Product & ReviewsAntibodies
IFIH1
Product Details
- Cat. No.
- AHP2065
- Type
- Primary Antibody
- Clonality
- Polyclonal
- Host
- Goat

The supplier does not provide quotations for this antibody through SelectScience. You can search for similar antibodies in our Antibody Directory.
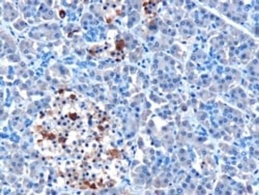
Description
GOAT ANTI HUMAN IFIH1 (N-TERMINAL)
Biological Information
- Clonality: Polyclonal
- Host: Goat
Handling
- Quantity: 0.1 mg


