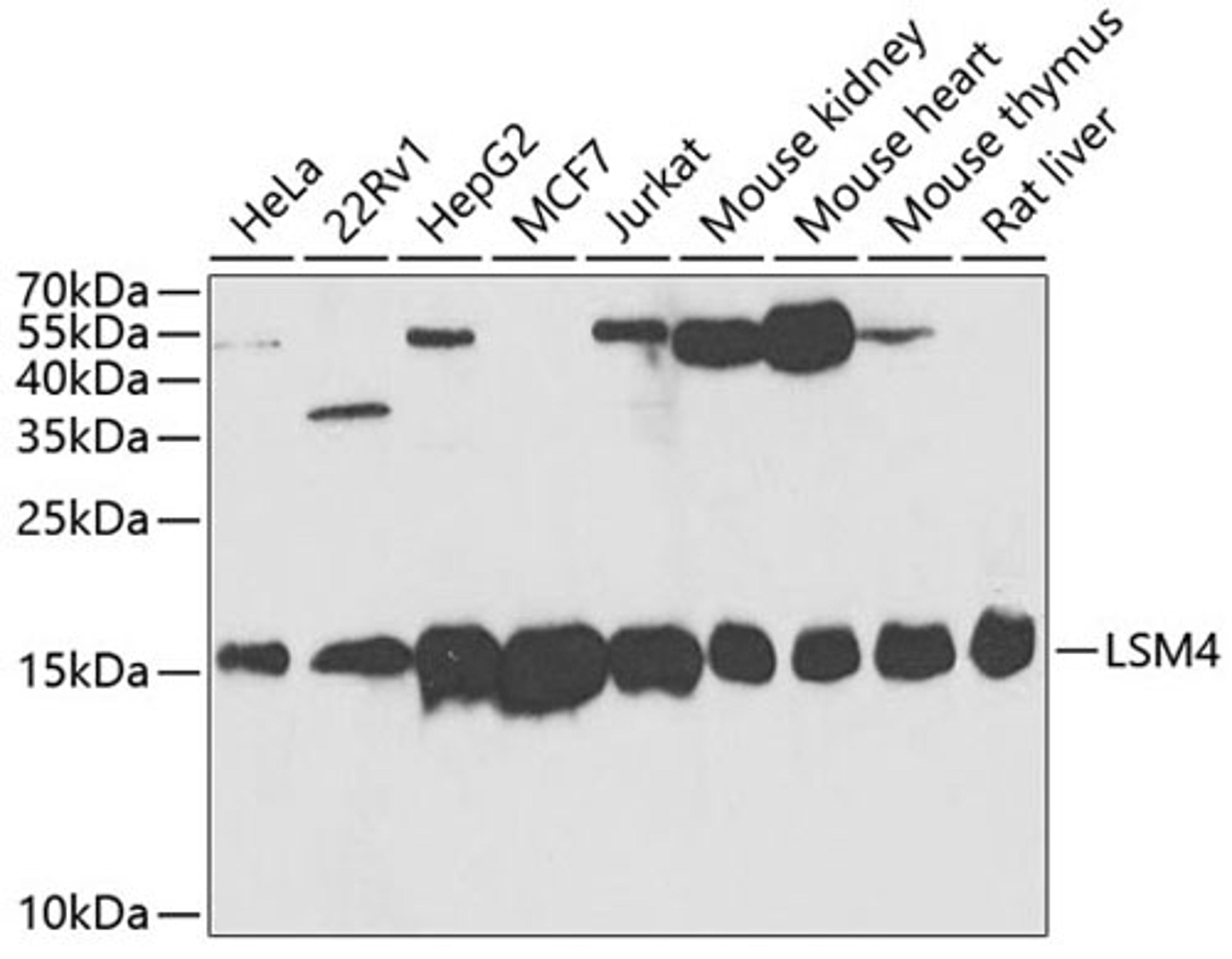
LSM4 Rabbit pAb
Product Details
- Cat. No.
- A5891
- Type
- Primary Antibody
- Clonality
- Polyclonal
- Host
- Rabbit

The supplier does not provide quotations for this antibody through SelectScience. You can search for similar antibodies in our Antibody Directory.
Description
This gene encodes a member of the LSm family of RNA-binding proteins. LSm proteins form stable heteromers that bind specifically to the 3'-terminal oligo(U) tract of U6 snRNA and may play a role in pre-mRNA splicing by mediating U4/U6 snRNP formation. Alternatively spliced transcript variants encoding multiple isoforms have been observed for this gene.
Biological Information
- Clonality: Polyclonal
- Host: Rabbit
- Reactivity: Human, Mouse, Rat


