Product & ReviewsAntibodies
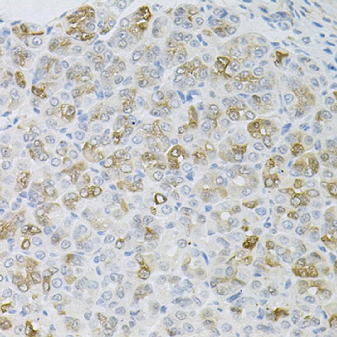
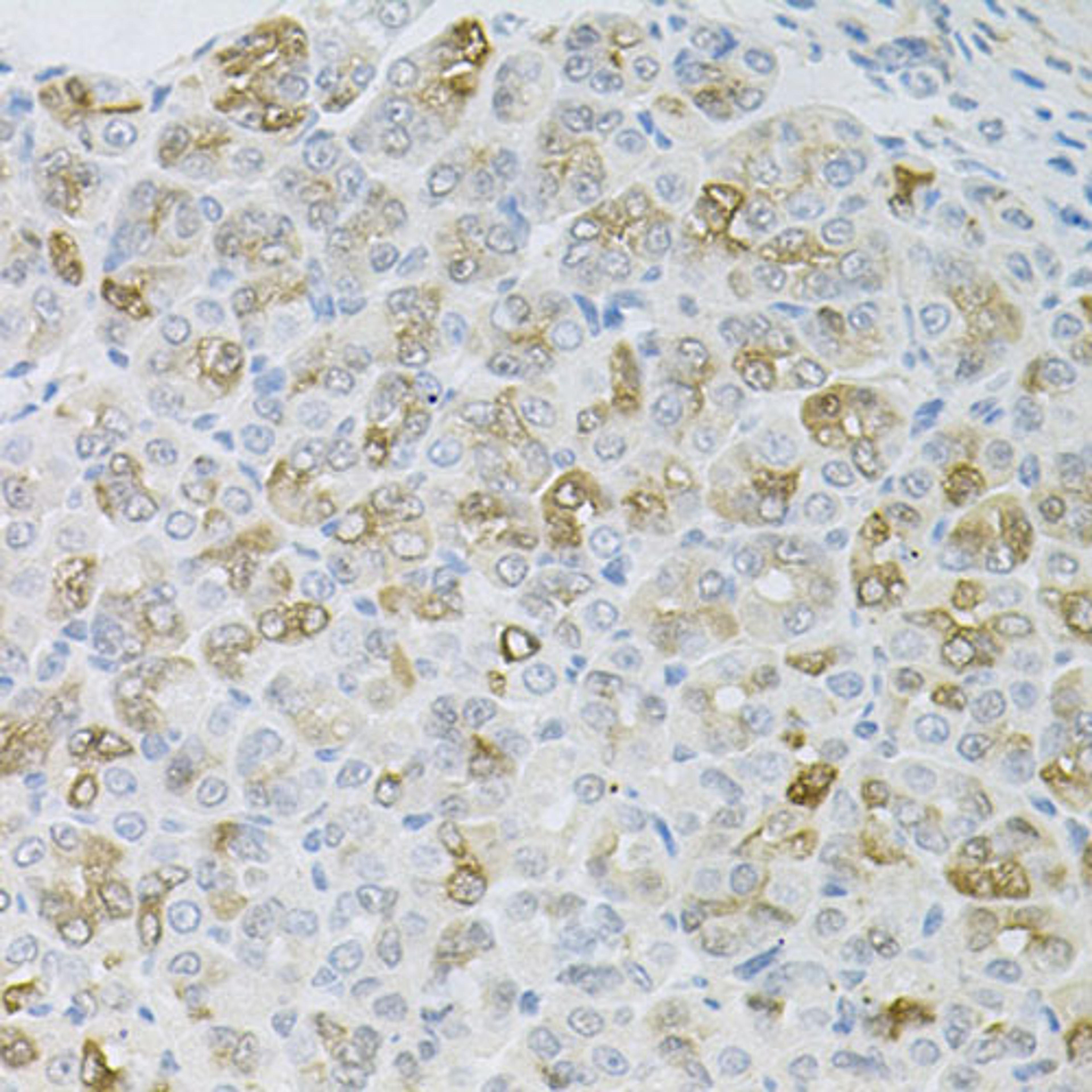
HPS1 Rabbit pAb
Product Details
- Cat. No.
- A6621
- Type
- Primary Antibody
- Clonality
- Polyclonal
- Host
- Rabbit

The supplier does not provide quotations for this antibody through SelectScience. You can search for similar antibodies in our Antibody Directory.
Description
This gene encodes a protein that may play a role in organelle biogenesis associated with melanosomes, platelet dense granules, and lysosomes. The encoded protein is a component of three different protein complexes termed biogenesis of lysosome-related organelles complex (BLOC)-3, BLOC4, and BLOC5. Mutations in this gene are associated with Hermansky-Pudlak syndrome type 1. Alternative splicing results in multiple transcript variants. A pseudogene related to this gene is located on chromosome 22.
Biological Information
- Clonality: Polyclonal
- Host: Rabbit
- Reactivity: Human, Mouse, Rat


