Product & ReviewsAntibodies
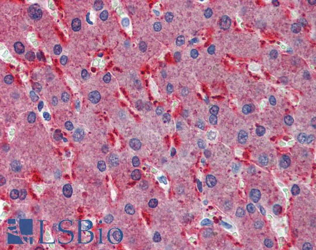
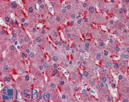
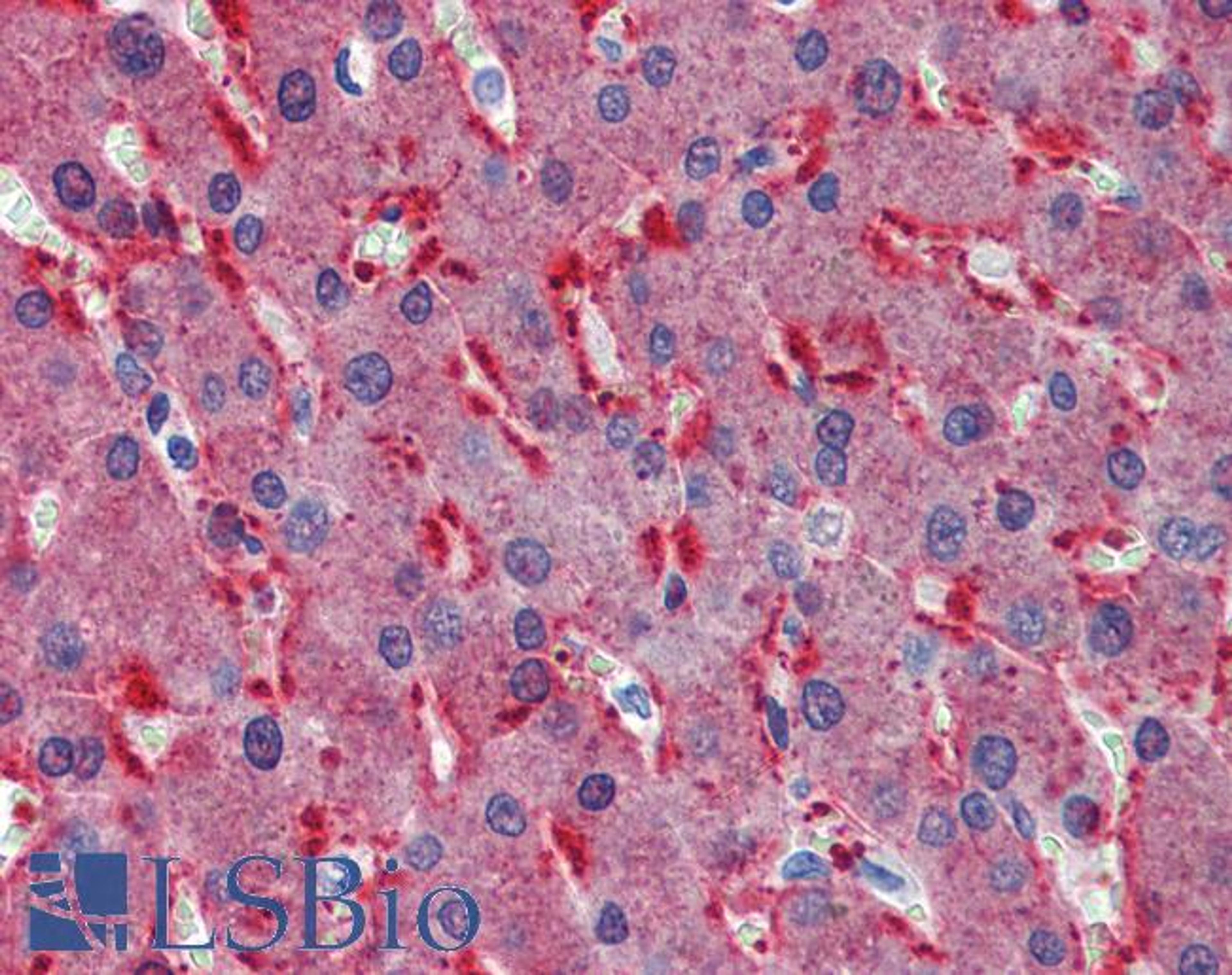
Frizzled 2 Antibody
Product Details
- Cat. No.
- 46-844
- Type
- Primary Antibody
- Clonality
- Polyclonal
- Host
- Goat

The supplier does not provide quotations for this antibody through SelectScience. You can search for similar antibodies in our Antibody Directory.
Biological Information
- Clonality: Polyclonal
- Host: Goat
- Reactivity: Human
- Antigen: FZD2
- Source: Frizzled 2 antibody was purified from goat serum by ammonium sulphate precipitation followed by antigen affinity chromatography using the immunizing peptide.
- Gene: 2535
Handling
- Quantity: 0.1 mg
- Storage: Aliquot and store at -20°C. Minimize freezing and thawing.
- Buffer: Frizzled 2 antibody is supplied in Tris saline, 0.02% sodium azide, pH 7.3 with 0.5% bovine serum albumin.
Applications
- ELISA (ELISA)
- Immunohistochemistry (Formalin-Fixed / Paraffin-Embedded Sections) (IHC (FP))


