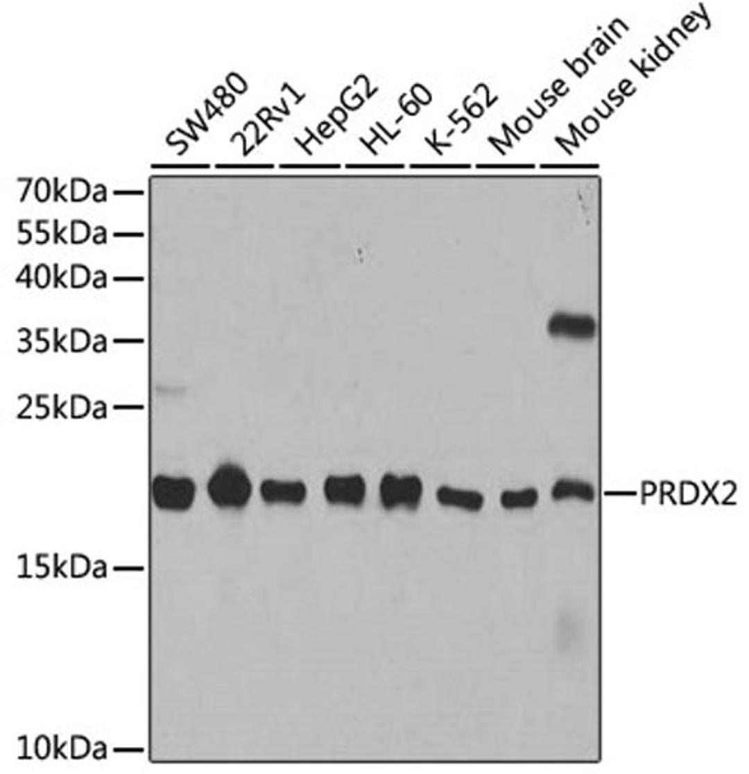
[KO Validated] PRDX2 Rabbit pAb
Product Details
- Cat. No.
- A1919
- Type
- Primary Antibody
- Clonality
- Polyclonal
- Host
- Rabbit

The supplier does not provide quotations for this antibody through SelectScience. You can search for similar antibodies in our Antibody Directory.
Description
This gene encodes a member of the peroxiredoxin family of antioxidant enzymes, which reduce hydrogen peroxide and alkyl hydroperoxides. The encoded protein plays an antioxidant protective role in cells, and it may contribute to the antiviral activity of CD8(+) T-cells. The crystal structure of this protein has been resolved to 2.7 angstroms. This protein prevents hemolytic anemia from oxidative stress by stabilizing hemoglobin, thus making this gene a therapeutic target for patients with hemolytic anemia. This protein may have a proliferative effect and play a role in cancer development or progression. Related pseudogenes have been identified on chromosomes 5, 6, 10 and 13.
Biological Information
- Clonality: Polyclonal
- Host: Rabbit
- Reactivity: Human, Mouse


