Product & ReviewsAntibodies
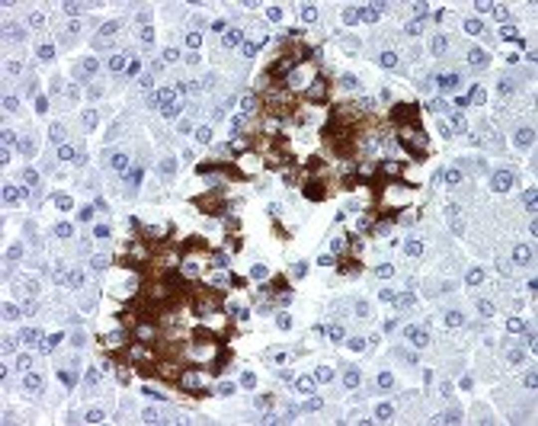
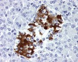
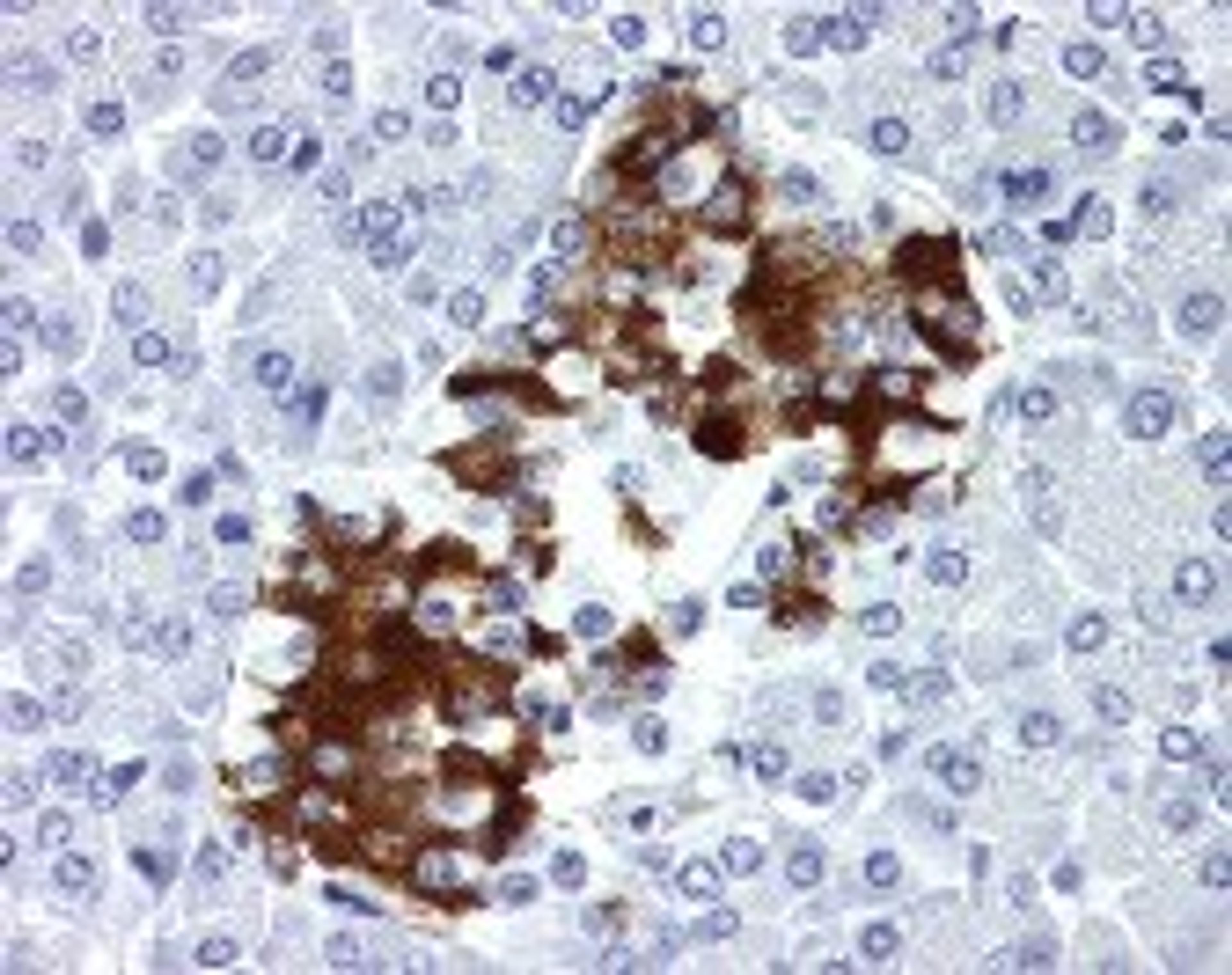
Insulin Antibody [8E2] (HRP)
Product Details
- Cat. No.
- 49-910
- Type
- Primary Antibody
- Clonality
- Monoclonal
- Host
- Mouse

The supplier does not provide quotations for this antibody through SelectScience. You can search for similar antibodies in our Antibody Directory.
Biological Information
- Clonality: Monoclonal
- Host: Mouse
- Reactivity: Human
- Antigen: INS
- Clone: [8E2]
- Isotype: IgG1,k
- Source: Protein A Column
- Gene: 3630
Handling
- Quantity: 0.05 mg
- Storage: Store Insulin antibody at 4 °C or -20 °C. As with all antibodies avoid freeze/thaw cycles.
- Buffer: PBS, pH 7.4, 0.05% Proclin 300
Applications
- ELISA (ELISA)
- Immunohistochemistry (IHC)


