GUINEA PIG ANTI PIG INSULIN
Product Details
- Cat. No.
- 5330-0104G
- Type
- Primary Antibody
- Clonality
- Polyclonal
- Host
- Guinea Pig

The supplier does not provide quotations for this antibody through SelectScience. You can search for similar antibodies in our Antibody Directory.
Description
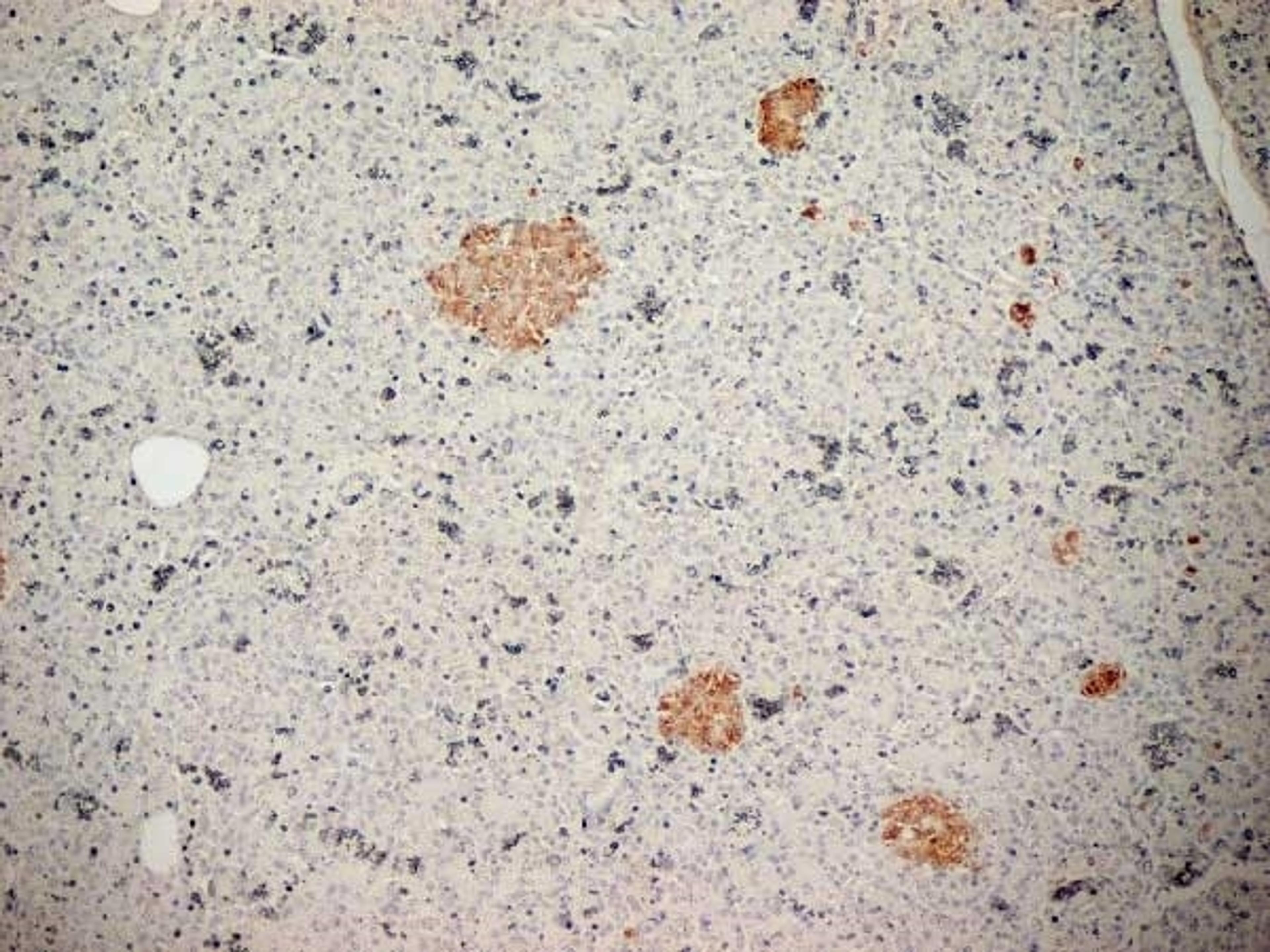
Guinea pig anti Pig insulin antibody recognizes porcine insulin, a hormone secreted by the beta cells of the islets of Langerhans in the pancreas. Insulin belongs to a family of hormones including the insulin-like growth hormones and the relaxins. The insulin precursor is a 108 amino acid polypeptide consisting of a 24 aa signal peptide, an insulin A chain, a prohormone polypeptide (also known as the ‘C chain’) and an insulin B chain together having a predicted molecular mass of 11,672 Da. Active insulin migrates with an apparent molecular mass of ~6 kDa in western blotting of porcine, bovine and lapine samples (Schechter et al. 1992).Insulin is a hormone that functions in carbohydrate homeostasis, and acts to decrease blood glucose concentration by increasing cell permeability to monosaccharides, amino acids and fatty acids, and accelerate glycolysis and glycogen synthesis in the liver, it induces uptake of glucose into cells through its interaction with the glucose transporter GLUT4 (Watson and Pressin 2001). Deficiency of insulin results in diabetes mellitus, one of the leading causes of morbidity and mortality in the general population. Insulin is also present in tumours of B-cell origin such as insulinoma (Schiel et al. 2006).Guinea pig anti Pig insulin antibody has been successfully used to demonstrate the presence of insulin in the islets of Langerhans of murine pancreas using immunohistochemistry on paraffin embedded material (Ortsäter et al. 2012).
Biological Information
- Clonality: Polyclonal
- Host: Guinea Pig
- Reactivity: Human, Mouse, Pig (Swine)
- Isotype: Polyclonal IgG
Handling
- Quantity: 50 µl
- Storage: +4ºC, -20ºC if preferred
- Buffer: Phosphate buffered saline, 0.09% Sodium Azide
Applications
- ELISA (ELISA)
- Immunohistochemistry (Frozen Sections) (IHC (Fr))
- Immunohistochemistry (Paraffin-Embedded Sections) (IHC (P))


