Product & ReviewsAntibodies
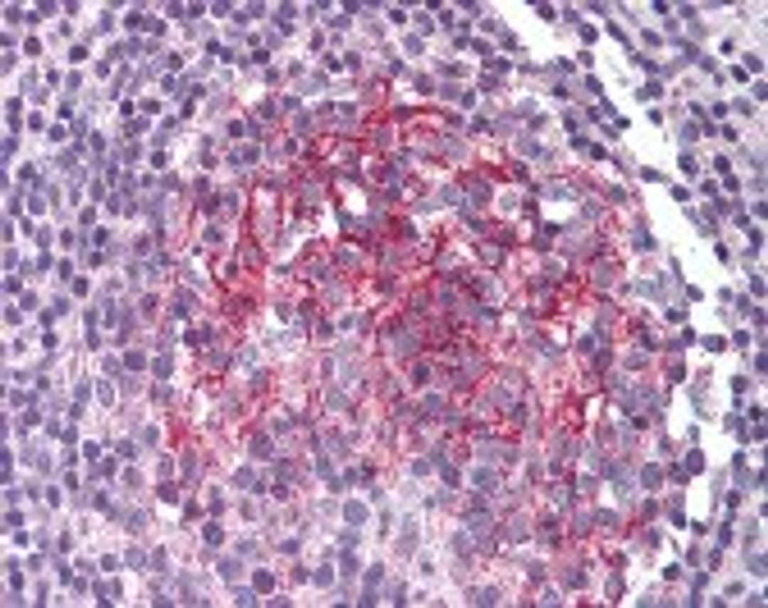
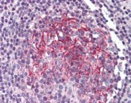
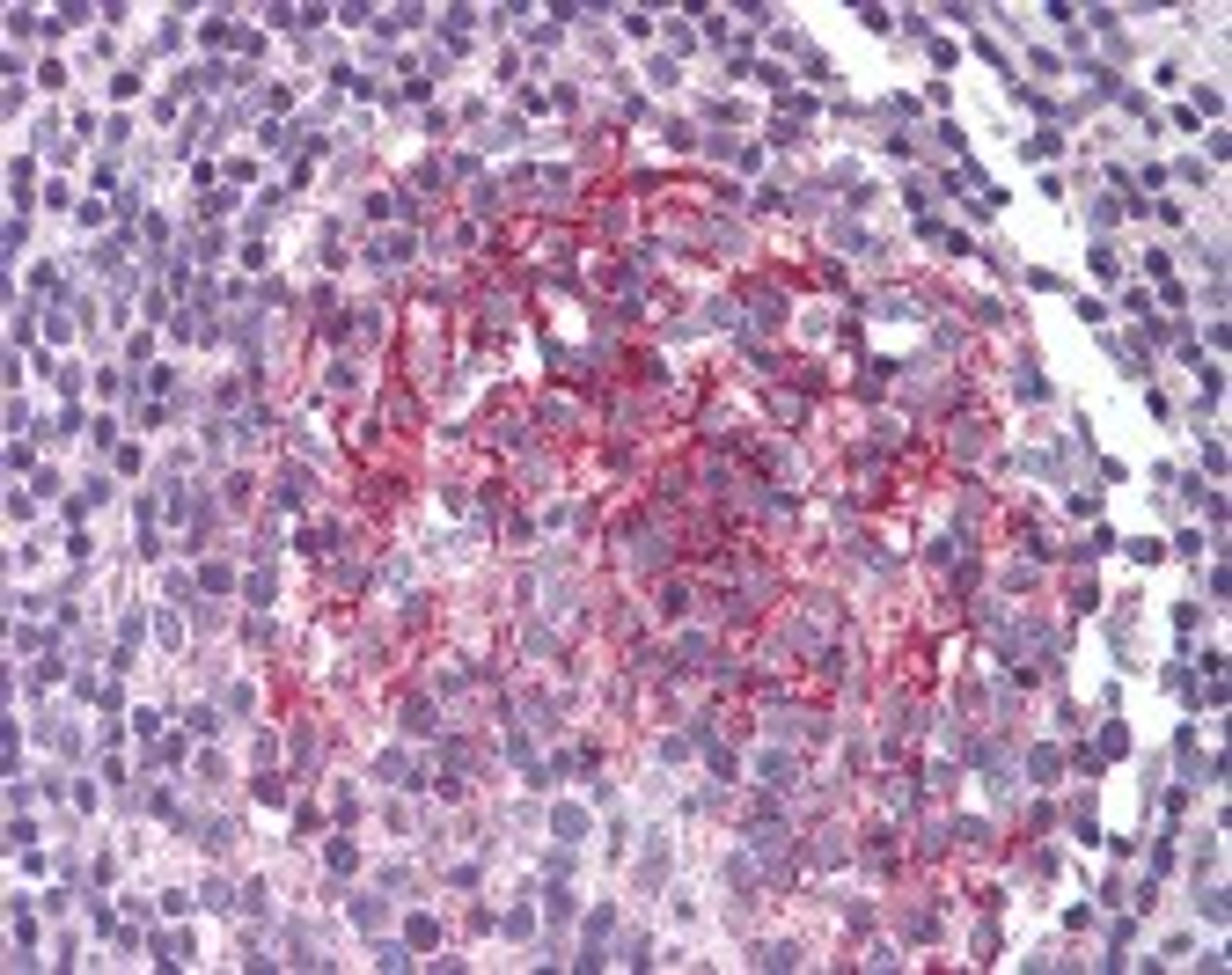
IL-1 Receptor Type 2 Antibody
Product Details
- Cat. No.
- 49-434
- Type
- Primary Antibody
- Clonality
- Polyclonal
- Host
- Rat

The supplier does not provide quotations for this antibody through SelectScience. You can search for similar antibodies in our Antibody Directory.
Description
IL-1 Receptor Type 2 Antibody raised in Rabbit validated in E, WB, IHC, IF, IP in Human.
Biological Information
- Clonality: Polyclonal
- Host: Rat
- Conjugate: Unconjugated
Handling
- Quantity: 0.05 mg
- Storage: Store IL-1 Receptor Type 2 antibody at -20 ˚C prior to opening. Dilute only prior to immediate use. For extended storage aliquot contents and freeze at -20 ˚C or below. As with all antibodies avoid freeze/thaw cycles.
- Buffer: 0.02 M potassium phosphate, 0.15 M sodium chloride, pH 7.2, 0.01% sodium azide.


