Product & ReviewsAntibodies
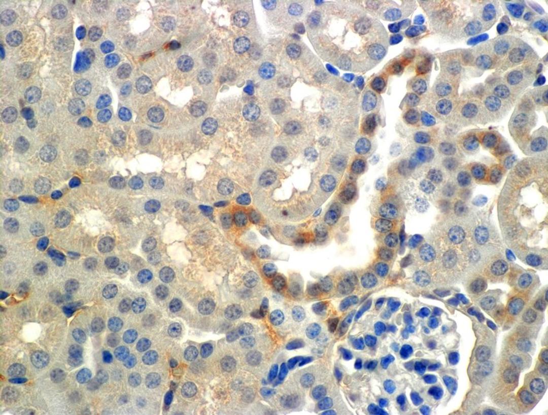
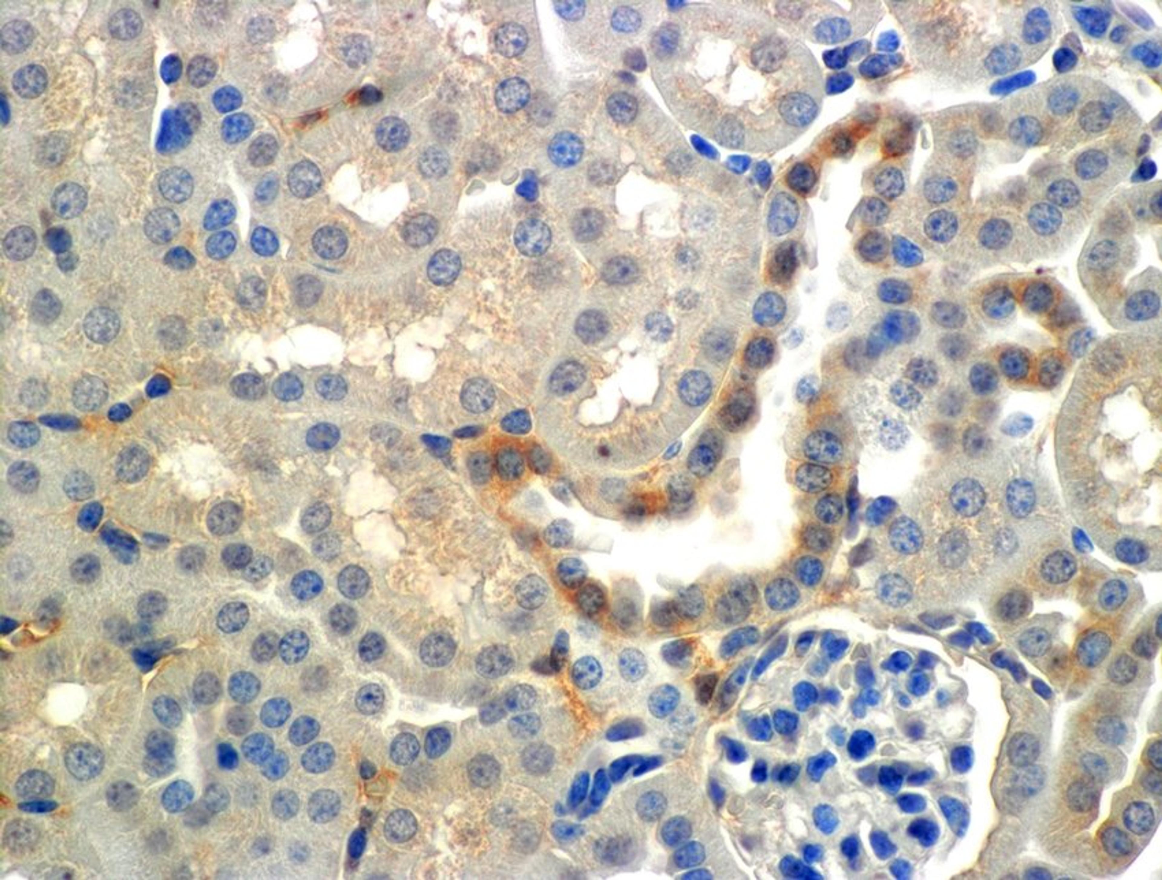
IGF1R antibody
Product Details
- Cat. No.
- orb38311
- Type
- Primary Antibody
- Clonality
- Monoclonal
- Host
- Rabbit

The supplier does not provide quotations for this antibody through SelectScience. You can search for similar antibodies in our Antibody Directory.
Description
Purified rabbit polyclonal antibody.
Biological Information
- Clonality: Monoclonal
- Host: Rabbit
- Reactivity: Human
- Isotype: IgG
- Gene: 4584
Handling
- Quantity: 100 µg
- Storage: Store at 4°C for up to two weeks. For long term storage, aliquot and store at -20°C, avoid freeze/thaw cycles.
- Buffer: 10mM PBS with 0.05% BSA & 0.05% azide
Applications
- ELISA (ELISA)
- Flow Cytometry (FC)
- Immunofluorescence (Paraffin-Embedded Sections) (IF (P))
- Immunohistochemistry (Paraffin-Embedded Sections) (IHC (P))
- Western Blotting (WB)


