Product & ReviewsAntibodies
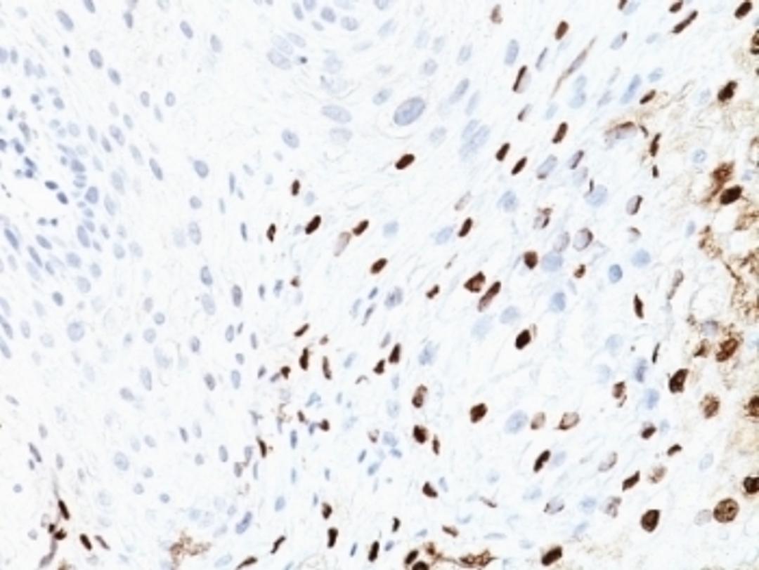
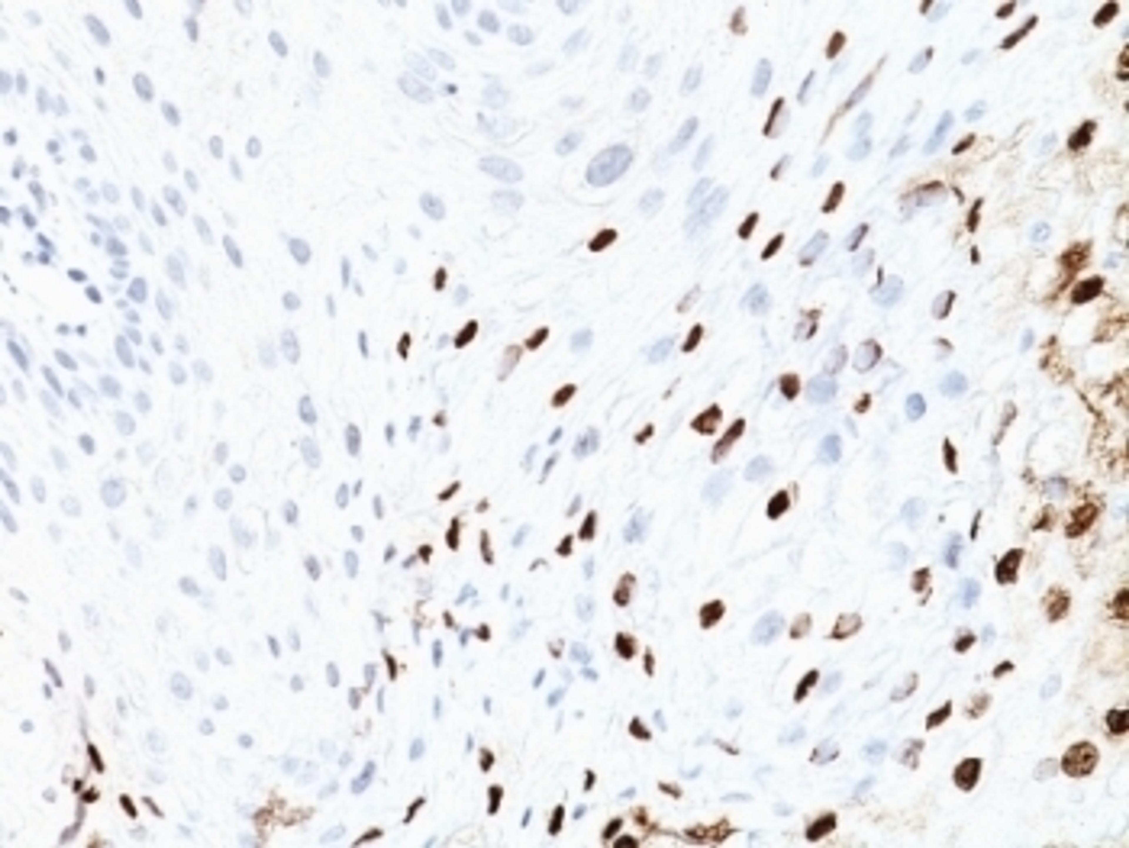
HPV-16 Antibody [SPM405]
Product Details
- Cat. No.
 - 33-524
 - Type
 - Primary Antibody
 - Clonality
 - Monoclonal
 - Host
 - Mouse
 

The supplier does not provide quotations for this antibody through SelectScience. You can search for similar antibodies in our Antibody Directory.
Description
HPV-16 Antibody [SPM405] raised in Mouse validated in IF, IHC-P in HPV-16.
Biological Information
- Clonality: Monoclonal
 - Host: Mouse
 - Conjugate: Unconjugated
 
Handling
- Quantity: 100 ug
 - Storage: Aliquot and Store at 2-8˚C. Avoid freez-thaw cycles.
 - Buffer: PBS with 0.1 mg/ml BSA and 0.05% sodium azide
 


