Product & ReviewsAntibodies
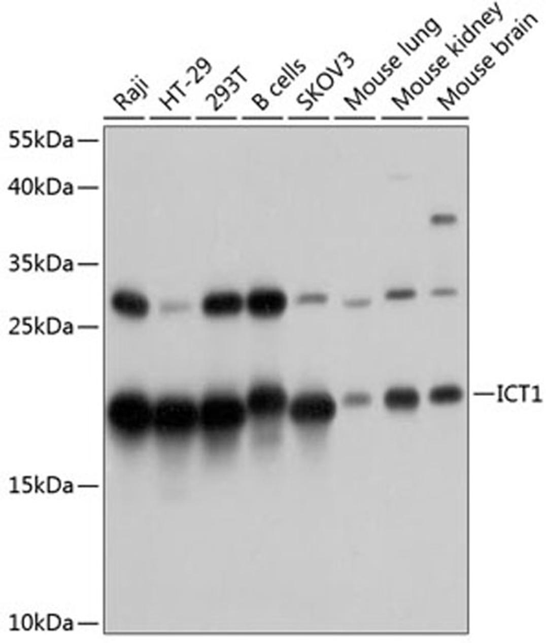
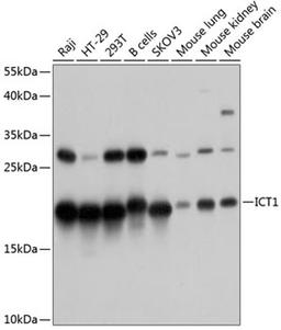
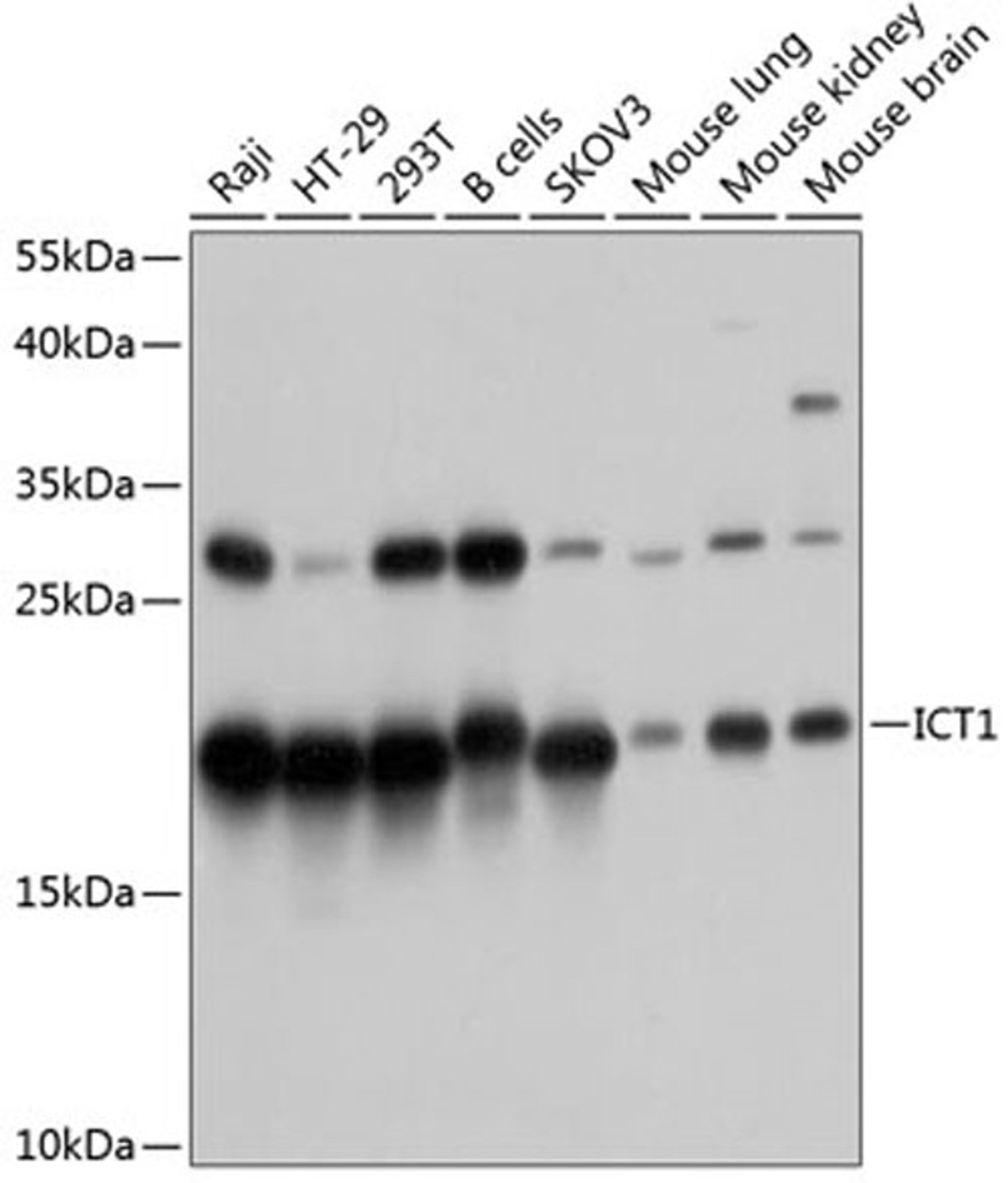
ICT1 Rabbit pAb
Product Details
- Cat. No.
- A11590
- Type
- Primary Antibody
- Clonality
- Polyclonal
- Host
- Rabbit

The supplier does not provide quotations for this antibody through SelectScience. You can search for similar antibodies in our Antibody Directory.
Description
The protein encoded by this gene is a peptidyl-tRNA hydrolase and a vital component of the large mitochondrial ribosome. The encoded protein serves as a ribosome release factor for this ribosome, which translates mitochondrial genes. This protein may be responsible for degrading prematurely-terminated polypeptides and for reusing stalled ribosomes. Two transcript variants encoding different isoforms have been found for this gene.
Biological Information
- Clonality: Polyclonal
- Host: Rabbit
- Reactivity: Human, Mouse, Rat


