Product & ReviewsAntibodies
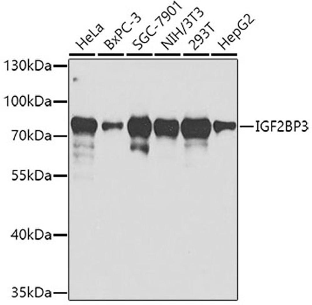
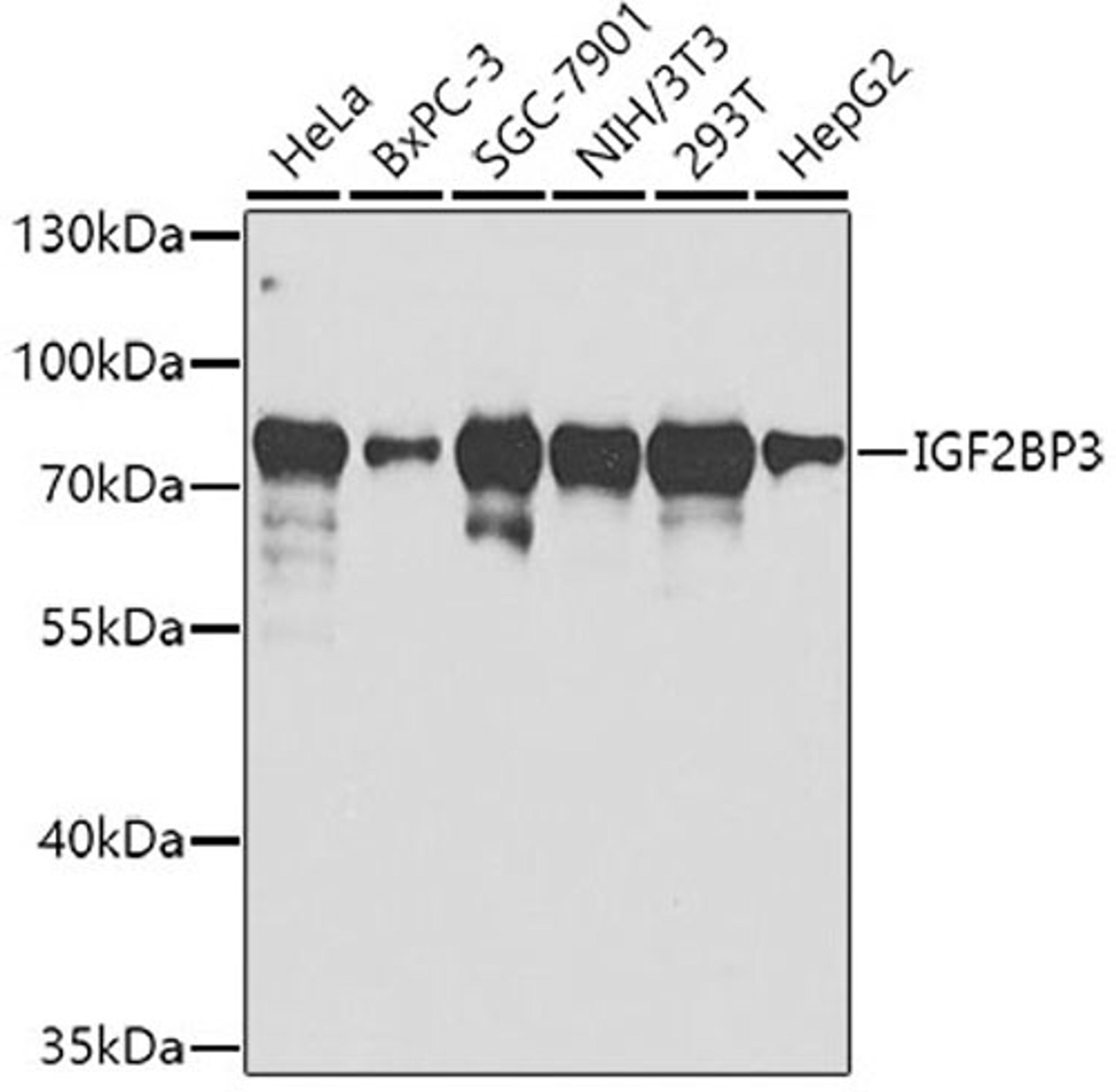
IGF2BP3 Rabbit pAb
Product Details
- Cat. No.
- A2750
- Type
- Primary Antibody
- Clonality
- Polyclonal
- Host
- Rabbit

The supplier does not provide quotations for this antibody through SelectScience. You can search for similar antibodies in our Antibody Directory.
Description
The protein encoded by this gene is primarily found in the nucleolus, where it can bind to the 5' UTR of the insulin-like growth factor II leader 3 mRNA and may repress translation of insulin-like growth factor II during late development. The encoded protein contains several KH domains, which are important in RNA binding and are known to be involved in RNA synthesis and metabolism. A pseudogene exists on chromosome 7, and there are putative pseudogenes on other chromosomes.
Biological Information
- Clonality: Polyclonal
- Host: Rabbit
- Reactivity: Human, Mouse, Rat


