Product & ReviewsAntibodies
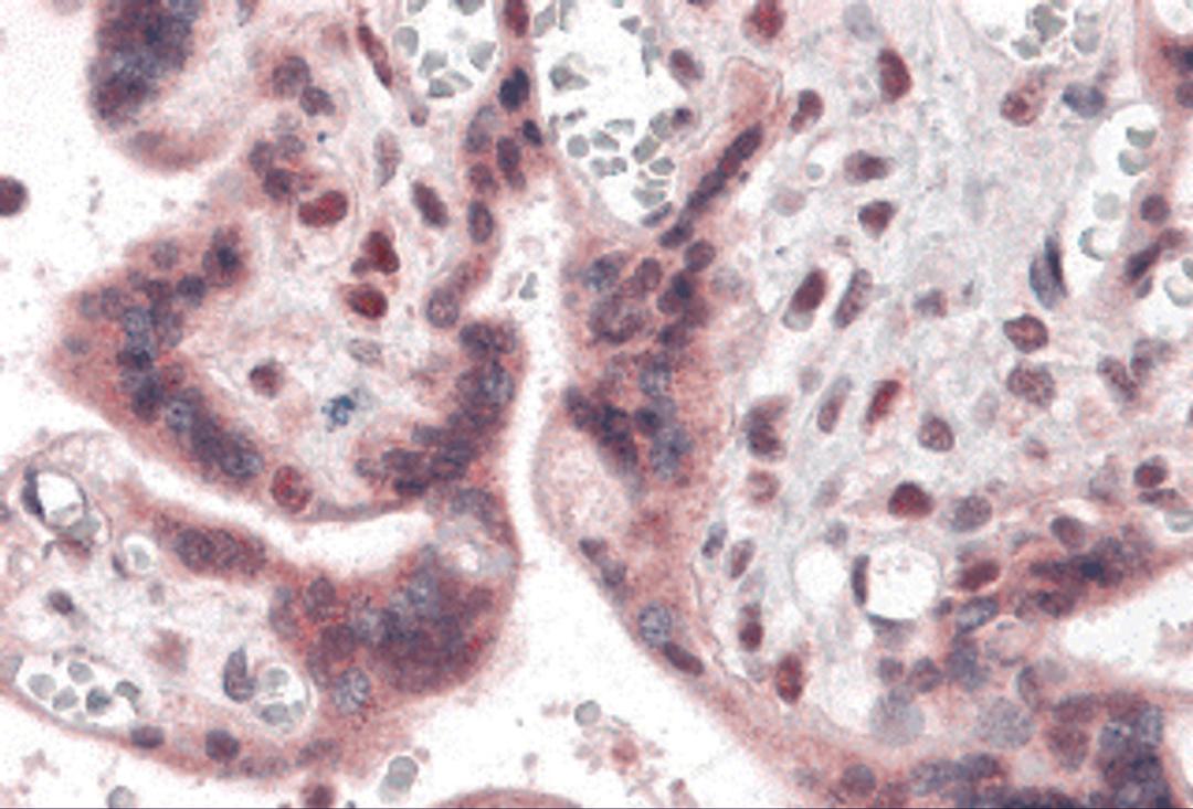
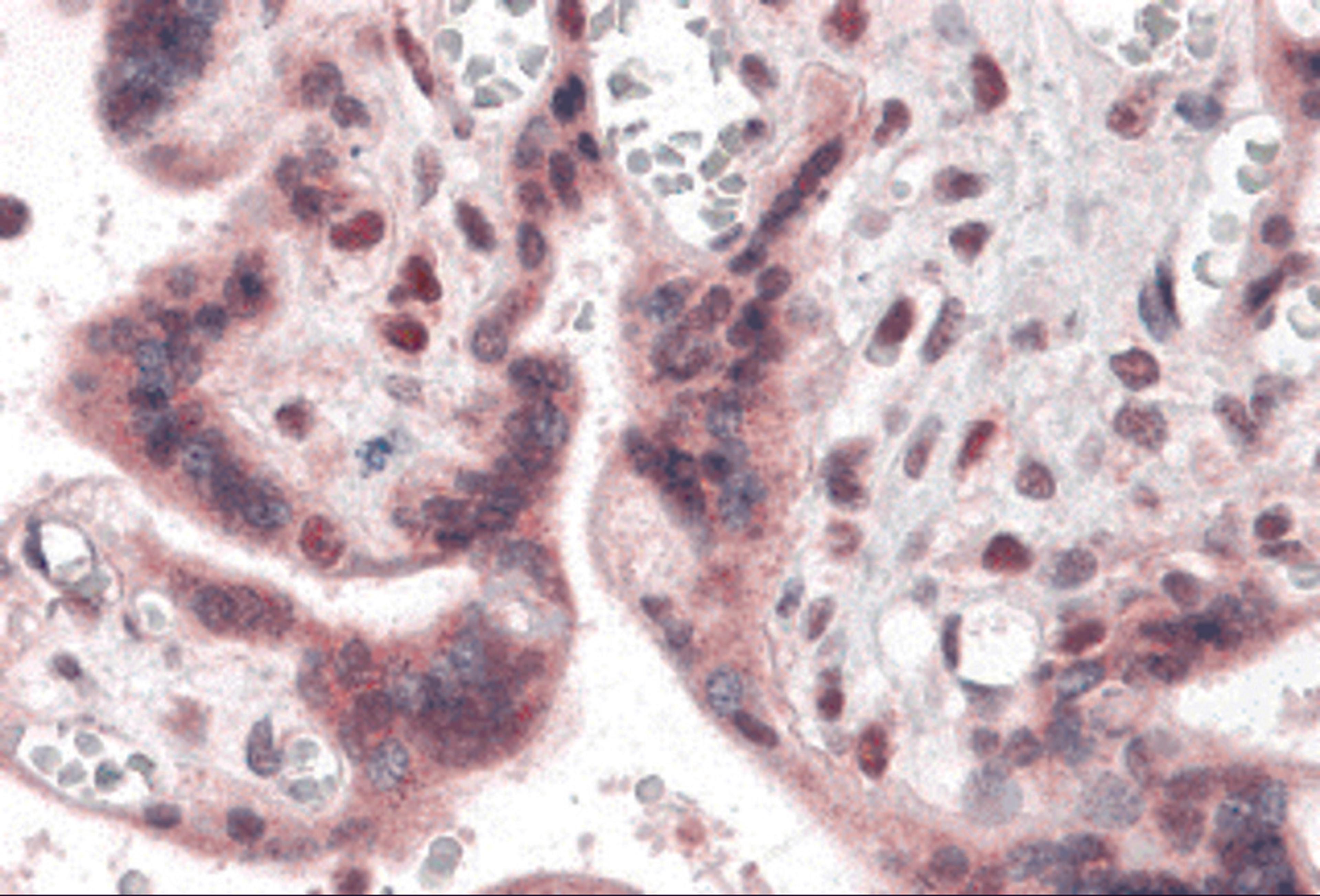
IRF2BP2 Antibody
Product Details
- Cat. No.
- 5601
- Type
- Primary Antibody
- Clonality
- Polyclonal
- Host
- Rabbit

The supplier does not provide quotations for this antibody through SelectScience. You can search for similar antibodies in our Antibody Directory.
Biological Information
- Clonality: Polyclonal
- Host: Rabbit
- Antigen: IRF2BP2
- Isotype: IgG
- Source: IRF2BP2 Antibody is affinity chromatography purified via peptide column.
- Gene: 359948
Handling
- Quantity: 0.02 mg, 0.1 mg
- Storage: IRF2BP2 antibody can be stored at 4°C for three months and -20°C, stable for up to one year. As with all antibodies care should be taken to avoid repeated freeze thaw cycles. Antibodies should not be exposed to prolonged high temperatures.
- Buffer: IRF2BP2 Antibody is supplied in PBS containing 0.02% sodium azide.


