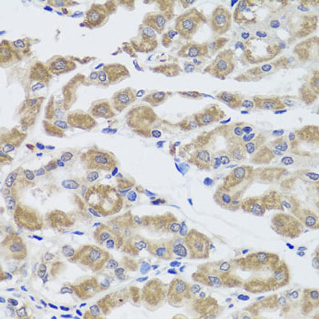
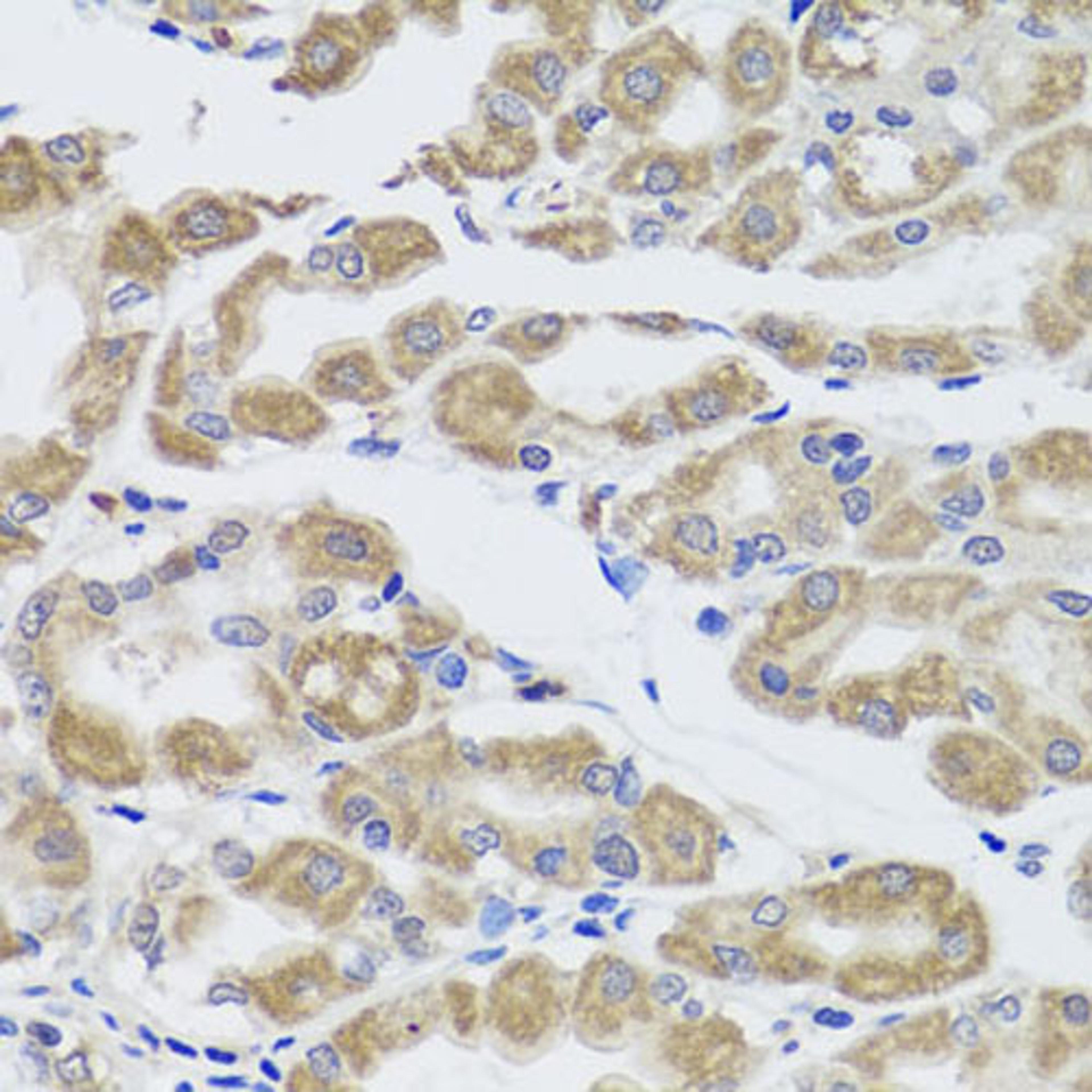
KLK3 Rabbit pAb
Product Details
- Cat. No.
- A2052
- Type
- Primary Antibody
- Clonality
- Polyclonal
- Host
- Rabbit

The supplier does not provide quotations for this antibody through SelectScience. You can search for similar antibodies in our Antibody Directory.
Description
Kallikreins are a subgroup of serine proteases having diverse physiological functions. Growing evidence suggests that many kallikreins are implicated in carcinogenesis and some have potential as novel cancer and other disease biomarkers. This gene is one of the fifteen kallikrein subfamily members located in a cluster on chromosome 19. Its protein product is a protease present in seminal plasma. It is thought to function normally in the liquefaction of seminal coagulum, presumably by hydrolysis of the high molecular mass seminal vesicle protein. Serum level of this protein, called PSA in the clinical setting, is useful in the diagnosis and monitoring of prostatic carcinoma. Alternate splicing of this gene generates several transcript variants encoding different isoforms.
Biological Information
- Clonality: Polyclonal
- Host: Rabbit
- Reactivity: Human, Mouse, Rat


