Product & ReviewsAntibodies
HRP anti-Neurofilament H (NF-H), Nonphosphorylated
Product Details
- Cat. No.
- 801707
- Type
- Primary Antibody
- Clonality
- Monoclonal
- Host
- Mouse

The supplier does not provide quotations for this antibody through SelectScience. You can search for similar antibodies in our Antibody Directory.
Description
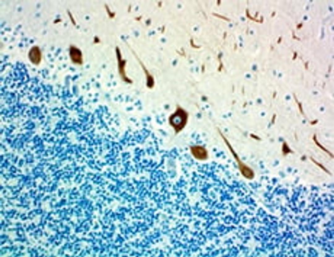
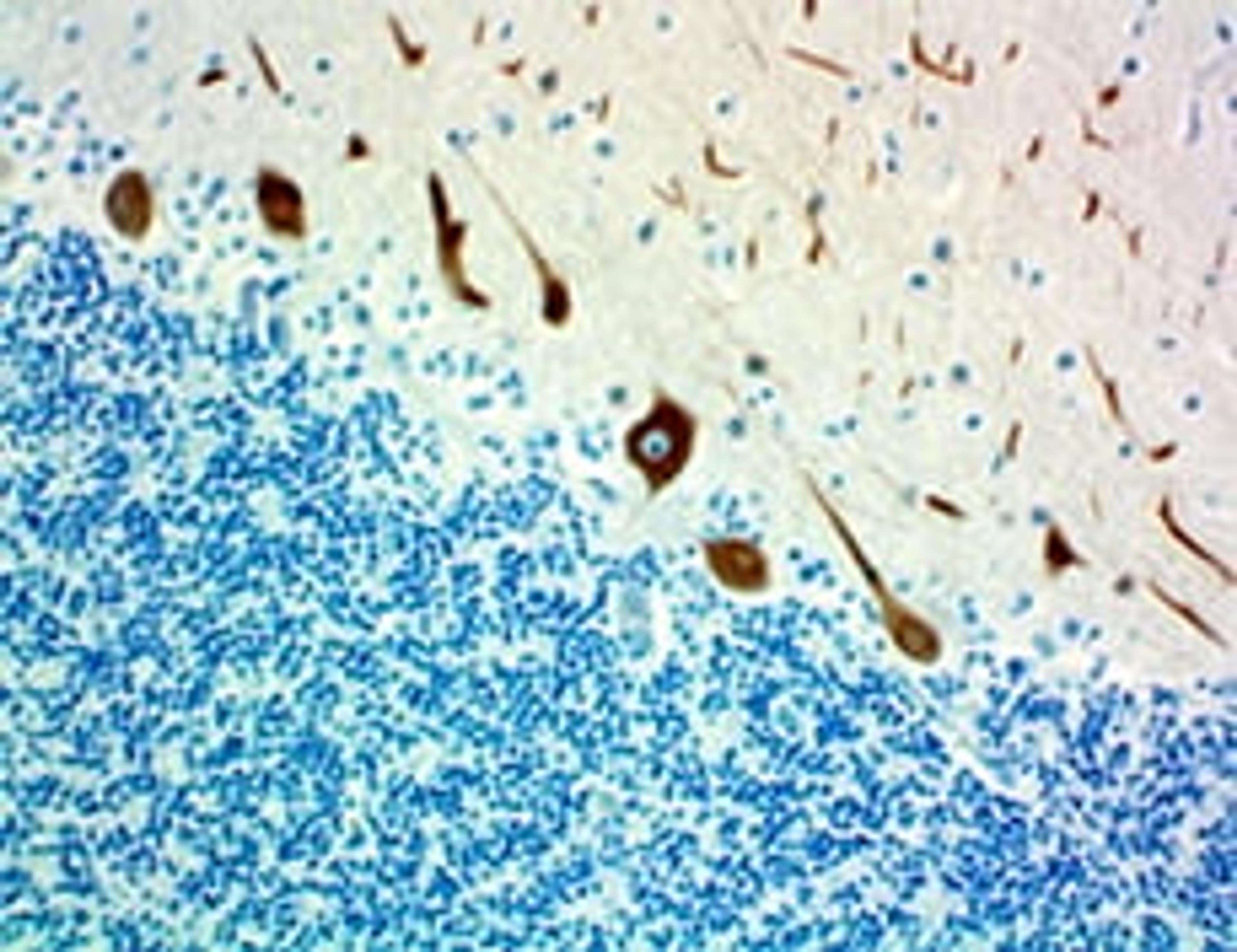
HRP anti-Neurofilament H (NF-H), Nonphosphorylated; Clone: SMI 32; Reactivity: Human, Mouse, Rat, Other mammalian; Apps: IHC-P, WB; Size: 25 μg
Biological Information
- Clonality: Monoclonal
- Host: Mouse
- Reactivity: Human


