Product & ReviewsAntibodies
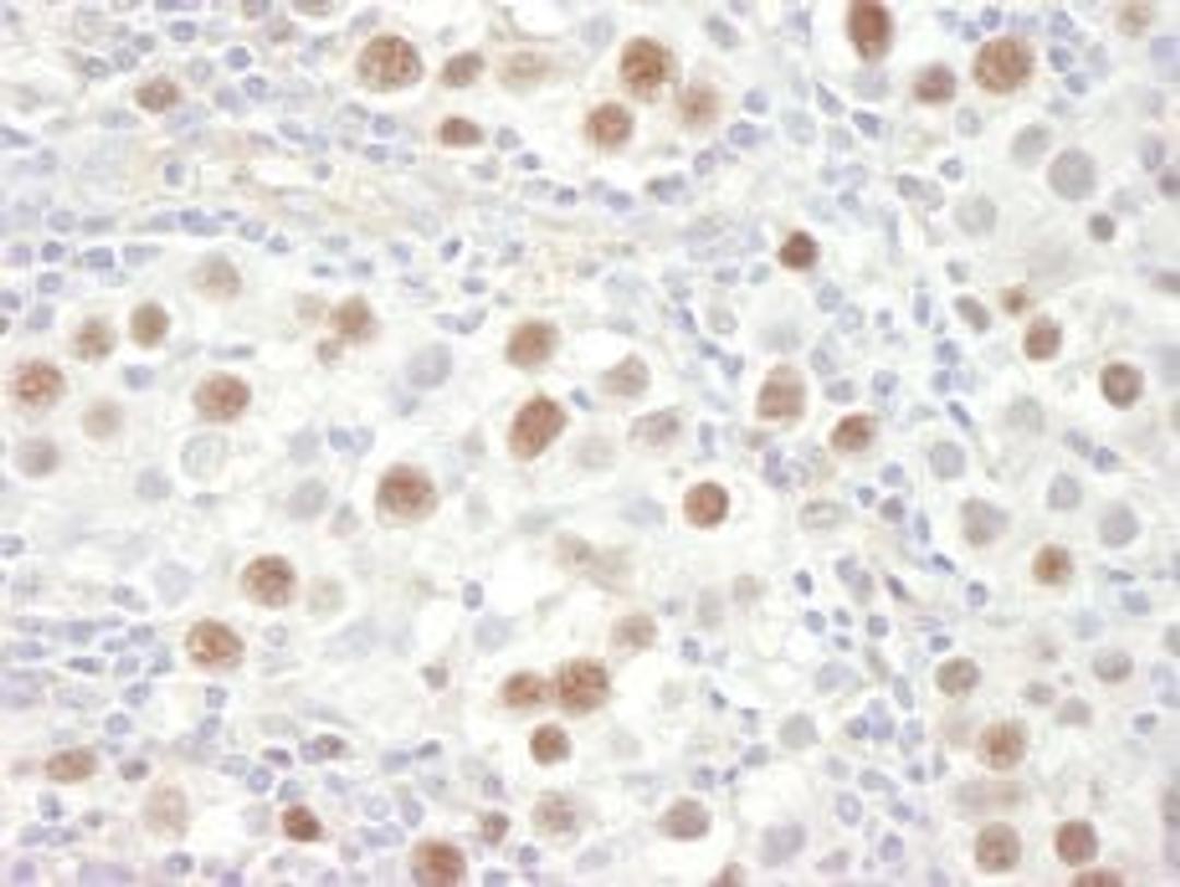
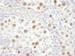
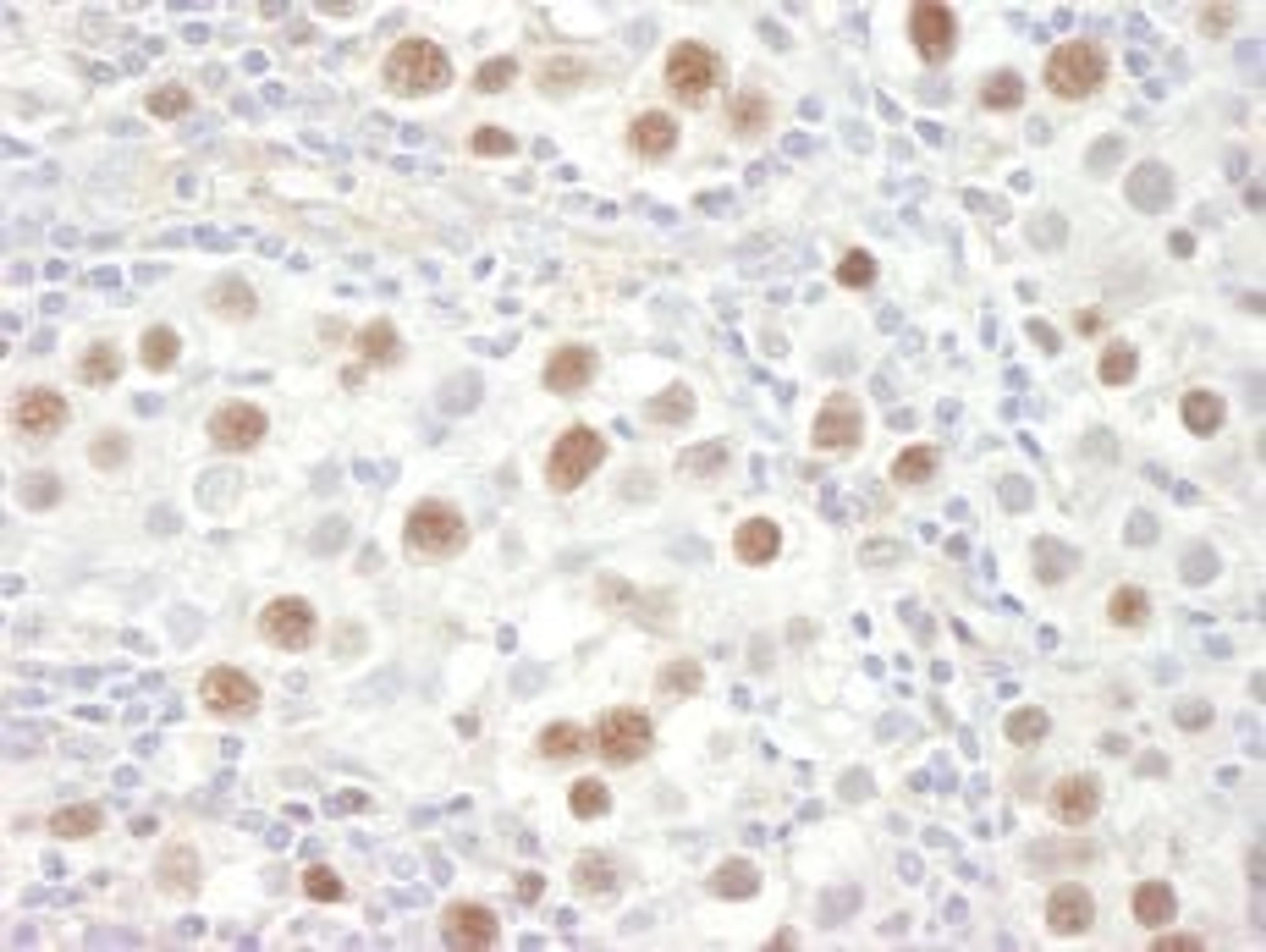
Goat anti-MCM4 IHC Antibody, Affinity Purified
Product Details
- Cat. No.
- IHC-00038
- Type
- Primary Antibody
- Clonality
- Polyclonal
- Host
- Goat

The supplier does not provide quotations for this antibody through SelectScience. You can search for similar antibodies in our Antibody Directory.
Description
Goat anti-MCM4 IHC Antibody, Affinity Purified
Biological Information
- Clonality: Polyclonal
- Host: Goat
- Reactivity: Human
- Antigen: MCM4
- Conjugate: Unconjugated
- Isotype: IgG
- Gene: 4173
Handling
- Quantity: 100 µl
- Storage: 2 - 8° C
- Buffer: Tris-buffered Saline containing 0.1% BSA and 0.09% Sodium Azide
Applications
- Immunohistochemistry (IHC)


