Product & ReviewsAntibodies
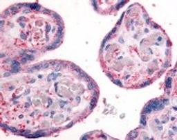
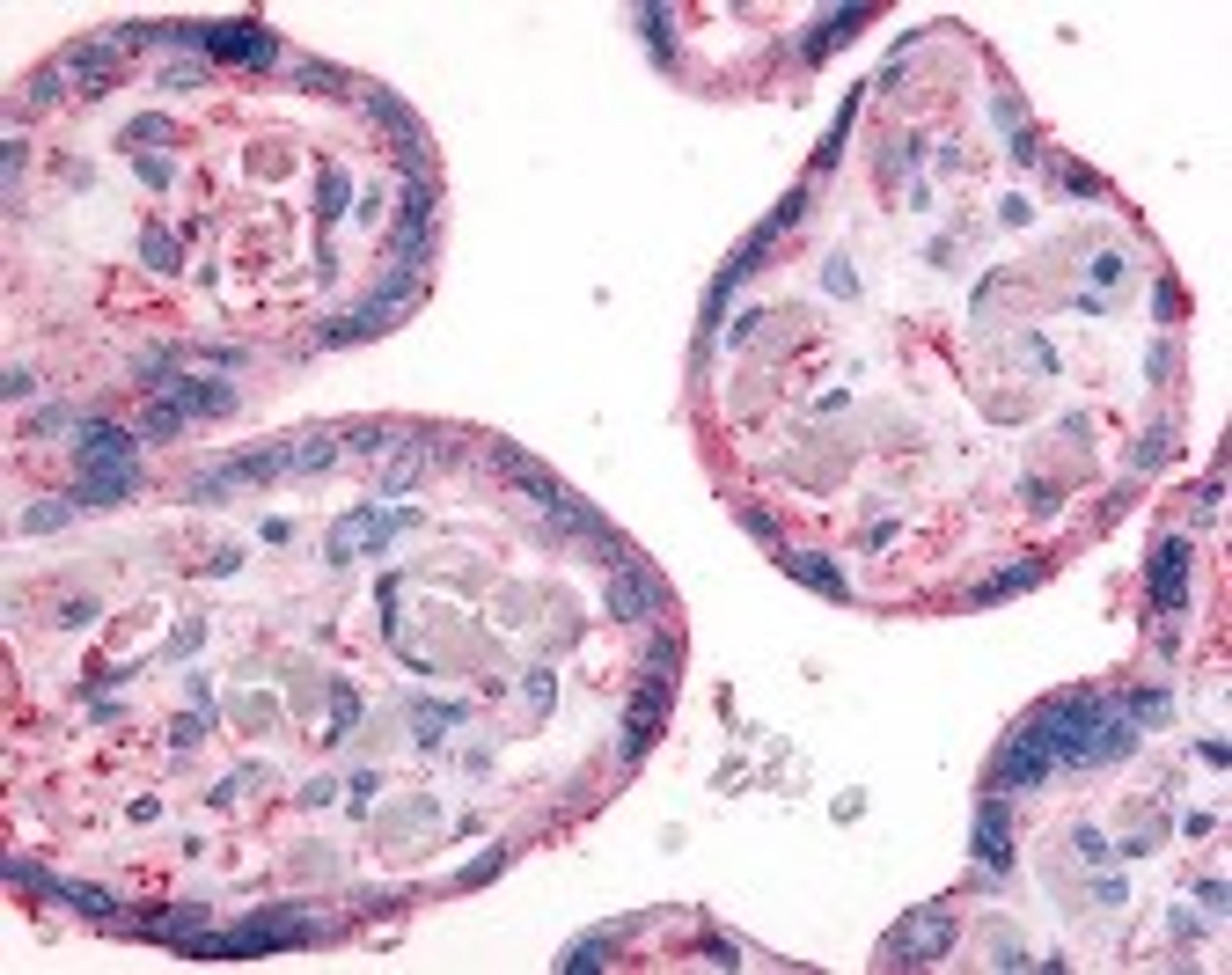
Integrin beta 1 Antibody
Product Details
- Cat. No.
- 48-408
- Type
- Primary Antibody
- Clonality
- Polyclonal
- Host
- Rat

The supplier does not provide quotations for this antibody through SelectScience. You can search for similar antibodies in our Antibody Directory.
Description
Integrin beta 1 Antibody raised in Rabbit validated in IHC in Gibbon, Bovine, Dog, Gorilla, Horse, Human, Monkey, Orangutan, Pig, Sheep.
Biological Information
- Clonality: Polyclonal
- Host: Rat
- Conjugate: Unconjugated
Handling
- Quantity: 0.05 mg
- Storage: Integrin beta 1 antibody should be stored long term (months) at -80 ˚C and short term (days) at 4 ˚C. As with all antibodies avoid freeze/thaw cycles.
- Buffer: PBS, 0.1% sodium azide.


