Product & ReviewsAntibodies
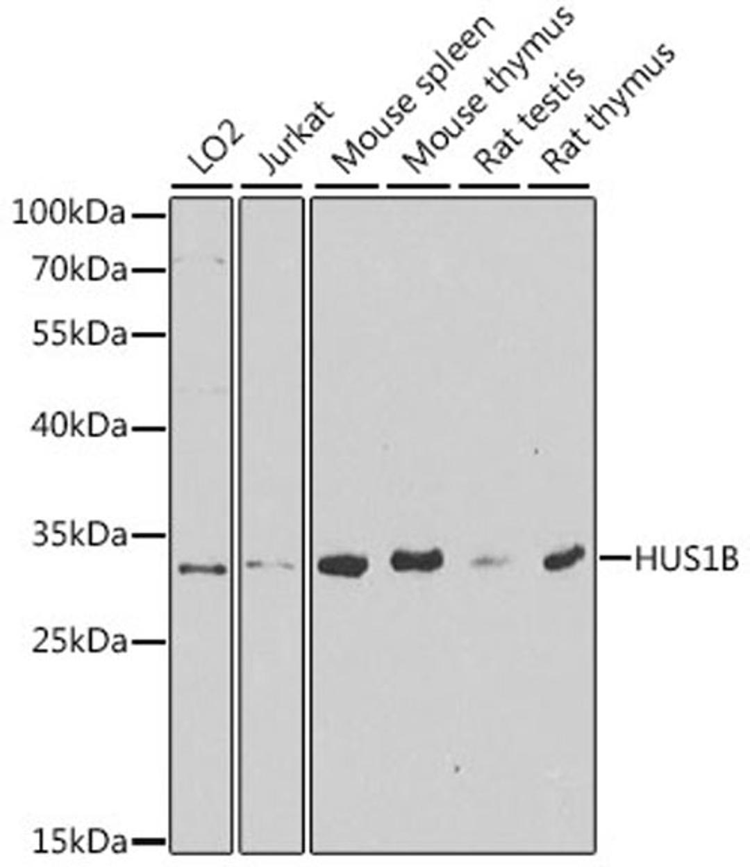
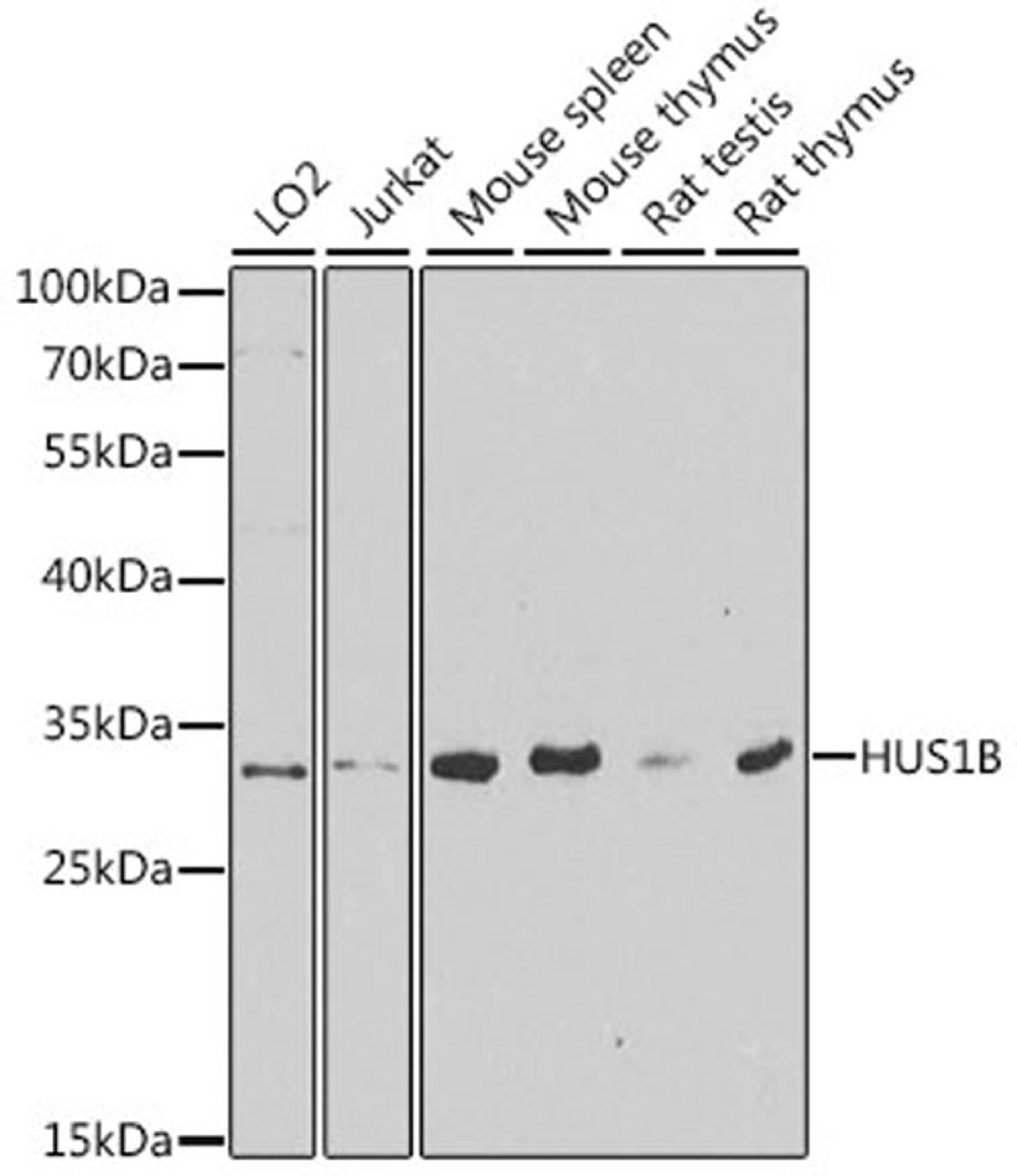
HUS1B Rabbit pAb
Product Details
- Cat. No.
- A6817
- Type
- Primary Antibody
- Clonality
- Polyclonal
- Host
- Rabbit

The supplier does not provide quotations for this antibody through SelectScience. You can search for similar antibodies in our Antibody Directory.
Description
The protein encoded by this gene is most closely related to HUS1, a component of a cell cycle checkpoint protein complex involved in cell cycle arrest in response to DNA damage. This protein can interact with the check point protein RAD1 but not with RAD9. Overexpression of this protein has been shown to induce cell death, which suggests a related but distinct role of this protein, as compared to the HUS1.
Biological Information
- Clonality: Polyclonal
- Host: Rabbit
- Reactivity: Human, Mouse, Rat


