Product & ReviewsAntibodies
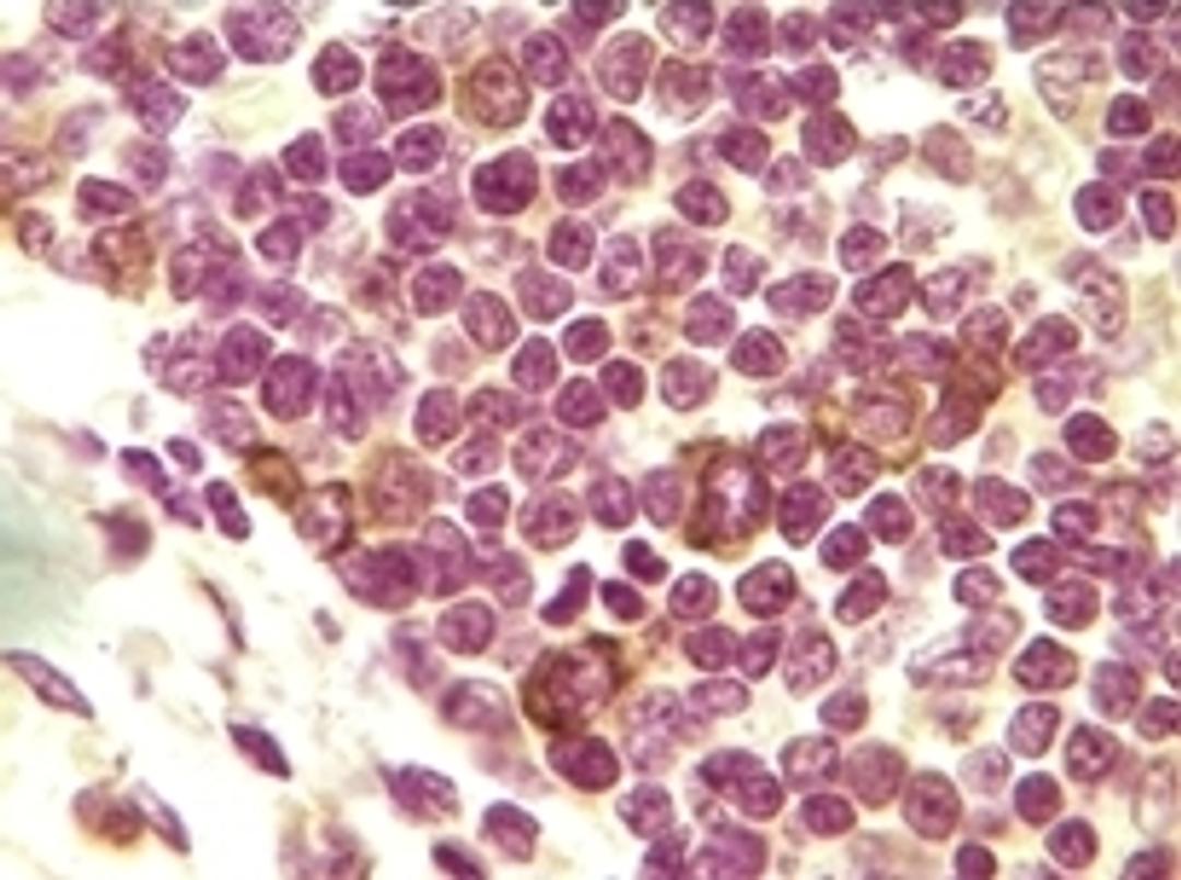
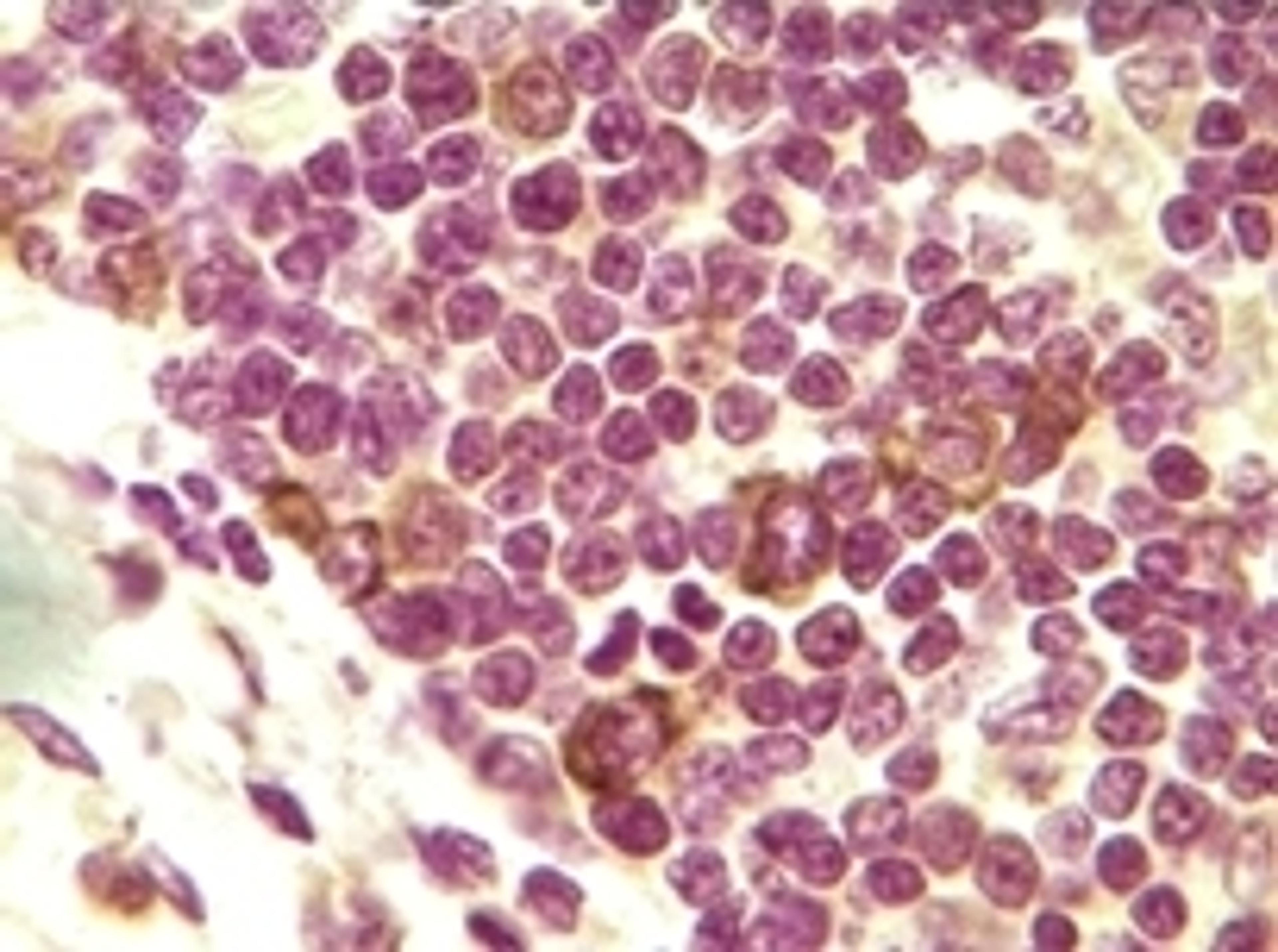
INHA Antibody [4A2]
Product Details
- Cat. No.
- 32-181
- Type
- Primary Antibody
- Clonality
- Monoclonal
- Host
- Mouse

The supplier does not provide quotations for this antibody through SelectScience. You can search for similar antibodies in our Antibody Directory.
Description
INHA Antibody [4A2] raised in Mouse validated in E, WB, IHC in Human.
Biological Information
- Clonality: Monoclonal
- Host: Mouse
- Conjugate: Unconjugated
Handling
- Quantity: 0.1 mg
- Storage: INHA(Inhibin alpha) monoclonal antibody can be stored at -20˚C, stable for one year. As with all antibodies care should be taken to avoid repeated freeze thaw cycles. Antibodies should not be exposed to prolonged high temperatures.
- Buffer: Ascitic fluid containing 0.03% sodium azide.


