Product & ReviewsAntibodies
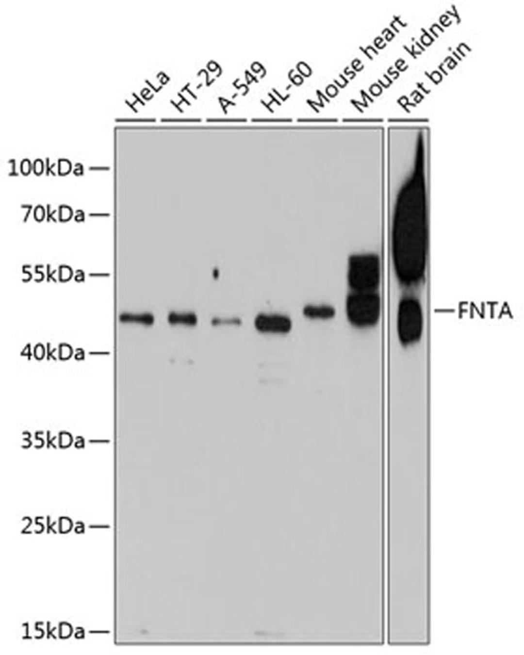
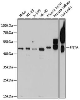
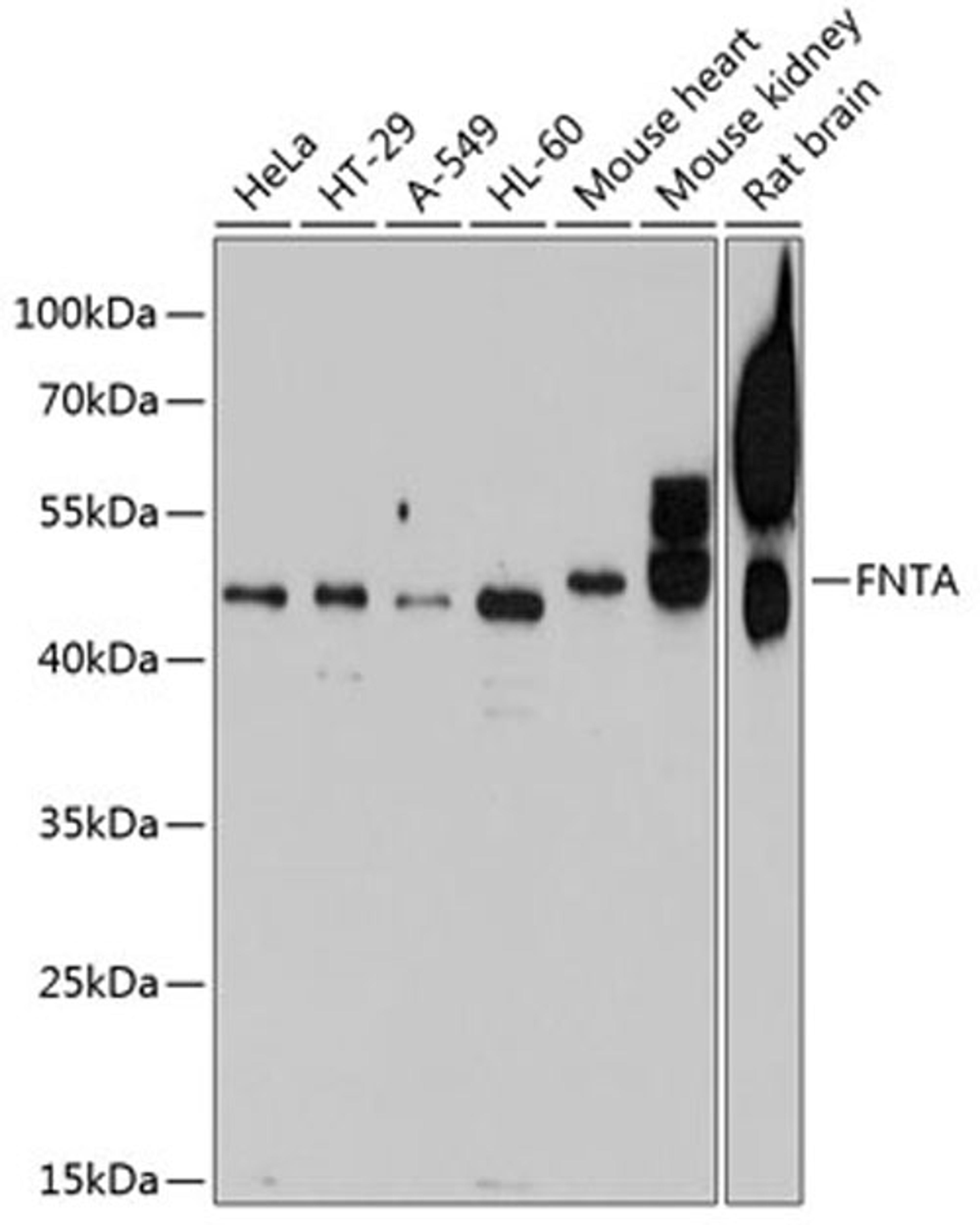
FNTA Rabbit pAb
Product Details
- Cat. No.
- A8805
- Type
- Primary Antibody
- Clonality
- Polyclonal
- Host
- Rabbit

The supplier does not provide quotations for this antibody through SelectScience. You can search for similar antibodies in our Antibody Directory.
Description
Prenyltransferases can attach either a farnesyl group or a geranylgeranyl group in thioether linkage to the cysteine residue of proteins with a C-terminal CAAX box. CAAX geranylgeranyltransferase and CAAX farnesyltransferase are heterodimers that share the same alpha subunit but have different beta subunits. This gene encodes the alpha subunit of these transferases. Alternative splicing results in multiple transcript variants. Related pseudogenes have been identified on chromosomes 11 and 13.
Biological Information
- Clonality: Polyclonal
- Host: Rabbit
- Reactivity: Human, Mouse, Rat


