Product & ReviewsAntibodies
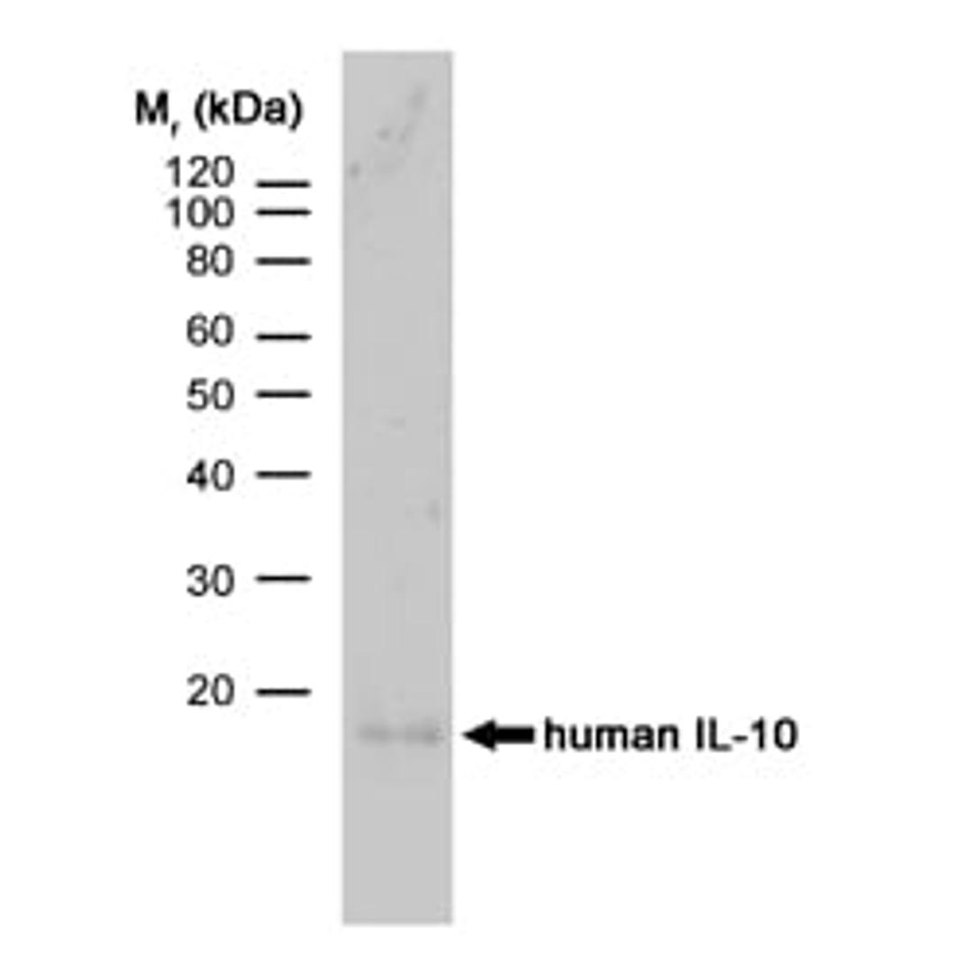
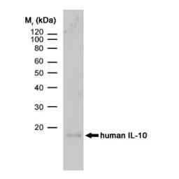
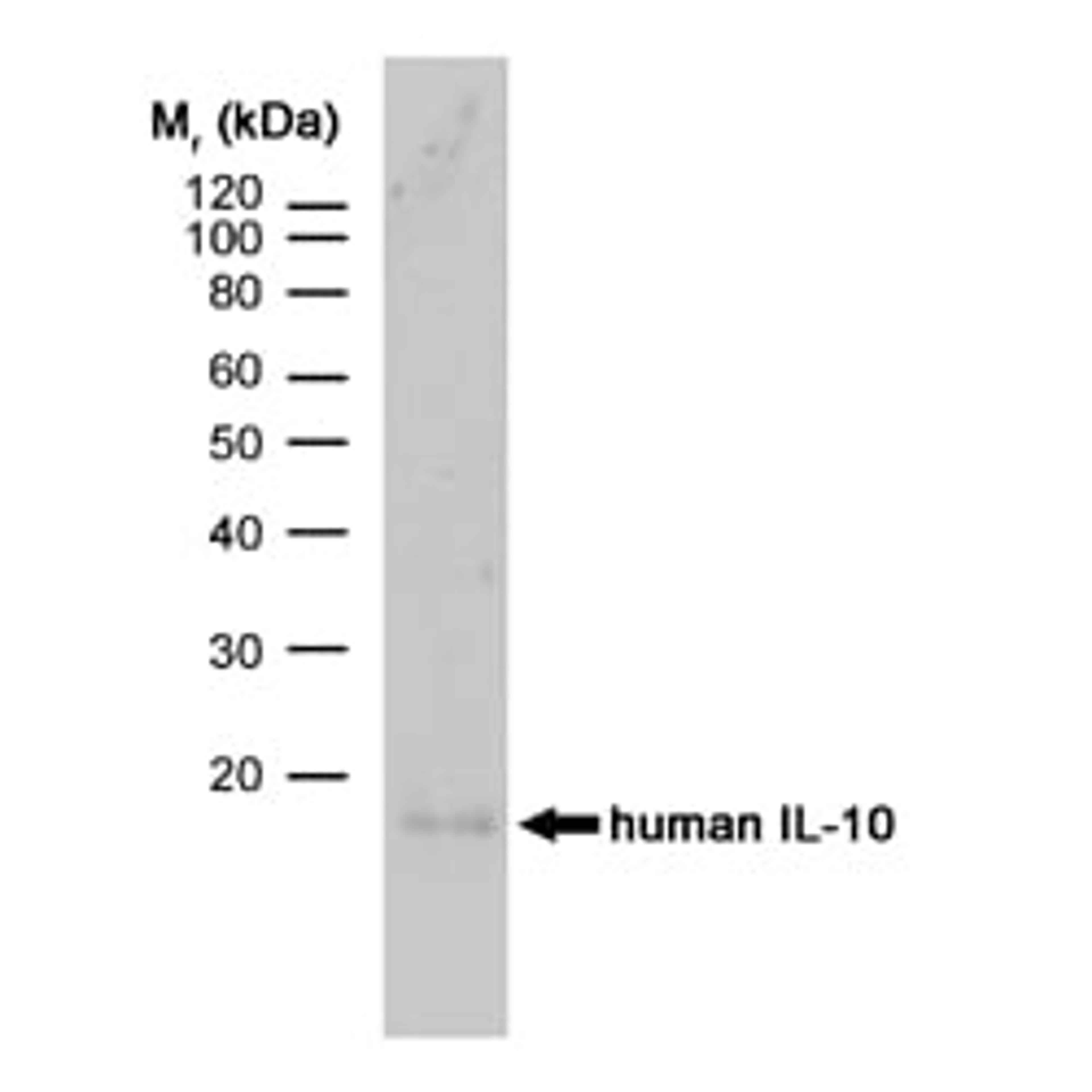
IL-10
Product Details
- Cat. No.
- MCA1531PE
- Type
- Primary Antibody
- Clonality
- Monoclonal
- Host
- Rat

The supplier does not provide quotations for this antibody through SelectScience. You can search for similar antibodies in our Antibody Directory.


