Product & ReviewsAntibodies
GPR146 Antibody
Product Details
- Cat. No.
- 48-142
- Type
- Primary Antibody
- Clonality
- Polyclonal
- Host
- Rat

The supplier does not provide quotations for this antibody through SelectScience. You can search for similar antibodies in our Antibody Directory.
Description
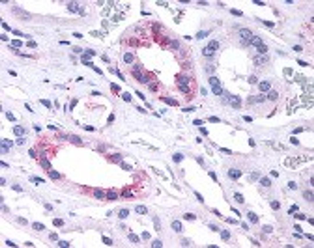
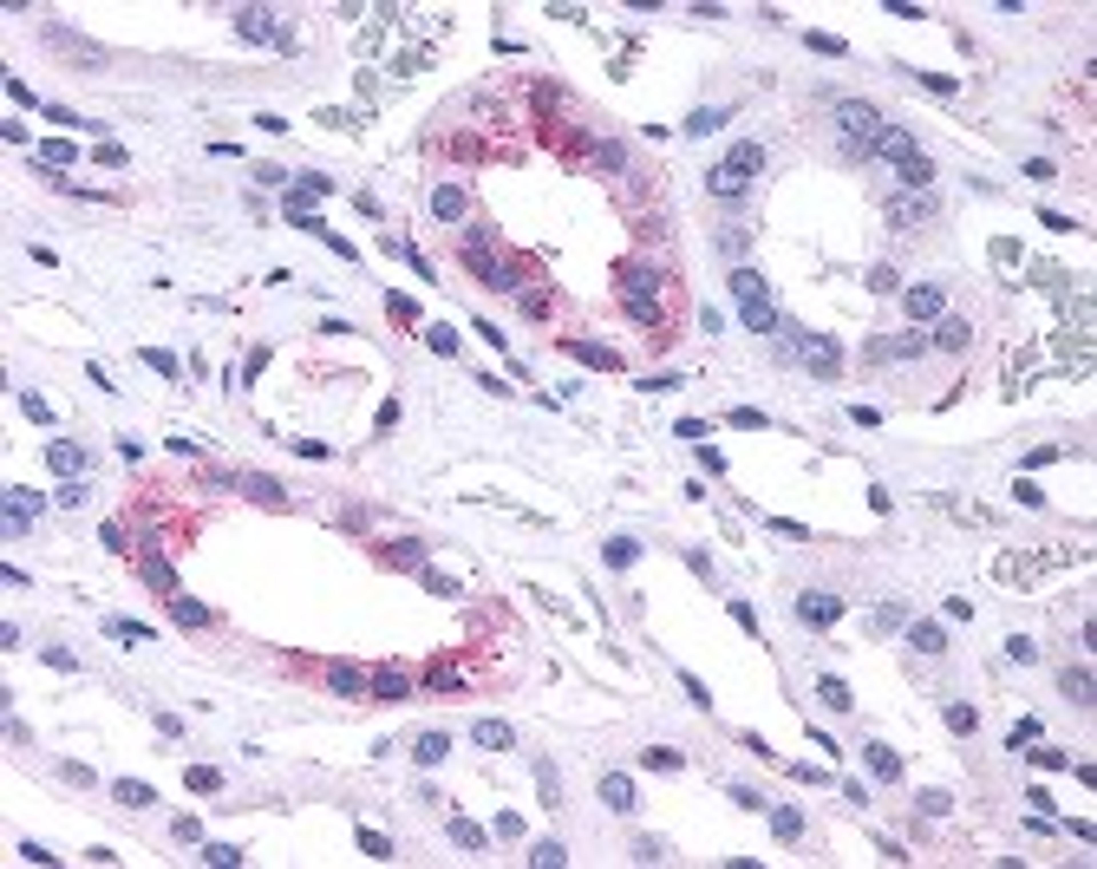
GPR146 Antibody raised in Rabbit validated in IHC in Human.
Biological Information
- Clonality: Polyclonal
- Host: Rat
- Conjugate: Unconjugated
Handling
- Quantity: 0.05 mg
- Storage: GPR146 antibody should be stored long term (months) at -80 ˚C and short term (days) at 4 ˚C. As with all antibodies avoid freeze/thaw cycles.
- Buffer: PBS, 0.1% sodium azide.


