Product & ReviewsAntibodies
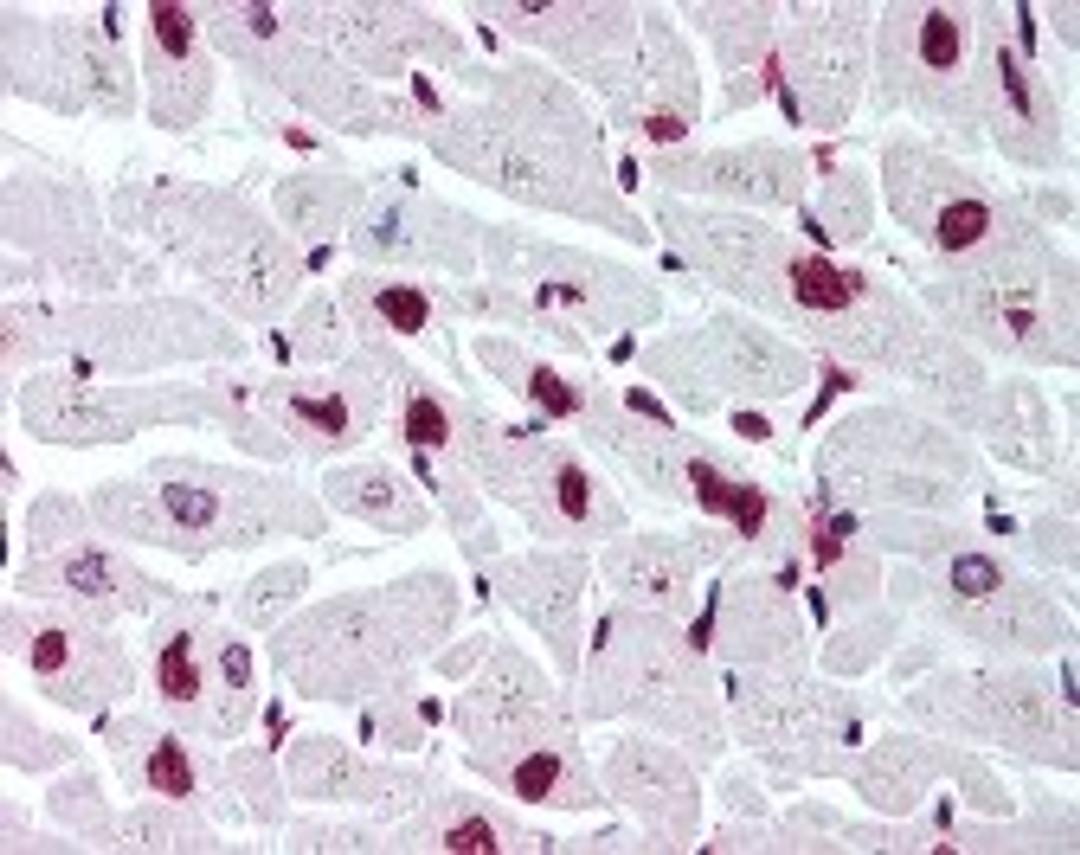
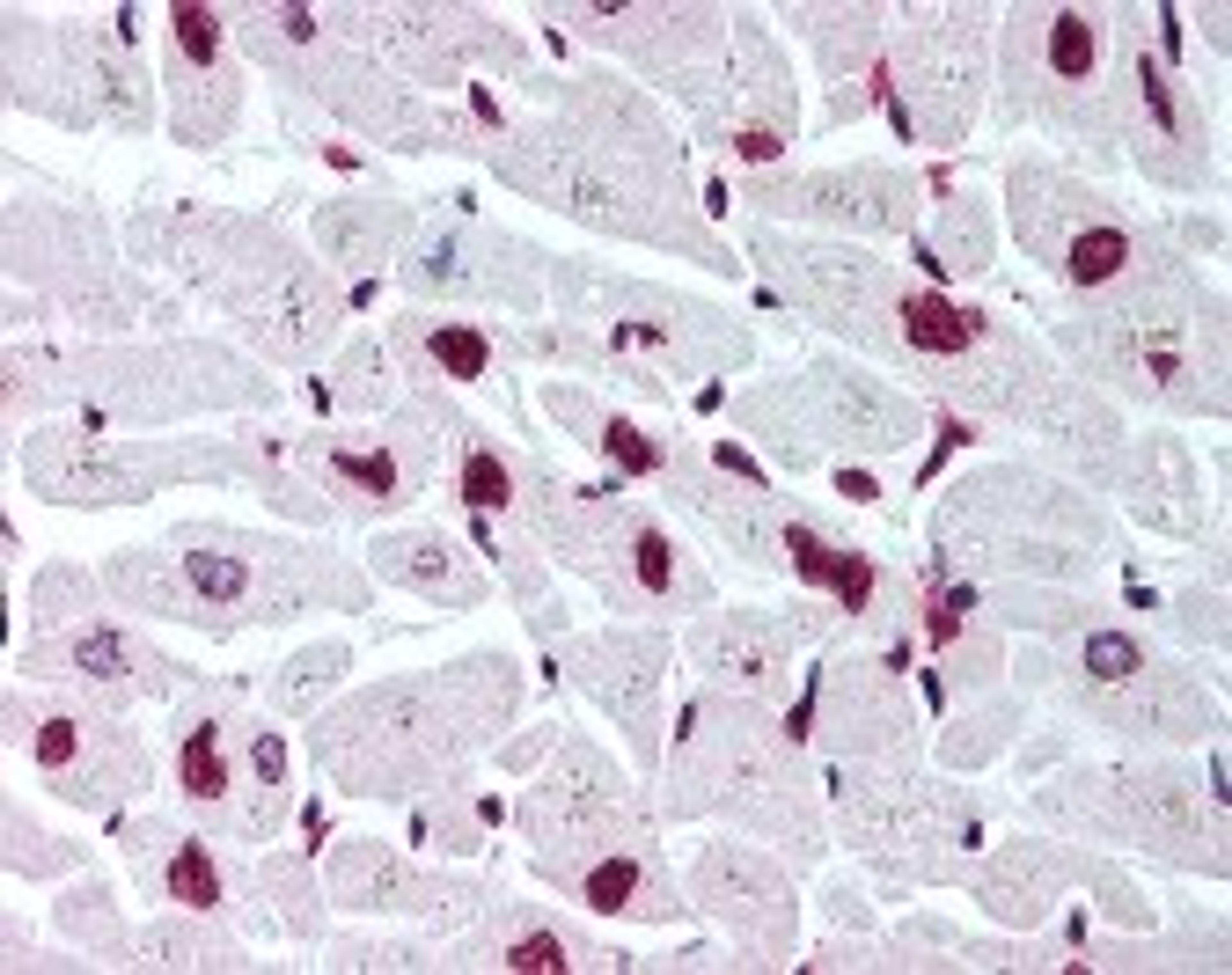
Histone H2B Antibody
Product Details
- Cat. No.
- 49-284
- Type
- Primary Antibody
- Clonality
- Polyclonal
- Host
- Rabbit

The supplier does not provide quotations for this antibody through SelectScience. You can search for similar antibodies in our Antibody Directory.
Biological Information
- Clonality: Polyclonal
- Host: Rabbit
- Reactivity: Bovine, Chicken, Drosophila melanogaster, Human, Insect
- Antigen: HIST1H2BB
- Isotype: IgG
- Source: Protein G Column
- Gene: 3018
Handling
- Quantity: 0.05 mg
- Storage: Histone H2B antibody can be stored short term 4 °C. For long term storage aliquot and store at -20 °C. As with all antibodies avoid freeze/thaw cycles.
- Buffer: PBS, 0.02% sodium azide.
Applications
- Immunohistochemistry (IHC)
- Western Blotting (WB)


