Product & ReviewsAntibodies
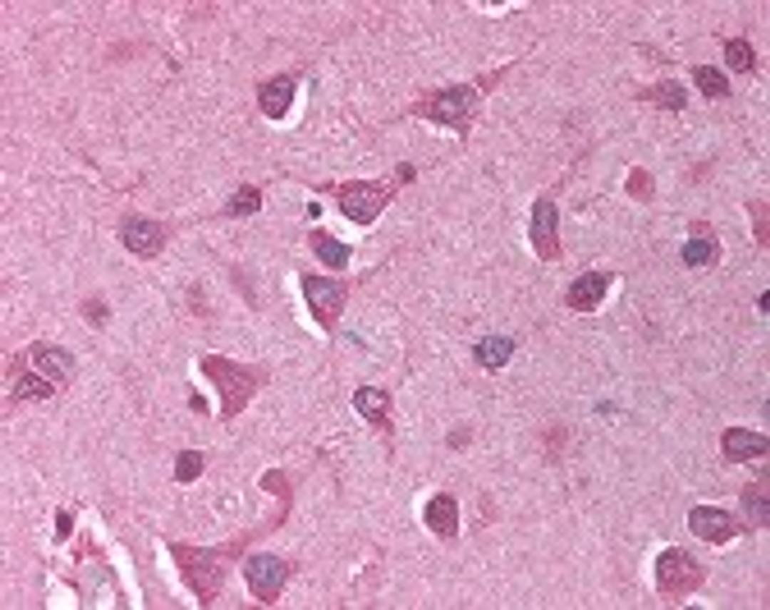
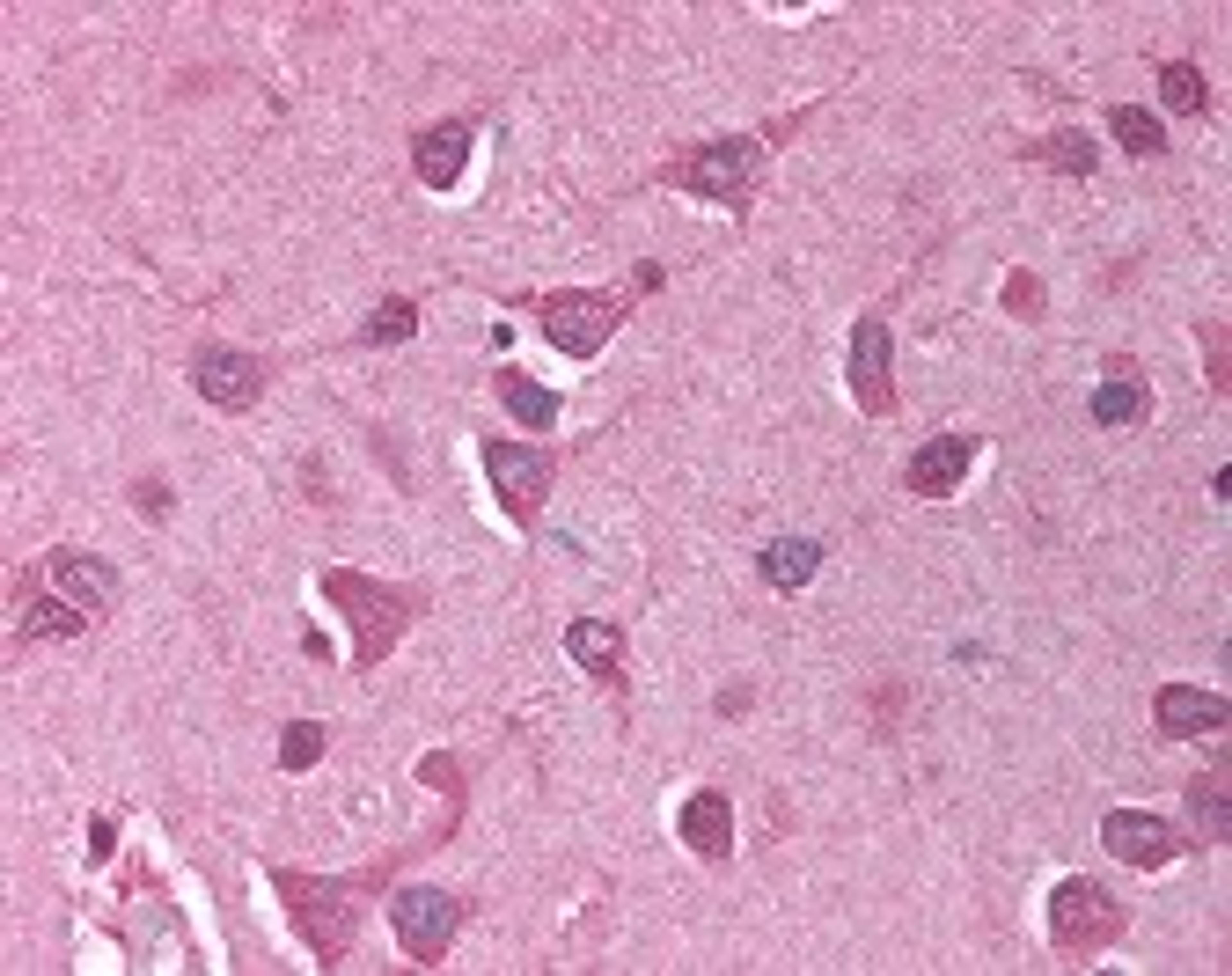
GAPDH Antibody
Product Details
- Cat. No.
- 49-606
- Type
- Primary Antibody
- Clonality
- Polyclonal
- Host
- Chicken

The supplier does not provide quotations for this antibody through SelectScience. You can search for similar antibodies in our Antibody Directory.
Biological Information
- Clonality: Polyclonal
- Host: Chicken
- Antigen: GAPDH
- Isotype: IgY
- Source: Immunoaffinity Chromatography
- Gene: 2597
Handling
- Quantity: 0.05 mg
- Storage: Short term: 4°C. Long term: Store at -20°C. Avoid freeze-thaw cycles.
- Buffer: PBS. No preservative added.


